> Antigen, Antibodies, ELISA, Western Blot > Primary Antibody > Polyclonal Antibodies > JMJD6 / PSR Antibody (aa127-144)Brand |
Leading Biology | Catalog Number |
APR02898G |
Product Type |
Polyclonal Antibodies | Field of Research |
|
Product Overview |
We constantly strive to ensure we provide our customers with the best antibodies. As a result of this work we offer this antibody in purified format.
We are in the process of updating our datasheets. If you have any questions regarding this update, please feel free to contact our technical support team.
This product is a high quality JMJD6 / PSR Antibody (aa127-144).
|
||
Molecular Weight |
46kDa
|
||
Cellular Localization |
Antigen Cellular Localization:
Nucleus, nucleoplasm. Nucleus, nucleolus. Note=Mainly found throughout the nucleoplasm outside of regions containing heterochromatic DNA, with some localization in nucleolus. During mitosis, excluded from the nucleus and reappears in the telophase of the cell cycle
|
||
Host |
Rabbit
|
||
Species Reactivity |
Human, Mouse, Rat, Rabbit, Hamster, Monkey, Chicken, Horse, Bovine, Dog
|
||
Target |
Human JMJD6
|
||
Symbol |
KIAA0585, PTDSR
|
||
GeneID |
|||
UniProt ID |
|||
Function |
Dioxygenase that can both act as a histone arginine demethylase and a lysyl-hydroxylase. Acts as a lysyl-hydroxylase that catalyzes 5-hydroxylation on specific lysine residues of target proteins such as U2AF2/U2AF65 and LUC7L2. Acts as a regulator of RNA splicing by mediating 5-hydroxylation of U2AF2/U2AF65, affecting the pre-mRNA splicing activity of U2AF2/U2AF65. In addition to peptidyl-lysine 5-dioxygenase activity, may act as an RNA hydroxylase, as suggested by its ability to bind single strand RNA. Also acts as an arginine demethylase which demethylates histone H3 at 'Arg-2' (H3R2me) and histone H4 at 'Arg-3' (H4R3me), thereby playing a role in histone code. However, histone arginine demethylation may not constitute the primary activity in vivo. Has no histone lysine demethylase activity. Required for differentiation of multiple organs during embryogenesis. Acts as a key regulator of hematopoietic differentiation: required for angiogenic sprouting by regulating the pre-mRNA splicing activity of U2AF2/U2AF65. Seems to be necessary for the regulation of macrophage cytokine responses.
|
||
Summary |
Dioxygenase that can both act as a histone arginine demethylase and a lysyl-hydroxylase. Acts as a lysyl-hydroxylase that catalyzes 5-hydroxylation on specific lysine residues of target proteins such as U2AF2/U2AF65 and LUC7L2. Acts as a regulator of RNA splicing by mediating 5-hydroxylation of U2AF2/U2AF65, affecting the pre-mRNA splicing activity of U2AF2/U2AF65. In addition to peptidyl-lysine 5-dioxygenase activity, may act as an RNA hydroxylase, as suggested by its ability to bind single strand RNA. Also acts as an arginine demethylase which demethylates histone H3 at 'Arg-2' (H3R2me) and histone H4 at 'Arg-3' (H4R3me), thereby playing a role in histone code. However, histone arginine demethylation may not constitute the primary activity in vivo. Has no histone lysine demethylase activity. Required for differentiation of multiple organs during embryogenesis. Acts as a key regulator of hematopoietic differentiation: required for angiogenic sprouting by regulating the pre-mRNA splicing activity of U2AF2/U2AF65. Seems to be necessary for the regulation of macrophage cytokine responses.
|
||
Storage & Stability |
Store at +4°C short term. For long-term storage, aliquot and store at -20°C or below. Stable for 12 months at -20°C. Avoid repeated freeze-thaw cycles.
|
||
Applications |
WB, IHC-P
|
||
Dilution |
IHC-P (10 μg/ml), WB (0.25-1 μg/ml),
|
||
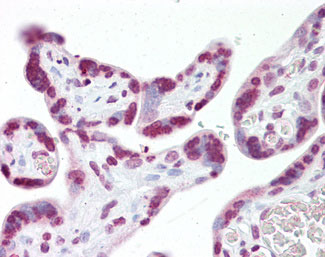
Images |
Anti-JMJD6 antibody IHC of human placenta.
Western blot of PTDSR in human brain lysate in the 1) absence and 2) presence of immunizing... |
||
Specification |
|||
Quantity |
|
||
| Select | Brand | Catalog No. | Product Name | Pack Size | Type | Field of Research | Specification | Quantity | Price(USD) | |
| 1 | Leading Biology | APR03440G | ITGA11 Antibody (N-term) | 100 μl | Polyclonal Antibodies |
|
$495.00 | Add Ask | ||
| 2 | Leading Biology | APR04537G | CMIP Antibody (C-term) | 100 μl | Polyclonal Antibodies |
|
$495.00 | Add Ask | ||
| 3 | Leading Biology | APR12422G | Human H4 Histamine Receptor (extracellular) Antibody | 50 μl | Polyclonal Antibodies |
|
$695.00 | Add Ask | ||
| 4 | Leading Biology | APR03844G | UBE2W Antibody (C-term) | 100 μl | Polyclonal Antibodies |
|
$495.00 | Add Ask | ||
| 5 | Leading Biology | APR04349G | HECTD2 Antibody (N-term) | 100 μl | Polyclonal Antibodies |
|
$495.00 | Add Ask | ||
| 6 | Leading Biology | APR03502G | IGHG1 Antibody (Center) | 100 μl | Polyclonal Antibodies |
|
$495.00 | Add Ask |
Leading Biology Inc.
2600 Hilltop DR, Building G, B Suite C138
Richmond, CA, 94806
Tel: 1-661-524(LBI)-0262
Email: info@leadingbiology.com
Complete this form and click send to ask us a question, request a quote or simply say hello.

You have 0 item in your cart

You have 0 item in your inquiry list