> Antigen, Antibodies, ELISA, Western Blot > Primary Antibody > Polyclonal Antibodies > NGFRAP1 / NADE / Bex AntibodyBrand |
Leading Biology | Catalog Number |
APR02251G |
Product Type |
Polyclonal Antibodies | Field of Research |
|
Product Overview |
We constantly strive to ensure we provide our customers with the best antibodies. As a result of this work we offer this antibody in purified format.
We are in the process of updating our datasheets. If you have any questions regarding this update, please feel free to contact our technical support team.
This product is a high quality NGFRAP1 / NADE / Bex Antibody.
|
||
Molecular Weight |
13kDa
|
||
Cellular Localization |
Antigen Cellular Localization:
Nucleus. Cytoplasm. Note=Shuttles between the cytoplasm and the nucleus. Associates with replicating mitochondria (By similarity).
|
||
Host |
Rabbit
|
||
Species Reactivity |
Human, Mouse
|
||
Target |
peptide corresponding to 14 amino acids near the middle of human NADE
|
||
Symbol |
BEX3, DXS6984E, NADE
|
||
GeneID |
|||
UniProt ID |
|||
Function |
May be a signaling adapter molecule involved in p75NTR- mediated apoptosis induced by NGF. Plays a role in zinc-triggered neuronal death (By similarity). May play an important role in the pathogenesis of neurogenetic diseases.
|
||
Summary |
May be a signaling adapter molecule involved in p75NTR- mediated apoptosis induced by NGF. Plays a role in zinc-triggered neuronal death (By similarity). May play an important role in the pathogenesis of neurogenetic diseases.
|
||
Form |
Liquid |
||
Storage & Stability |
Store at +4°C short term. For long-term storage, aliquot and store at -20°C or below. Stable for 12 months at -20°C. Avoid repeated freeze-thaw cycles.
|
||
Applications |
WB, IHC-P
|
||
Dilution |
IHC-P (5 μg/ml), WB (0.5-2 μg/ml),
|
||
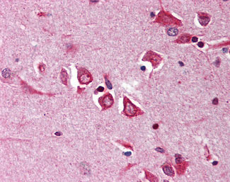
Images |
Western blot of NADE in Human brain cell lysates with NADE antibody at 1 ug/ml in the presence...
Anti-NGFRAP1 / NADE antibody IHC of human brain, cortex. |
||
Specification |
|||
Quantity |
|
||
| Select | Brand | Catalog No. | Product Name | Pack Size | Type | Field of Research | Specification | Quantity | Price(USD) | |
| 1 | Leading Biology | APR03440G | ITGA11 Antibody (N-term) | 100 μl | Polyclonal Antibodies |
|
$495.00 | Add Ask | ||
| 2 | Leading Biology | APR04537G | CMIP Antibody (C-term) | 100 μl | Polyclonal Antibodies |
|
$495.00 | Add Ask | ||
| 3 | Leading Biology | APR12422G | Human H4 Histamine Receptor (extracellular) Antibody | 50 μl | Polyclonal Antibodies |
|
$695.00 | Add Ask | ||
| 4 | Leading Biology | APR03844G | UBE2W Antibody (C-term) | 100 μl | Polyclonal Antibodies |
|
$495.00 | Add Ask | ||
| 5 | Leading Biology | APR04349G | HECTD2 Antibody (N-term) | 100 μl | Polyclonal Antibodies |
|
$495.00 | Add Ask | ||
| 6 | Leading Biology | APR03502G | IGHG1 Antibody (Center) | 100 μl | Polyclonal Antibodies |
|
$495.00 | Add Ask |
Leading Biology Inc.
2600 Hilltop DR, Building G, B Suite C138
Richmond, CA, 94806
Tel: 1-661-524(LBI)-0262
Email: info@leadingbiology.com
Complete this form and click send to ask us a question, request a quote or simply say hello.

You have 0 item in your cart

You have 0 item in your inquiry list