> Antigen, Antibodies, ELISA, Western Blot > Primary Antibody > Polyclonal Antibodies > Goat Anti-FOXC1 (C Term) AntibodyBrand |
Leading Biology | Catalog Number |
APG00131G |
Product Type |
Polyclonal Antibodies | Field of Research |
|
Product Overview |
We constantly strive to ensure we provide our customers with the best antibodies. As a result of this work we offer this antibody in purified format.
We are in the process of updating our datasheets. If you have any questions regarding this update, please feel free to contact our technical support team.
This product is a high quality Goat Anti-FOXC1 (C Term) Antibody.
|
||
Molecular Weight |
56789 Da
|
||
Cellular Localization |
Antigen Cellular Localization:
Nucleus.
|
||
Host |
Goat
|
||
Species Reactivity |
Human, Mouse, Zebrafish
|
||
Target |
Western blot: In transfected HEK293 transiently expressing full-length Human FOXC1 (myc and DYKDDDDK tagged), a band of approx. 75kDa was observed. No bands were observed in mock-transfected and the same band was observed using anti-DYKDDDDK tag antibody. Recommended concentration, 0.5-1μg/ml. An anonymous customer found positive results in WB on Human breast cancer cells (T47D). IHC: In paraffin embedded Human Kidney shows nuclear staining in DCT and select nuclear staining in the glomerulus. Recommended concentration, 4-6μg/ml. Customer successfully used in IHC-P in mouse (periocular mesenchyme, cornea)
|
||
Isotype |
IgG
|
||
Symbol |
FKHL7, FREAC3
|
||
GeneID |
|||
UniProt ID |
|||
Function |
Binding of FREAC-3 and FREAC-4 to their cognate sites results in bending of the DNA at an angle of 80-90 degrees. Regulates FOXO1 through binding to a conserved element, 5'- GTAAACAAA-3' in its promoter region, implicating FOXC1 as an important regulator of cell viability and resistance to oxidative stress in the eye.
|
||
Summary |
This gene belongs to the forkhead family of transcription factors which is characterized by a distinct DNA-binding forkhead domain. The specific function of this gene has not yet been determined; however, it has been shown to play a role in the regulation of embryonic and ocular development. Mutations in this gene cause various glaucoma phenotypes including primary congenital glaucoma, autosomal dominant iridogoniodysgenesis anomaly, and Axenfeld-Rieger anomaly.
|
||
Form |
Liquid. Purified antibody supplied in 1x PBS buffer with 0.09% (w/v) sodium azide and 2% sucrose. |
||
Storage & Stability |
Store at +4°C short term. For long-term storage, aliquot and store at -20°C or below. Stable for 12 months at -20°C. Avoid repeated freeze-thaw cycles.
|
||
Applications |
WB, IHC, E
|
||
Images |
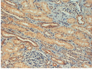
APG00131G (4 μg/ml) staining of paraffin embedded Human Kidney. Steamed antigen retrieval with citrate buffer pH 6, HRP-staining.
HEK293 lysate (10ug protein in RIPA buffer) over expressing Human FOXC1 with DYKDDDDK tag probed with APG00131G (1ug/ml) in Lane A and probed with anti- DYKDDDDK Tag (1/3000) in lane C. Mock-transfected HEK293 probed with APG00131G (1mg/ml) in Lane B. Primary incubations were for 1 hour. Detected by chemiluminescence.APG00131G (4 μg/ml) staining of paraffin embedded Human Kidney. Steamed antigen retrieval with citrate buffer pH 6, HRP-staining. |
||
Specification |
|||
Quantity |
|
||
| Select | Brand | Catalog No. | Product Name | Pack Size | Type | Field of Research | Specification | Quantity | Price(USD) | |
| 1 | Leading Biology | APR03440G | ITGA11 Antibody (N-term) | 100 μl | Polyclonal Antibodies |
|
$495.00 | Add Ask | ||
| 2 | Leading Biology | APR04537G | CMIP Antibody (C-term) | 100 μl | Polyclonal Antibodies |
|
$495.00 | Add Ask | ||
| 3 | Leading Biology | APR12422G | Human H4 Histamine Receptor (extracellular) Antibody | 50 μl | Polyclonal Antibodies |
|
$695.00 | Add Ask | ||
| 4 | Leading Biology | APR03844G | UBE2W Antibody (C-term) | 100 μl | Polyclonal Antibodies |
|
$495.00 | Add Ask | ||
| 5 | Leading Biology | APR04349G | HECTD2 Antibody (N-term) | 100 μl | Polyclonal Antibodies |
|
$495.00 | Add Ask | ||
| 6 | Leading Biology | APR03502G | IGHG1 Antibody (Center) | 100 μl | Polyclonal Antibodies |
|
$495.00 | Add Ask |
Leading Biology Inc.
2600 Hilltop DR, Building G, B Suite C138
Richmond, CA, 94806
Tel: 1-661-524(LBI)-0262
Email: info@leadingbiology.com
Complete this form and click send to ask us a question, request a quote or simply say hello.

You have 0 item in your cart

You have 0 item in your inquiry list