> Antigen, Antibodies, ELISA, Western Blot > Primary Antibody > Polyclonal Antibodies > BCAR1 Antibody (internal region)Brand |
Leading Biology | Catalog Number |
APG00909G |
Product Type |
Polyclonal Antibodies | Field of Research |
|
Product Overview |
We constantly strive to ensure we provide our customers with the best antibodies. As a result of this work we offer this antibody in purified format.
We are in the process of updating our datasheets. If you have any questions regarding this update, please feel free to contact our technical support team.
This product is a high quality BCAR1 Antibody (internal region).
|
||
Molecular Weight |
93372 Da
|
||
Cellular Localization |
Antigen Cellular Localization:
Cell junction, focal adhesion. Cytoplasm. Note=Unphosphorylated form localizes in the cytoplasm and can move to the membrane upon tyrosine phosphorylation.
|
||
Host |
Goat
|
||
Species Reactivity |
Human
|
||
Isotype |
IgG
|
||
Symbol |
CAS, CASS1, CRKAS
|
||
GeneID |
|||
UniProt ID |
|||
Function |
Docking protein which plays a central coordinating role for tyrosine kinase-based signaling related to cell adhesion. Implicated in induction of cell migration. Overexpression confers antiestrogen resistance on breast cancer cells.
|
||
Summary |
This antibody is expected to recognize reported isoforms1, 2, 3, 5, 6 and 7.
|
||
Form |
Liquid. Purified antibody supplied in 1x PBS buffer with 0.09% (w/v) sodium azide and 2% sucrose. |
||
Storage & Stability |
Store at +4°C short term. For long-term storage, aliquot and store at -20°C or below. Stable for 12 months at -20°C. Avoid repeated freeze-thaw cycles.
|
||
Applications |
WB, IHC, E
|
||
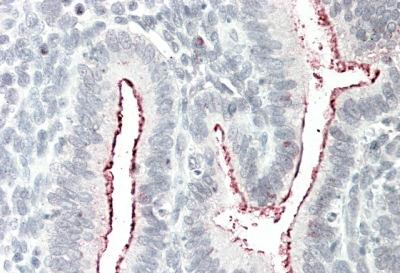
Images |
APG00909G (5 μg/ml) staining of paraffin embedded Human Uterus. Steamed antigen retrieval with citrate buffer pH 6, AP-staining.
APG00909G (1 μg/ml) staining of MCF7 (A) and Human Breast cancer (B) lysates (35 μg protein in RIPA buffer). Primary incubation was 1 hour. Detected by chemiluminescence. |
||
Specification |
|||
Quantity |
|
||
| Select | Brand | Catalog No. | Product Name | Pack Size | Type | Field of Research | Specification | Quantity | Price(USD) | |
| 1 | Leading Biology | APR03440G | ITGA11 Antibody (N-term) | 100 μl | Polyclonal Antibodies |
|
$495.00 | Add Ask | ||
| 2 | Leading Biology | APR04537G | CMIP Antibody (C-term) | 100 μl | Polyclonal Antibodies |
|
$495.00 | Add Ask | ||
| 3 | Leading Biology | APR12422G | Human H4 Histamine Receptor (extracellular) Antibody | 50 μl | Polyclonal Antibodies |
|
$695.00 | Add Ask | ||
| 4 | Leading Biology | APR03844G | UBE2W Antibody (C-term) | 100 μl | Polyclonal Antibodies |
|
$495.00 | Add Ask | ||
| 5 | Leading Biology | APR04349G | HECTD2 Antibody (N-term) | 100 μl | Polyclonal Antibodies |
|
$495.00 | Add Ask | ||
| 6 | Leading Biology | APR03502G | IGHG1 Antibody (Center) | 100 μl | Polyclonal Antibodies |
|
$495.00 | Add Ask |
Leading Biology Inc.
2600 Hilltop DR, Building G, B Suite C138
Richmond, CA, 94806
Tel: 1-661-524(LBI)-0262
Email: info@leadingbiology.com
Complete this form and click send to ask us a question, request a quote or simply say hello.

You have 0 item in your cart

You have 0 item in your inquiry list