> Antigen, Antibodies, ELISA, Western Blot > Primary Antibody > Polyclonal Antibodies > MTBP Antibody (aa122-139)Brand |
Leading Biology | Catalog Number |
APR02373G |
Product Type |
Polyclonal Antibodies | Field of Research |
|
Product Overview |
We constantly strive to ensure we provide our customers with the best antibodies. As a result of this work we offer this antibody in purified format.
We are in the process of updating our datasheets. If you have any questions regarding this update, please feel free to contact our technical support team.
This product is a high quality MTBP Antibody (aa122-139).
|
||
Molecular Weight |
102kDa
|
||
Host |
Rabbit
|
||
Species Reactivity |
Human
|
||
Target |
synthetic peptide (gavecfeeedsnsresls) corresponding to amino acids 122 to 139 of human MTBP, which differ from the mouse sequence by three amino acids ()
|
||
GeneID |
|||
UniProt ID |
|||
Function |
Inhibits cell migration in vitro and suppresses the invasive behavior of tumor cells (By similarity). May play a role in MDM2-dependent p53/TP53 homeostasis in unstressed cells. Inhibits autoubiquitination of MDM2, thereby enhancing MDM2 stability. This promotes MDM2-mediated ubiquitination of p53/TP53 and its subsequent degradation.
|
||
Summary |
Inhibits cell migration in vitro and suppresses the invasive behavior of tumor cells (By similarity). May play a role in MDM2-dependent p53/TP53 homeostasis in unstressed cells. Inhibits autoubiquitination of MDM2, thereby enhancing MDM2 stability. This promotes MDM2-mediated ubiquitination of p53/TP53 and its subsequent degradation.
|
||
Storage & Stability |
Store at +4°C short term. For long-term storage, aliquot and store at -20°C or below. Stable for 12 months at -20°C. Avoid repeated freeze-thaw cycles.
|
||
Applications |
WB, IHC-P, ICC
|
||
Dilution |
IHC-P (10 μg/ml), WB (0.5-1 μg/ml),
|
||
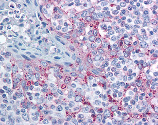
Images |
Anti-MTBP antibody IHC of human tonsil. |
||
Specification |
|||
Quantity |
|
||
| Select | Brand | Catalog No. | Product Name | Pack Size | Type | Field of Research | Specification | Quantity | Price(USD) | |
| 1 | Leading Biology | APR03440G | ITGA11 Antibody (N-term) | 100 μl | Polyclonal Antibodies |
|
$495.00 | Add Ask | ||
| 2 | Leading Biology | APR04537G | CMIP Antibody (C-term) | 100 μl | Polyclonal Antibodies |
|
$495.00 | Add Ask | ||
| 3 | Leading Biology | APR12422G | Human H4 Histamine Receptor (extracellular) Antibody | 50 μl | Polyclonal Antibodies |
|
$695.00 | Add Ask | ||
| 4 | Leading Biology | APR03844G | UBE2W Antibody (C-term) | 100 μl | Polyclonal Antibodies |
|
$495.00 | Add Ask | ||
| 5 | Leading Biology | APR04349G | HECTD2 Antibody (N-term) | 100 μl | Polyclonal Antibodies |
|
$495.00 | Add Ask | ||
| 6 | Leading Biology | APR03502G | IGHG1 Antibody (Center) | 100 μl | Polyclonal Antibodies |
|
$495.00 | Add Ask |
Leading Biology Inc.
2600 Hilltop DR, Building G, B Suite C138
Richmond, CA, 94806
Tel: 1-661-524(LBI)-0262
Email: info@leadingbiology.com
Complete this form and click send to ask us a question, request a quote or simply say hello.

You have 0 item in your cart

You have 0 item in your inquiry list