> Antigen, Antibodies, ELISA, Western Blot > Primary Antibody > Polyclonal Antibodies > USP16 / UBP-M Antibody (N-Term)Brand |
Leading Biology | Catalog Number |
APG00415G |
Product Type |
Polyclonal Antibodies | Field of Research |
|
Product Overview |
We constantly strive to ensure we provide our customers with the best antibodies. As a result of this work we offer this antibody in purified format.
We are in the process of updating our datasheets. If you have any questions regarding this update, please feel free to contact our technical support team.
This product is a high quality USP16 / UBP-M Antibody (N-Term).
|
||
Molecular Weight |
93570 Da
|
||
Cellular Localization |
Antigen Cellular Localization:
Nucleus.
|
||
Host |
Goat
|
||
Species Reactivity |
Human
|
||
Isotype |
IgG
|
||
GeneID |
|||
UniProt ID |
|||
Function |
Specifically deubiquitinates 'Lys-120' of histone H2A (H2AK119Ub), a specific tag for epigenetic transcriptional repression, thereby acting as a coactivator. Deubiquitination of histone H2A is a prerequisite for subsequent phosphorylation at 'Ser-11' of histone H3 (H3S10ph), and is required for chromosome segregation when cells enter into mitosis. In resting B- and T- lymphocytes, phosphorylation by AURKB leads to enhance its activity, thereby maintaining transcription in resting lymphocytes. Regulates Hox gene expression via histone H2A deubiquitination. Prefers nucleosomal substrates. Does not deubiquitinate histone H2B.
|
||
Summary |
This antibody is expected to recognise isoform a (NP_006438.1) and isoform b (NP_001001992.1). Reported variants represent identical protein (NP_006438.1; NP_001027582.1).
|
||
Form |
Liquid. Purified antibody supplied in 1x PBS buffer with 0.09% (w/v) sodium azide and 2% sucrose. |
||
Storage & Stability |
Store at +4°C short term. For long-term storage, aliquot and store at -20°C or below. Stable for 12 months at -20°C. Avoid repeated freeze-thaw cycles.
|
||
Applications |
IHC, E
|
||
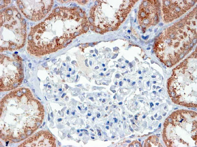
Images |
APG00415G (4 μg/ml) staining of paraffin embedded Human Human Kidney. Steamed antigen retrieval with Tris/EDTA buffer pH 9, HRP-staining. |
||
Specification |
|||
Quantity |
|
||
| Select | Brand | Catalog No. | Product Name | Pack Size | Type | Field of Research | Specification | Quantity | Price(USD) | |
| 1 | Leading Biology | APR03440G | ITGA11 Antibody (N-term) | 100 μl | Polyclonal Antibodies |
|
$495.00 | Add Ask | ||
| 2 | Leading Biology | APR04537G | CMIP Antibody (C-term) | 100 μl | Polyclonal Antibodies |
|
$495.00 | Add Ask | ||
| 3 | Leading Biology | APR12422G | Human H4 Histamine Receptor (extracellular) Antibody | 50 μl | Polyclonal Antibodies |
|
$695.00 | Add Ask | ||
| 4 | Leading Biology | APR03844G | UBE2W Antibody (C-term) | 100 μl | Polyclonal Antibodies |
|
$495.00 | Add Ask | ||
| 5 | Leading Biology | APR04349G | HECTD2 Antibody (N-term) | 100 μl | Polyclonal Antibodies |
|
$495.00 | Add Ask | ||
| 6 | Leading Biology | APR03502G | IGHG1 Antibody (Center) | 100 μl | Polyclonal Antibodies |
|
$495.00 | Add Ask |
Leading Biology Inc.
2600 Hilltop DR, Building G, B Suite C138
Richmond, CA, 94806
Tel: 1-661-524(LBI)-0262
Email: info@leadingbiology.com
Complete this form and click send to ask us a question, request a quote or simply say hello.

You have 0 item in your cart

You have 0 item in your inquiry list