> Antigen, Antibodies, ELISA, Western Blot > Primary Antibody > Polyclonal Antibodies > Goat Anti-ALMS1 AntibodyBrand |
Leading Biology | Catalog Number |
APG00023G |
Product Type |
Polyclonal Antibodies | Field of Research |
|
Product Overview |
We constantly strive to ensure we provide our customers with the best antibodies. As a result of this work we offer this antibody in purified format.
We are in the process of updating our datasheets. If you have any questions regarding this update, please feel free to contact our technical support team.
This product is a high quality Goat Anti-ALMS1 Antibody.
|
||
Molecular Weight |
460965 Da
|
||
Cellular Localization |
Antigen Cellular Localization:
Cytoplasm. Cytoplasm, cytoskeleton, microtubule organizing center, centrosome. Cytoplasm, cytoskeleton, cilium basal body. Cytoplasm, cytoskeleton, spindle pole. Note=Associated with centrosomes and basal bodies at the base of primary cilia. Specifically locates to the proximal ends of centrioles and basal bodies. Colocalizes partially with NCAPD2 at these sites. During mitosis localizes to both spindle poles
|
||
Host |
Goat
|
||
Species Reactivity |
Human
|
||
Isotype |
IgG
|
||
Symbol |
KIAA0328
|
||
GeneID |
|||
UniProt ID |
|||
Function |
Involved in PCM1-dependent intracellular transport. Required, directly or indirectly, for the localization of NCAPD2 to the proximal ends of centrioles. Required for proper formation and/or maintenance of primary cilia (PC), microtubule-based structures that protrude from the surface of epithelial cells.
|
||
Summary |
This gene encodes a protein containing a large tandem-repeat domain. The mouse ortholog of this gene has been shown to function in ciliogenesis in inner medullary collecting duct cells. Mutations in this gene have been associated with Alstrom syndrome. Alternative splice variants have been described but their full length sequences have not been determined.
|
||
Form |
Liquid. Purified antibody supplied in 1x PBS buffer with 0.09% (w/v) sodium azide and 2% sucrose. |
||
Storage & Stability |
Store at +4°C short term. For long-term storage, aliquot and store at -20°C or below. Stable for 12 months at -20°C. Avoid repeated freeze-thaw cycles.
|
||
Applications |
IHC, E
|
||
Images |
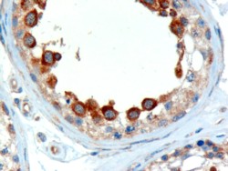
APG00023G (2 μg/ml) staining of paraffin embedded Human Testis. Microwaved antigen retrieval with Tris/EDTA buffer pH9, HRP-staining. |
||
Specification |
|||
Quantity |
|
||
| Select | Brand | Catalog No. | Product Name | Pack Size | Type | Field of Research | Specification | Quantity | Price(USD) | |
| 1 | Leading Biology | APR03440G | ITGA11 Antibody (N-term) | 100 μl | Polyclonal Antibodies |
|
$495.00 | Add Ask | ||
| 2 | Leading Biology | APR04537G | CMIP Antibody (C-term) | 100 μl | Polyclonal Antibodies |
|
$495.00 | Add Ask | ||
| 3 | Leading Biology | APR12422G | Human H4 Histamine Receptor (extracellular) Antibody | 50 μl | Polyclonal Antibodies |
|
$695.00 | Add Ask | ||
| 4 | Leading Biology | APR03844G | UBE2W Antibody (C-term) | 100 μl | Polyclonal Antibodies |
|
$495.00 | Add Ask | ||
| 5 | Leading Biology | APR04349G | HECTD2 Antibody (N-term) | 100 μl | Polyclonal Antibodies |
|
$495.00 | Add Ask | ||
| 6 | Leading Biology | APR03502G | IGHG1 Antibody (Center) | 100 μl | Polyclonal Antibodies |
|
$495.00 | Add Ask |
Leading Biology Inc.
2600 Hilltop DR, Building G, B Suite C138
Richmond, CA, 94806
Tel: 1-661-524(LBI)-0262
Email: info@leadingbiology.com
Complete this form and click send to ask us a question, request a quote or simply say hello.

You have 0 item in your cart

You have 0 item in your inquiry list