> Antigen, Antibodies, ELISA, Western Blot > Primary Antibody > Polyclonal Antibodies > MAPE Antibody (C-term)Brand |
Leading Biology | Catalog Number |
APR05797G |
Product Type |
Polyclonal Antibodies | Field of Research |
|
Product Overview |
We constantly strive to ensure we provide our customers with the best antibodies. As a result of this work we offer this antibody in purified format.
We are in the process of updating our datasheets. If you have any questions regarding this update, please feel free to contact our technical support team.
This product is a high quality MAPE Antibody (C-term).
|
||
Molecular Weight |
57890 Da
|
||
Cellular Localization |
Antigen Cellular Localization:
Nucleus. Cell membrane
|
||
Host |
Rabbit
|
||
Species Reactivity |
Human
|
||
Immunogen |
476-502 aa
|
||
Target |
This MAPE antibody is generated from rabbits immunized with a KLH conjugated synthetic peptide between 476-502 amino acids from the C-terminal region of human MAPE.
|
||
Isotype |
Rabbit Ig
|
||
Symbol |
MAPE, OIP4
|
||
GeneID |
|||
UniProt ID |
|||
Function |
Functions as a transcriptional repressor, inhibiting the signaling of retinoic acid through the retinoic acid receptors RARA, RARB and RARG. Prevents retinoic acid-induced cell proliferation arrest, differentiation and apoptosis.
|
||
Summary |
MAPE is an antigen that is predominantly expressed in human melanomas and that is recognized by cytolytic T lymphocytes. It is not expressed in normal tissues, except testis. This expression pattern is similar to that of other CT antigens, such as MAGE, BAGE and GAGE. However, unlike these other CT antigens, its gene is also expressed in acute leukemias.
|
||
Storage & Stability |
Store at +4°C short term. For long-term storage, aliquot and store at -20°C or below. Stable for 12 months at -20°C. Avoid repeated freeze-thaw cycles.
|
||
Applications |
WB, IHC-P, FC, E
|
||
Dilution |
WB~~1:1000
IHC-P~~1:50~100
FC~~1:10~50
|
||
Images |
All lanes : Anti-MAPE Antibody (C-term) at 1:2000 dilution Lane 1: Hela whole cell lysate Lane 2: K562 whole cell lysate Lane 3: 293 whole cell lysate Lane 4: human testis lysate Lane 5: human brain lysate Lane 6: human kidney lysate Lysates/proteins at 20 μg per lane. Secondary Goat Anti-Rabbit IgG, (H+L), Peroxidase conjugated at 1/10000 dilution. Predicted band size : 58 kDa Blocking/Dilution buffer: 5% NFDM/TBST.
Western blot analysis of MAPE antibody (C-term) (Cat. APR05797G) in K562 cell line lysates (35ug/lane). MAPE (arrow) was detected using the purified Pab.
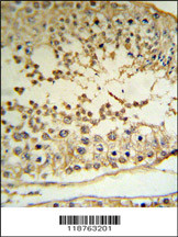
MAPE Antibody (C-term) (RB18763) IHC analysis in formalin fixed and paraffin embedded human testis tissue followed by peroxidase conjugation of the secondary antibody and DAB staining. This data demonstrates the use of the MAPE Antibody (C-term) for immunohistochemistry. Clinical relevance has not been evaluated. |
||
Specification |
|||
Quantity |
|
||
| Select | Brand | Catalog No. | Product Name | Pack Size | Type | Field of Research | Specification | Quantity | Price(USD) | |
| 1 | Leading Biology | APR03440G | ITGA11 Antibody (N-term) | 100 μl | Polyclonal Antibodies |
|
$495.00 | Add Ask | ||
| 2 | Leading Biology | APR04537G | CMIP Antibody (C-term) | 100 μl | Polyclonal Antibodies |
|
$495.00 | Add Ask | ||
| 3 | Leading Biology | APR12422G | Human H4 Histamine Receptor (extracellular) Antibody | 50 μl | Polyclonal Antibodies |
|
$695.00 | Add Ask | ||
| 4 | Leading Biology | APR03844G | UBE2W Antibody (C-term) | 100 μl | Polyclonal Antibodies |
|
$495.00 | Add Ask | ||
| 5 | Leading Biology | APR04349G | HECTD2 Antibody (N-term) | 100 μl | Polyclonal Antibodies |
|
$495.00 | Add Ask | ||
| 6 | Leading Biology | APR03502G | IGHG1 Antibody (Center) | 100 μl | Polyclonal Antibodies |
|
$495.00 | Add Ask |
Leading Biology Inc.
2600 Hilltop DR, Building G, B Suite C138
Richmond, CA, 94806
Tel: 1-661-524(LBI)-0262
Email: info@leadingbiology.com
Complete this form and click send to ask us a question, request a quote or simply say hello.

You have 0 item in your cart

You have 0 item in your inquiry list