> Antigen, Antibodies, ELISA, Western Blot > Primary Antibody > Polyclonal Antibodies > ZNRF1 (mouse) Antibody (internal region)Brand |
Leading Biology | Catalog Number |
APG00831G |
Product Type |
Polyclonal Antibodies | Field of Research |
|
Product Overview |
We constantly strive to ensure we provide our customers with the best antibodies. As a result of this work we offer this antibody in purified format.
We are in the process of updating our datasheets. If you have any questions regarding this update, please feel free to contact our technical support team.
This product is a high quality ZNRF1 (mouse) Antibody (internal region).
|
||
Molecular Weight |
23783 Da
|
||
Cellular Localization |
Antigen Cellular Localization:
Endosome. Lysosome. Membrane; Peripheral membrane protein. Cytoplasmic vesicle, secretory vesicle, synaptic vesicle membrane; Peripheral membrane protein. Note=Associated with synaptic vesicle membranes in neurons
|
||
Host |
Goat
|
||
Species Reactivity |
Mouse
|
||
Isotype |
IgG
|
||
Symbol |
NIN283
|
||
GeneID |
|||
UniProt ID |
|||
Function |
E3 ubiquitin-protein ligase that mediates the ubiquitination of AKT1 and GLUL, thereby playing a role in neuron cells differentiation. Plays a role in the establishment and maintenance of neuronal transmission and plasticity. Regulates Schwann cells differentiation by mediating ubiquitination of GLUL. Promotes neurodegeneration by mediating 'Lys-48'-linked polyubiquitination and subsequent degradation of AKT1 in axons: degradation of AKT1 prevents AKT1-mediated phosphorylation of GSK3B, leading to GSK3B activation and phosphorylation of DPYSL2/CRMP2 followed by destabilization of microtubule assembly in axons (Probable).
|
||
Summary |
This antibody is expected to recognize reported isoforms a and b (NP_573469.1; NP_001162093.1). Reported variants represent identical protein: NP_001162092.1, NP_573469.1
|
||
Form |
Liquid. Purified antibody supplied in 1x PBS buffer with 0.09% (w/v) sodium azide and 2% sucrose. |
||
Storage & Stability |
Store at +4°C short term. For long-term storage, aliquot and store at -20°C or below. Stable for 12 months at -20°C. Avoid repeated freeze-thaw cycles.
|
||
Applications |
WB, IHC, E
|
||
Images |
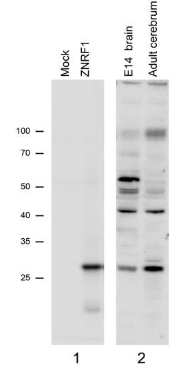
N2a overexpressing Mouse Znrf1 (mock transfection in first lane) and probed with APG00831G (1 μg/ml), also staining of Mouse Brain lysates (Embryo E14 and adult cerebellum). Primary incubation was 1 hour. Detected by chemiluminescence.
APG00831G (10 μg/ml) staining of paraffin embedded Mouse Cerebral Cortex. Microwaved antigen retrieval with citrate buffer pH 6, streptavidfine-Alexa 488-staining after biotinylated anti-goat secondary. The Neurofilament M was labeled by Millipore AB1987 (1:100). |
||
Specification |
|||
Quantity |
|
||
| Select | Brand | Catalog No. | Product Name | Pack Size | Type | Field of Research | Specification | Quantity | Price(USD) | |
| 1 | Leading Biology | APR03440G | ITGA11 Antibody (N-term) | 100 μl | Polyclonal Antibodies |
|
$495.00 | Add Ask | ||
| 2 | Leading Biology | APR04537G | CMIP Antibody (C-term) | 100 μl | Polyclonal Antibodies |
|
$495.00 | Add Ask | ||
| 3 | Leading Biology | APR12422G | Human H4 Histamine Receptor (extracellular) Antibody | 50 μl | Polyclonal Antibodies |
|
$695.00 | Add Ask | ||
| 4 | Leading Biology | APR03844G | UBE2W Antibody (C-term) | 100 μl | Polyclonal Antibodies |
|
$495.00 | Add Ask | ||
| 5 | Leading Biology | APR04349G | HECTD2 Antibody (N-term) | 100 μl | Polyclonal Antibodies |
|
$495.00 | Add Ask | ||
| 6 | Leading Biology | APR03502G | IGHG1 Antibody (Center) | 100 μl | Polyclonal Antibodies |
|
$495.00 | Add Ask |
Leading Biology Inc.
2600 Hilltop DR, Building G, B Suite C138
Richmond, CA, 94806
Tel: 1-661-524(LBI)-0262
Email: info@leadingbiology.com
Complete this form and click send to ask us a question, request a quote or simply say hello.

You have 0 item in your cart

You have 0 item in your inquiry list