> Antigen, Antibodies, ELISA, Western Blot > Primary Antibody > Polyclonal Antibodies > PACE4 / PCSK6 Antibody (Internal)Brand |
Leading Biology | Catalog Number |
APG01105G |
Product Type |
Polyclonal Antibodies | Field of Research |
|
Product Overview |
We constantly strive to ensure we provide our customers with the best antibodies. As a result of this work we offer this antibody in purified format.
We are in the process of updating our datasheets. If you have any questions regarding this update, please feel free to contact our technical support team.
This product is a high quality PACE4 / PCSK6 Antibody (Internal).
|
||
Molecular Weight |
106kDa
|
||
Cellular Localization |
Antigen Cellular Localization:
Isoform PACE4A-I: Secreted. Isoform PACE4C: Endoplasmic reticulum. Note=Not secreted, remains probably in zymogen form in endoplasmic reticulum Isoform PACE4E-I: Endomembrane system; Peripheral membrane protein. Note=Retained intracellularly probably through a hydrophobic cluster in their C-terminus Isoform PACE4B: Secreted.
|
||
Host |
Goat
|
||
Species Reactivity |
Human, Rabbit
|
||
Target |
Human PCSK6 / PACE4. This antibody is expected to recognize reported isoforms a, b, g and h (NP_002561.1; NP_612192.1; NP_612193.1; NP_612194.1 resp.).
|
||
Symbol |
PACE4
|
||
GeneID |
|||
UniProt ID |
|||
Function |
Likely to represent an endoprotease activity within the constitutive secretory pathway, with unique restricted distribution in both neuroendocrine and non-neuroendocrine tissues and capable of cleavage at the RX(K/R)R consensus motif.
|
||
Summary |
Likely to represent an endoprotease activity within the constitutive secretory pathway, with unique restricted distribution in both neuroendocrine and non-neuroendocrine tissues and capable of cleavage at the RX(K/R)R consensus motif.
|
||
Storage & Stability |
Store at +4°C short term. For long-term storage, aliquot and store at -20°C or below. Stable for 12 months at -20°C. Avoid repeated freeze-thaw cycles.
|
||
Applications |
IHC-P, E
|
||
Dilution |
ELISA (1:32000), IHC-P (5 μg/ml),
|
||
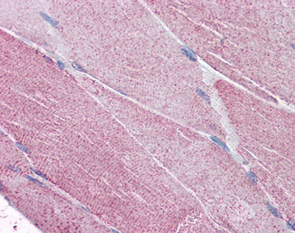
Images |
Anti-PACE4 antibody IHC of human skeletal muscle. |
||
Specification |
|||
Quantity |
|
||
| Select | Brand | Catalog No. | Product Name | Pack Size | Type | Field of Research | Specification | Quantity | Price(USD) | |
| 1 | Leading Biology | APR03440G | ITGA11 Antibody (N-term) | 100 μl | Polyclonal Antibodies |
|
$495.00 | Add Ask | ||
| 2 | Leading Biology | APR04537G | CMIP Antibody (C-term) | 100 μl | Polyclonal Antibodies |
|
$495.00 | Add Ask | ||
| 3 | Leading Biology | APR12422G | Human H4 Histamine Receptor (extracellular) Antibody | 50 μl | Polyclonal Antibodies |
|
$695.00 | Add Ask | ||
| 4 | Leading Biology | APR03844G | UBE2W Antibody (C-term) | 100 μl | Polyclonal Antibodies |
|
$495.00 | Add Ask | ||
| 5 | Leading Biology | APR04349G | HECTD2 Antibody (N-term) | 100 μl | Polyclonal Antibodies |
|
$495.00 | Add Ask | ||
| 6 | Leading Biology | APR03502G | IGHG1 Antibody (Center) | 100 μl | Polyclonal Antibodies |
|
$495.00 | Add Ask |
Leading Biology Inc.
2600 Hilltop DR, Building G, B Suite C138
Richmond, CA, 94806
Tel: 1-661-524(LBI)-0262
Email: info@leadingbiology.com
Complete this form and click send to ask us a question, request a quote or simply say hello.

You have 0 item in your cart

You have 0 item in your inquiry list