> Antigen, Antibodies, ELISA, Western Blot > Primary Antibody > Polyclonal Antibodies > Goat Anti-RACGAP1 / MgcRacGAP AntibodyBrand |
Leading Biology | Catalog Number |
APG00264G |
Product Type |
Polyclonal Antibodies | Field of Research |
|
Product Overview |
We constantly strive to ensure we provide our customers with the best antibodies. As a result of this work we offer this antibody in purified format.
We are in the process of updating our datasheets. If you have any questions regarding this update, please feel free to contact our technical support team.
This product is a high quality Goat Anti-RACGAP1 / MgcRacGAP Antibody.
|
||
Molecular Weight |
71027 Da
|
||
Cellular Localization |
Antigen Cellular Localization:
Nucleus. Cytoplasm. Cytoplasm, cytoskeleton, spindle. Cytoplasmic vesicle, secretory vesicle, acrosome Cleavage furrow. Midbody. Cell membrane; Peripheral membrane protein; Cytoplasmic side. Note=Colocalizes with RND2 in Golgi- derived proacrosomal vesicles and the acrosome (By similarity) During interphase, localized to the nucleus and cytoplasm along with microtubules, in anaphase, is redistributed to the central spindle and, in telophase and cytokinesis, to the midbody Colocalizes with RHOA at the myosin contractile ring during cytokinesis. Colocalizes with ECT2 to the mitotic spindles during anaphase/metaphase, the cleavage furrow during telophase and at the midbody at the end of cytokinesis. Colocalizes with Cdc42 to spindle microtubules from prometaphase to telophase
|
||
Host |
Goat
|
||
Species Reactivity |
Human
|
||
Isotype |
IgG
|
||
GeneID |
|||
UniProt ID |
|||
Function |
Component of the centralspindlin complex that serves as a microtubule-dependent and Rho-mediated signaling required for the myosin contractile ring formation during the cell cycle cytokinesis. Required for proper attachment of the midbody to the cell membrane during cytokinesis. Plays key roles in controlling cell growth and differentiation of hematopoietic cells through mechanisms other than regulating Rac GTPase activity. Also involved in the regulation of growth-related processes in adipocytes and myoblasts. May be involved in regulating spermatogenesis and in the RACGAP1 pathway in neuronal proliferation. Shows strong GAP (GTPase activation) activity towards CDC42 and RAC1 and less towards RHOA. Essential for the early stages of embryogenesis. May play a role in regulating cortical activity through RHOA during cytokinesis. May participate in the regulation of sulfate transport in male germ cells.
|
||
Summary |
Rho GTPases control a variety of cellular processes. There are 3 subtypes of Rho GTPases in the Ras superfamily of small G proteins: RHO (see MIM 165370), RAC (see RAC1; MIM 602048), and CDC42 (MIM 116952). GTPase-activating proteins (GAPs) bind activated forms of Rho GTPases and stimulate GTP hydrolysis. Through this catalytic function, Rho GAPs negatively regulate Rho-mediated signals. GAPs may also serve as effector molecules and play a role in signaling downstream of Rho and other Ras-like GTPases.
|
||
Form |
Liquid. Purified antibody supplied in 1x PBS buffer with 0.09% (w/v) sodium azide and 2% sucrose. |
||
Storage & Stability |
Store at +4°C short term. For long-term storage, aliquot and store at -20°C or below. Stable for 12 months at -20°C. Avoid repeated freeze-thaw cycles.
|
||
Applications |
WB, IHC, E
|
||
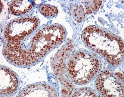
Images |
APG00264G (1 μg/ml) staining of lysate of cell line K562 (35 μg protein in RIPA buffer). Primary incubation was 1 hour. Detected by chemiluminescence.
APG00264G (1 μg/ml) staining of paraffin embedded Human Testis. Microwaved antigen retrieval with Tris/EDTA buffer pH9, HRP-staining. Data obtained with a previous batch. |
||
Specification |
|||
Quantity |
|
||
| Select | Brand | Catalog No. | Product Name | Pack Size | Type | Field of Research | Specification | Quantity | Price(USD) | |
| 1 | Leading Biology | APR03440G | ITGA11 Antibody (N-term) | 100 μl | Polyclonal Antibodies |
|
$495.00 | Add Ask | ||
| 2 | Leading Biology | APR04537G | CMIP Antibody (C-term) | 100 μl | Polyclonal Antibodies |
|
$495.00 | Add Ask | ||
| 3 | Leading Biology | APR12422G | Human H4 Histamine Receptor (extracellular) Antibody | 50 μl | Polyclonal Antibodies |
|
$695.00 | Add Ask | ||
| 4 | Leading Biology | APR03844G | UBE2W Antibody (C-term) | 100 μl | Polyclonal Antibodies |
|
$495.00 | Add Ask | ||
| 5 | Leading Biology | APR04349G | HECTD2 Antibody (N-term) | 100 μl | Polyclonal Antibodies |
|
$495.00 | Add Ask | ||
| 6 | Leading Biology | APR03502G | IGHG1 Antibody (Center) | 100 μl | Polyclonal Antibodies |
|
$495.00 | Add Ask |
Leading Biology Inc.
2600 Hilltop DR, Building G, B Suite C138
Richmond, CA, 94806
Tel: 1-661-524(LBI)-0262
Email: info@leadingbiology.com
Complete this form and click send to ask us a question, request a quote or simply say hello.

You have 0 item in your cart

You have 0 item in your inquiry list