> Antigen, Antibodies, ELISA, Western Blot > Primary Antibody > Polyclonal Antibodies > RWDD3 Antibody (C-Terminus)Brand |
Leading Biology | Catalog Number |
APR02713G |
Product Type |
Polyclonal Antibodies | Field of Research |
|
Product Overview |
We constantly strive to ensure we provide our customers with the best antibodies. As a result of this work we offer this antibody in purified format.
We are in the process of updating our datasheets. If you have any questions regarding this update, please feel free to contact our technical support team.
This product is a high quality RWDD3 Antibody (C-Terminus).
|
||
Molecular Weight |
31kDa
|
||
Cellular Localization |
Antigen Cellular Localization:
Nucleus. Cytoplasm. Note=Colocalizes with UBC9/UBE2I in nuclear spots
|
||
Host |
Rabbit
|
||
Species Reactivity |
Human, Mouse, Rat
|
||
Target |
Human RWDD3
|
||
Symbol |
RSUME
|
||
GeneID |
|||
UniProt ID |
|||
Function |
Enhancer of SUMO conjugation. Via its interaction with UBE2I/UBC9, increases SUMO conjugation to proteins by promoting the: binding of E1 and E2 enzymes, thioester linkage between SUMO and UBE2I/UBC9 and transfer of SUMO to specific target proteins which include HIF1A, PIAS, NFKBIA, NR3C1 and TOP1. Isoform 1 and isoform 2 positively regulate the NF-kappa-B signaling pathway by enhancing the sumoylation of NF-kappa-B inhibitor alpha (NFKBIA), promoting its stabilization which consequently leads to an increased inhibition of NF-kappa-B transcriptional activity. Isoform 1 and isoform 2 negatively regulate the hypoxia-inducible factor-1 alpha (HIF1A) signaling pathway by increasing the sumoylation of HIF1A, promoting its stabilization, transcriptional activity and the expression of its target gene VEGFA during hypoxia. Isoform 2 promotes the sumoylation and transcriptional activity of the glucocorticoid receptor NR3C1 and enhances the interaction of SUMO1 and NR3C1 with UBE2I/UBC9. Has no effect on ubiquitination.
|
||
Summary |
Enhancer of SUMO conjugation. Via its interaction with UBE2I/UBC9, increases SUMO conjugation to proteins by promoting the: binding of E1 and E2 enzymes, thioester linkage between SUMO and UBE2I/UBC9 and transfer of SUMO to specific target proteins which include HIF1A, PIAS, NFKBIA, NR3C1 and TOP1. Isoform 1 and isoform 2 positively regulate the NF-kappa-B signaling pathway by enhancing the sumoylation of NF-kappa-B inhibitor alpha (NFKBIA), promoting its stabilization which consequently leads to an increased inhibition of NF-kappa-B transcriptional activity. Isoform 1 and isoform 2 negatively regulate the hypoxia-inducible factor-1 alpha (HIF1A) signaling pathway by increasing the sumoylation of HIF1A, promoting its stabilization, transcriptional activity and the expression of its target gene VEGFA during hypoxia. Isoform 2 promotes the sumoylation and transcriptional activity of the glucocorticoid receptor NR3C1 and enhances the interaction of SUMO1 and NR3C1 with UBE2I/UBC9. Has no effect on ubiquitination.
|
||
Storage & Stability |
Store at +4°C short term. For long-term storage, aliquot and store at -20°C or below. Stable for 12 months at -20°C. Avoid repeated freeze-thaw cycles.
|
||
Applications |
WB, IHC-P, E
|
||
Dilution |
IHC-P (5 μg/ml), WB (1-2 μg/ml),
|
||
Images |
Western blot of RWDD3 in rat kidney tissue lysate with RWDD3 antibody at 1 ug/ml in (A) the...
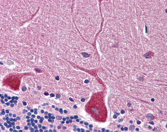
Anti-RWDD3 antibody IHC of human brain, cerebellum.
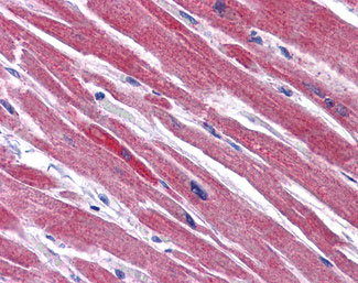
Anti-RWDD3 antibody IHC of human heart. |
||
Specification |
|||
Quantity |
|
||
| Select | Brand | Catalog No. | Product Name | Pack Size | Type | Field of Research | Specification | Quantity | Price(USD) | |
| 1 | Leading Biology | APR03440G | ITGA11 Antibody (N-term) | 100 μl | Polyclonal Antibodies |
|
$495.00 | Add Ask | ||
| 2 | Leading Biology | APR04537G | CMIP Antibody (C-term) | 100 μl | Polyclonal Antibodies |
|
$495.00 | Add Ask | ||
| 3 | Leading Biology | APR12422G | Human H4 Histamine Receptor (extracellular) Antibody | 50 μl | Polyclonal Antibodies |
|
$695.00 | Add Ask | ||
| 4 | Leading Biology | APR03844G | UBE2W Antibody (C-term) | 100 μl | Polyclonal Antibodies |
|
$495.00 | Add Ask | ||
| 5 | Leading Biology | APR04349G | HECTD2 Antibody (N-term) | 100 μl | Polyclonal Antibodies |
|
$495.00 | Add Ask | ||
| 6 | Leading Biology | APR03502G | IGHG1 Antibody (Center) | 100 μl | Polyclonal Antibodies |
|
$495.00 | Add Ask |
Leading Biology Inc.
2600 Hilltop DR, Building G, B Suite C138
Richmond, CA, 94806
Tel: 1-661-524(LBI)-0262
Email: info@leadingbiology.com
Complete this form and click send to ask us a question, request a quote or simply say hello.

You have 0 item in your cart

You have 0 item in your inquiry list