> Antigen, Antibodies, ELISA, Western Blot > Primary Antibody > Polyclonal Antibodies > SEPT2 / Septin 2 Antibody (N-Terminus)Brand |
Leading Biology | Catalog Number |
APG01060G |
Product Type |
Polyclonal Antibodies | Field of Research |
|
Product Overview |
We constantly strive to ensure we provide our customers with the best antibodies. As a result of this work we offer this antibody in purified format.
We are in the process of updating our datasheets. If you have any questions regarding this update, please feel free to contact our technical support team.
This product is a high quality SEPT2 / Septin 2 Antibody (N-Terminus).
|
||
Molecular Weight |
41kDa
|
||
Cellular Localization |
Antigen Cellular Localization:
Cytoplasm. Cytoplasm, cytoskeleton. Cytoplasm, cytoskeleton, spindle. Chromosome, centromere, kinetochore. Cleavage furrow. Midbody. Cytoplasm, cell cortex. Cell projection, cilium membrane. Note=In metaphase cells, localized within the microtubule spindle. At the metaphase plate, in close apposition to the kinetochores of the congressed chromosomes. In cells undergoing cytokinesis, localized to the midbody, the ingressing cleavage furrow, and the central spindle. During bacterial infection, displays a collar shape structure next to actin at the pole of invading bacteria. In epithelial cells, colocalizes with polyglutamylated tubulin around the trans-Golgi network, as well as juxatnuclear and proximal Golgi apparatus. Localizes at the base of the cilia near the morphological distinction between the cilia and plasma membranes
|
||
Host |
Goat
|
||
Species Reactivity |
Human, Mouse, Rat, Rabbit
|
||
Target |
Human SEPT2 / Septin 2. Reported variants represent identical protein: NP_001008492.1, NP_006146.1, NP_004395.1, NP_001008491.1.
|
||
Symbol |
DIFF6, KIAA0158, NEDD5
|
||
GeneID |
|||
UniProt ID |
|||
Function |
Filament-forming cytoskeletal GTPase. Required for normal organization of the actin cytoskeleton. Plays a role in the biogenesis of polarized columnar-shaped epithelium by maintaining polyglutamylated microtubules, thus facilitating efficient vesicle transport, and by impeding MAP4 binding to tubulin. Required for the progression through mitosis. Forms a scaffold at the midplane of the mitotic splindle required to maintain CENPE localization at kinetochores and consequently chromosome congression. During anaphase, may be required for chromosome segregation and spindle elongation. Plays a role in ciliogenesis and collective cell movements. In cilia, required for the integrity of the diffusion barrier at the base of the primary cilium that prevents diffusion of transmembrane proteins between the cilia and plasma membranes: probably acts by regulating the assembly of the tectonic-like complex (also named B9 complex) by localizing TMEM231 protein. May play a role in the internalization of 2 intracellular microbial pathogens, Listeria monocytogenes and Shigella flexneri.
|
||
Summary |
Filament-forming cytoskeletal GTPase. Required for normal organization of the actin cytoskeleton. Plays a role in the biogenesis of polarized columnar-shaped epithelium by maintaining polyglutamylated microtubules, thus facilitating efficient vesicle transport, and by impeding MAP4 binding to tubulin. Required for the progression through mitosis. Forms a scaffold at the midplane of the mitotic splindle required to maintain CENPE localization at kinetochores and consequently chromosome congression. During anaphase, may be required for chromosome segregation and spindle elongation. Plays a role in ciliogenesis and collective cell movements. In cilia, required for the integrity of the diffusion barrier at the base of the primary cilium that prevents diffusion of transmembrane proteins between the cilia and plasma membranes: probably acts by regulating the assembly of the tectonic-like complex (also named B9 complex) by localizing TMEM231 protein. May play a role in the internalization of 2 intracellular microbial pathogens, Listeria monocytogenes and Shigella flexneri.
|
||
Storage & Stability |
Store at +4°C short term. For long-term storage, aliquot and store at -20°C or below. Stable for 12 months at -20°C. Avoid repeated freeze-thaw cycles.
|
||
Applications |
WB, IHC-P, E
|
||
Dilution |
ELISA (1:32000), IHC-P (2.5 μg/ml), WB (0.05-0.2 μg/ml)
|
||
Images |
Antibody (0.05 ug/ml) staining of Human Testis lysate (35 ug protein in RIPA buffer).
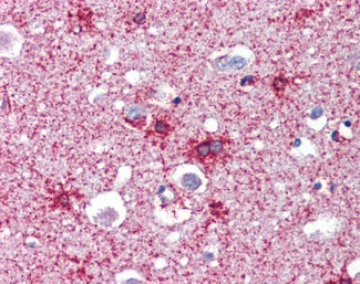
Anti-SEPT2 / Septin 2 antibody IHC of human brain, cortex.
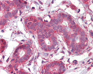
Anti-SEPT2 / Septin 2 antibody IHC of human breast. |
||
Specification |
|||
Quantity |
|
||
| Select | Brand | Catalog No. | Product Name | Pack Size | Type | Field of Research | Specification | Quantity | Price(USD) | |
| 1 | Leading Biology | APR03440G | ITGA11 Antibody (N-term) | 100 μl | Polyclonal Antibodies |
|
$495.00 | Add Ask | ||
| 2 | Leading Biology | APR04537G | CMIP Antibody (C-term) | 100 μl | Polyclonal Antibodies |
|
$495.00 | Add Ask | ||
| 3 | Leading Biology | APR12422G | Human H4 Histamine Receptor (extracellular) Antibody | 50 μl | Polyclonal Antibodies |
|
$695.00 | Add Ask | ||
| 4 | Leading Biology | APR03844G | UBE2W Antibody (C-term) | 100 μl | Polyclonal Antibodies |
|
$495.00 | Add Ask | ||
| 5 | Leading Biology | APR04349G | HECTD2 Antibody (N-term) | 100 μl | Polyclonal Antibodies |
|
$495.00 | Add Ask | ||
| 6 | Leading Biology | APR03502G | IGHG1 Antibody (Center) | 100 μl | Polyclonal Antibodies |
|
$495.00 | Add Ask |
Leading Biology Inc.
2600 Hilltop DR, Building G, B Suite C138
Richmond, CA, 94806
Tel: 1-661-524(LBI)-0262
Email: info@leadingbiology.com
Complete this form and click send to ask us a question, request a quote or simply say hello.

You have 0 item in your cart

You have 0 item in your inquiry list