> Antigen, Antibodies, ELISA, Western Blot > Primary Antibody > Polyclonal Antibodies > MFSD2A Antibody (C-Terminus)Brand |
Leading Biology | Catalog Number |
APR02784G |
Product Type |
Polyclonal Antibodies | Field of Research |
|
Product Overview |
We constantly strive to ensure we provide our customers with the best antibodies. As a result of this work we offer this antibody in purified format.
We are in the process of updating our datasheets. If you have any questions regarding this update, please feel free to contact our technical support team.
This product is a high quality MFSD2A Antibody (C-Terminus).
|
||
Molecular Weight |
60kDa
|
||
Cellular Localization |
Antigen Cellular Localization:
Cell membrane; Multi-pass membrane protein. Endoplasmic reticulum membrane; Multi-pass membrane protein. Note=Cytoplasmic punctae that may represent vesicles shuttling between the endoplasmic reticulum and the plasma membrane.
|
||
Host |
Rabbit
|
||
Species Reactivity |
Human, Mouse, Rat
|
||
Target |
Human MFSD2A
|
||
Symbol |
MFSD2, NLS1
|
||
GeneID |
|||
UniProt ID |
|||
Function |
Sodium-dependent lysophosphatidylcholine (LPC) symporter, which plays an essential role for blood-brain barrier formation and function. Specifically expressed in endothelium of the blood-brain barrier of micro-vessels and transports LPC into the brain. Transport of LPC is essential because it constitutes the major mechanism by which docosahexaenoic acid (DHA), an omega- 3 fatty acid that is essential for normal brain growth and cognitive function, enters the brain. Transports LPC carrying long-chain fatty acids such LPC oleate and LPC palmitate with a minimum acyl chain length of 14 carbons. Does not transport docosahexaenoic acid in unesterified fatty acid. Specifically required for blood-brain barrier formation and function, probably by mediating lipid transport. Not required for central nervous system vascular morphogenesis (By similarity). Acts as a transporter for tunicamycin, an inhibitor of asparagine-linked glycosylation. In placenta, acts as a receptor for ERVFRD- 1/syncytin-2 and is required for trophoblast fusion (PubMed:18988732).
|
||
Summary |
Sodium-dependent lysophosphatidylcholine (LPC) symporter, which plays an essential role for blood-brain barrier formation and function. Specifically expressed in endothelium of the blood-brain barrier of micro-vessels and transports LPC into the brain. Transport of LPC is essential because it constitutes the major mechanism by which docosahexaenoic acid (DHA), an omega- 3 fatty acid that is essential for normal brain growth and cognitive function, enters the brain. Transports LPC carrying long-chain fatty acids such LPC oleate and LPC palmitate with a minimum acyl chain length of 14 carbons. Does not transport docosahexaenoic acid in unesterified fatty acid. Specifically required for blood-brain barrier formation and function, probably by mediating lipid transport. Not required for central nervous system vascular morphogenesis (By similarity). Acts as a transporter for tunicamycin, an inhibitor of asparagine-linked glycosylation. In placenta, acts as a receptor for ERVFRD- 1/syncytin-2 and is required for trophoblast fusion (PubMed:18988732).
|
||
Storage & Stability |
Store at +4°C short term. For long-term storage, aliquot and store at -20°C or below. Stable for 12 months at -20°C. Avoid repeated freeze-thaw cycles.
|
||
Applications |
WB, IHC-P, IF, E
|
||
Dilution |
IHC-P (5 μg/ml), WB (1-2 μg/ml),
|
||
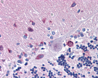
Images |
Immunofluorescence of MFSD2A in Rat Lung cells with MFSD2A antibody at 20 ug/ml.
Western blot analysis of MFSD2A in rat lung tissue lysate with MFSD2A antibody at (A) 1 and (B)...
Anti-MFSD2A antibody IHC of human brain, cerebellum. |
||
Specification |
|||
Quantity |
|
||
| Select | Brand | Catalog No. | Product Name | Pack Size | Type | Field of Research | Specification | Quantity | Price(USD) | |
| 1 | Leading Biology | APR03440G | ITGA11 Antibody (N-term) | 100 μl | Polyclonal Antibodies |
|
$495.00 | Add Ask | ||
| 2 | Leading Biology | APR04537G | CMIP Antibody (C-term) | 100 μl | Polyclonal Antibodies |
|
$495.00 | Add Ask | ||
| 3 | Leading Biology | APR12422G | Human H4 Histamine Receptor (extracellular) Antibody | 50 μl | Polyclonal Antibodies |
|
$695.00 | Add Ask | ||
| 4 | Leading Biology | APR03844G | UBE2W Antibody (C-term) | 100 μl | Polyclonal Antibodies |
|
$495.00 | Add Ask | ||
| 5 | Leading Biology | APR04349G | HECTD2 Antibody (N-term) | 100 μl | Polyclonal Antibodies |
|
$495.00 | Add Ask | ||
| 6 | Leading Biology | APR03502G | IGHG1 Antibody (Center) | 100 μl | Polyclonal Antibodies |
|
$495.00 | Add Ask |
Leading Biology Inc.
2600 Hilltop DR, Building G, B Suite C138
Richmond, CA, 94806
Tel: 1-661-524(LBI)-0262
Email: info@leadingbiology.com
Complete this form and click send to ask us a question, request a quote or simply say hello.

You have 0 item in your cart

You have 0 item in your inquiry list