> Antigen, Antibodies, ELISA, Western Blot > Primary Antibody > Polyclonal Antibodies > MK5 / MAPKAPK5 Antibody (internal region)Brand |
Leading Biology | Catalog Number |
APG00871G |
Product Type |
Polyclonal Antibodies | Field of Research |
|
Product Overview |
We constantly strive to ensure we provide our customers with the best antibodies. As a result of this work we offer this antibody in purified format.
We are in the process of updating our datasheets. If you have any questions regarding this update, please feel free to contact our technical support team.
This product is a high quality MK5 / MAPKAPK5 Antibody (internal region).
|
||
Molecular Weight |
54220 Da
|
||
Cellular Localization |
Antigen Cellular Localization:
Cytoplasm. Nucleus. Note=Translocates to the cytoplasm following phosphorylation and activation. Interaction with ERK3/MAPK6 or ERK4/MAPK4 and phosphorylation at Thr-182, activates the protein kinase activity, followed by translocation to the cytoplasm. Phosphorylation by PKA/PRKACA at Ser-115 also induces nuclear export
|
||
Host |
Goat
|
||
Species Reactivity |
Human, Mouse
|
||
Isotype |
IgG
|
||
Symbol |
PRAK
|
||
GeneID |
|||
UniProt ID |
|||
Function |
Tumor suppressor serine/threonine-protein kinase involved in mTORC1 signaling and post-transcriptional regulation. Phosphorylates FOXO3, ERK3/MAPK6, ERK4/MAPK4, HSP27/HSPB1, p53/TP53 and RHEB. Acts as a tumor suppressor by mediating Ras- induced senescence and phosphorylating p53/TP53. Involved in post- transcriptional regulation of MYC by mediating phosphorylation of FOXO3: phosphorylation of FOXO3 leads to promote nuclear localization of FOXO3, enabling expression of miR-34b and miR-34c, 2 post-transcriptional regulators of MYC that bind to the 3'UTR of MYC transcript and prevent MYC translation. Acts as a negative regulator of mTORC1 signaling by mediating phosphorylation and inhibition of RHEB. Part of the atypical MAPK signaling via its interaction with ERK3/MAPK6 or ERK4/MAPK4: the precise role of the complex formed with ERK3/MAPK6 or ERK4/MAPK4 is still unclear, but the complex follows a complex set of phosphorylation events: upon interaction with atypical MAPK (ERK3/MAPK6 or ERK4/MAPK4), ERK3/MAPK6 (or ERK4/MAPK4) is phosphorylated and then mediates phosphorylation and activation of MAPKAPK5, which in turn phosphorylates ERK3/MAPK6 (or ERK4/MAPK4). Mediates phosphorylation of HSP27/HSPB1 in response to PKA/PRKACA stimulation, inducing F-actin rearrangement.
|
||
Form |
Liquid. Purified antibody supplied in 1x PBS buffer with 0.09% (w/v) sodium azide and 2% sucrose. |
||
Storage & Stability |
Store at +4°C short term. For long-term storage, aliquot and store at -20°C or below. Stable for 12 months at -20°C. Avoid repeated freeze-thaw cycles.
|
||
Applications |
WB, IHC, IP, E
|
||
Images |
HEK293 lysate (10ug protein in RIPA buffer) overexpressing Mouse MK5-GFP (first lane) or Mouse MK2-GFP (second lane) probed with APG00871G (0.5ug/ml) in right panel and with AF3924a (0.5ug/ml) on left panel, Primary incubations were for 2 hours. Detected by chemiluminescence.
APG00871G and AF3924a (1.5ug) immunoprecipitations from lysates of MK5/ERK3 double knockout MEFs, with (third and fifth lanes) and without (fourth and sixth lanes) rescued MK5/ERK3 expression through retroviral transduction. The corresponding lysates (first and second lane resp.) were analyzed in parallel in this Western blot labelled with mouse anti-MK5 / PRAK (and co-precipitation was measured using rabbit anti-ERK3 in the lower panel).
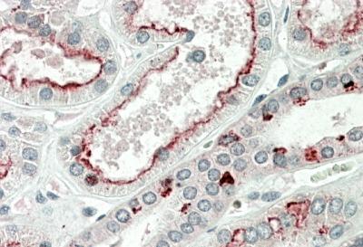
APG00871G (5 μg/ml) staining of paraffin embedded Human Kidney. Steamed antigen retrieval with citrate buffer pH 6, AP-staining. |
||
Specification |
|||
Quantity |
|
||
| Select | Brand | Catalog No. | Product Name | Pack Size | Type | Field of Research | Specification | Quantity | Price(USD) | |
| 1 | Leading Biology | APR03440G | ITGA11 Antibody (N-term) | 100 μl | Polyclonal Antibodies |
|
$495.00 | Add Ask | ||
| 2 | Leading Biology | APR04537G | CMIP Antibody (C-term) | 100 μl | Polyclonal Antibodies |
|
$495.00 | Add Ask | ||
| 3 | Leading Biology | APR12422G | Human H4 Histamine Receptor (extracellular) Antibody | 50 μl | Polyclonal Antibodies |
|
$695.00 | Add Ask | ||
| 4 | Leading Biology | APR03844G | UBE2W Antibody (C-term) | 100 μl | Polyclonal Antibodies |
|
$495.00 | Add Ask | ||
| 5 | Leading Biology | APR04349G | HECTD2 Antibody (N-term) | 100 μl | Polyclonal Antibodies |
|
$495.00 | Add Ask | ||
| 6 | Leading Biology | APR03502G | IGHG1 Antibody (Center) | 100 μl | Polyclonal Antibodies |
|
$495.00 | Add Ask |
Leading Biology Inc.
2600 Hilltop DR, Building G, B Suite C138
Richmond, CA, 94806
Tel: 1-661-524(LBI)-0262
Email: info@leadingbiology.com
Complete this form and click send to ask us a question, request a quote or simply say hello.

You have 0 item in your cart

You have 0 item in your inquiry list