> Antigen, Antibodies, ELISA, Western Blot > Primary Antibody > Polyclonal Antibodies > RORC / ROR Gamma Antibody (Ligand-binding Domain)Brand |
Leading Biology | Catalog Number |
APR02045G |
Product Type |
Polyclonal Antibodies | Field of Research |
|
Product Overview |
We constantly strive to ensure we provide our customers with the best antibodies. As a result of this work we offer this antibody in purified format.
We are in the process of updating our datasheets. If you have any questions regarding this update, please feel free to contact our technical support team.
This product is a high quality RORC / ROR Gamma Antibody (Ligand-binding Domain).
|
||
Molecular Weight |
58kDa
|
||
Cellular Localization |
Antigen Cellular Localization:
Nucleus.
|
||
Host |
Rabbit
|
||
Species Reactivity |
Human, Monkey
|
||
Target |
Human ROR Gamma. BLAST analysis of the peptide immunogen showed no homology with other human proteins.
|
||
Symbol |
NR1F3, RORG, RZRG
|
||
GeneID |
|||
UniProt ID |
|||
Function |
Nuclear receptor that binds DNA as a monomer to ROR response elements (RORE) containing a single core motif half-site 5'-AGGTCA-3' preceded by a short A-T-rich sequence. Key regulator of cellular differentiation, immunity, peripheral circadian rhythm as well as lipid, steroid, xenobiotics and glucose metabolism. Considered to have intrinsic transcriptional activity, have some natural ligands like oxysterols that act as agonists (25- hydroxycholesterol) or inverse agonists (7-oxygenated sterols), enhancing or repressing the transcriptional activity, respectively. Recruits distinct combinations of cofactors to target gene regulatory regions to modulate their transcriptional expression, depending on the tissue, time and promoter contexts. Regulates the circadian expression of clock genes such as CRY1, ARNTL/BMAL1 and NR1D1 in peripheral tissues and in a tissue- selective manner. Competes with NR1D1 for binding to their shared DNA response element on some clock genes such as ARNTL/BMAL1, CRY1 and NR1D1 itself, resulting in NR1D1-mediated repression or RORC- mediated activation of the expression, leading to the circadian pattern of clock genes expression. Therefore influences the period length and stability of the clock. Involved in the regulation of the rhythmic expression of genes involved in glucose and lipid metabolism, including PLIN2 and AVPR1A. Negative regulator of adipocyte differentiation through the regulation of early phase genes expression, such as MMP3. Controls adipogenesis as well as adipocyte size and modulates insulin sensitivity in obesity. In liver, has specific and redundant functions with RORA as positive or negative modulator of expression of genes encoding phase I and Phase II proteins involved in the metabolism of lipids, steroids and xenobiotics, such as SULT1E1. Also plays also a role in the regulation of hepatocyte glucose metabolism through the regulation of G6PC and PCK1. Regulates the rhythmic expression of PROX1 and promotes its nuclear localization (By similarity).
|
||
Summary |
Nuclear receptor that binds DNA as a monomer to ROR response elements (RORE) containing a single core motif half-site 5'-AGGTCA-3' preceded by a short A-T-rich sequence. Key regulator of cellular differentiation, immunity, peripheral circadian rhythm as well as lipid, steroid, xenobiotics and glucose metabolism. Considered to have intrinsic transcriptional activity, have some natural ligands like oxysterols that act as agonists (25- hydroxycholesterol) or inverse agonists (7-oxygenated sterols), enhancing or repressing the transcriptional activity, respectively. Recruits distinct combinations of cofactors to target gene regulatory regions to modulate their transcriptional expression, depending on the tissue, time and promoter contexts. Regulates the circadian expression of clock genes such as CRY1, ARNTL/BMAL1 and NR1D1 in peripheral tissues and in a tissue- selective manner. Competes with NR1D1 for binding to their shared DNA response element on some clock genes such as ARNTL/BMAL1, CRY1 and NR1D1 itself, resulting in NR1D1-mediated repression or RORC- mediated activation of the expression, leading to the circadian pattern of clock genes expression. Therefore influences the period length and stability of the clock. Involved in the regulation of the rhythmic expression of genes involved in glucose and lipid metabolism, including PLIN2 and AVPR1A. Negative regulator of adipocyte differentiation through the regulation of early phase genes expression, such as MMP3. Controls adipogenesis as well as adipocyte size and modulates insulin sensitivity in obesity. In liver, has specific and redundant functions with RORA as positive or negative modulator of expression of genes encoding phase I and Phase II proteins involved in the metabolism of lipids, steroids and xenobiotics, such as SULT1E1. Also plays also a role in the regulation of hepatocyte glucose metabolism through the regulation of G6PC and PCK1. Regulates the rhythmic expression of PROX1 and promotes its nuclear localization (By similarity).
|
||
Form |
Liquid |
||
Storage & Stability |
Store at +4°C short term. For long-term storage, aliquot and store at -20°C or below. Stable for 12 months at -20°C. Avoid repeated freeze-thaw cycles.
|
||
Applications |
IHC-P
|
||
Dilution |
IHC-P (20 μg/ml)
|
||
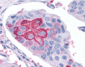
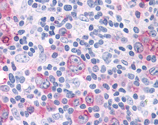
Images |
Anti-RORC / ROR Gamma antibody IHC of human Lymph Node, Hodgkins Lymphoma.
Anti-RORC / ROR Gamma antibody IHC of human Breast, Carcinoma. |
||
Specification |
|||
Quantity |
|
||
| Select | Brand | Catalog No. | Product Name | Pack Size | Type | Field of Research | Specification | Quantity | Price(USD) | |
| 1 | Leading Biology | APR03440G | ITGA11 Antibody (N-term) | 100 μl | Polyclonal Antibodies |
|
$495.00 | Add Ask | ||
| 2 | Leading Biology | APR04537G | CMIP Antibody (C-term) | 100 μl | Polyclonal Antibodies |
|
$495.00 | Add Ask | ||
| 3 | Leading Biology | APR12422G | Human H4 Histamine Receptor (extracellular) Antibody | 50 μl | Polyclonal Antibodies |
|
$695.00 | Add Ask | ||
| 4 | Leading Biology | APR03844G | UBE2W Antibody (C-term) | 100 μl | Polyclonal Antibodies |
|
$495.00 | Add Ask | ||
| 5 | Leading Biology | APR04349G | HECTD2 Antibody (N-term) | 100 μl | Polyclonal Antibodies |
|
$495.00 | Add Ask | ||
| 6 | Leading Biology | APR03502G | IGHG1 Antibody (Center) | 100 μl | Polyclonal Antibodies |
|
$495.00 | Add Ask |
Leading Biology Inc.
2600 Hilltop DR, Building G, B Suite C138
Richmond, CA, 94806
Tel: 1-661-524(LBI)-0262
Email: info@leadingbiology.com
Complete this form and click send to ask us a question, request a quote or simply say hello.

You have 0 item in your cart

You have 0 item in your inquiry list