> Antigen, Antibodies, ELISA, Western Blot > Primary Antibody > Polyclonal Antibodies > KISS1 Antibody (N-Term)Brand |
Leading Biology | Catalog Number |
APR04836G |
Product Type |
Polyclonal Antibodies | Field of Research |
|
Product Overview |
We constantly strive to ensure we provide our customers with the best antibodies. As a result of this work we offer this antibody in purified format.
We are in the process of updating our datasheets. If you have any questions regarding this update, please feel free to contact our technical support team.
This product is a high quality KISS1 Antibody (N-Term).
|
||
Molecular Weight |
14705 Da
|
||
Cellular Localization |
Antigen Cellular Localization:
Secreted.
|
||
Host |
Rabbit
|
||
Species Reactivity |
Human
|
||
Target |
This KISS1 antibody is generated from a rabbit immunized with a KLH conjugated synthetic peptide between 20-52 amino acids from human KISS1.
|
||
Isotype |
Rabbit Ig
|
||
GeneID |
|||
UniProt ID |
|||
Function |
Metastasis suppressor protein in malignant melanomas and in some breast cancers. May regulate events downstream of cell- matrix adhesion, perhaps involving cytoskeletal reorganization. Generates a C-terminally amidated peptide, metastin which functions as the endogenous ligand of the G-protein coupled receptor GPR54. Activation of the receptor inhibits cell proliferation and cell migration, key characteristics of tumor metastasis. Kp-10 is a decapeptide derived from the primary translation product, isolated in conditioned medium of first trimester trophoblast. Kp-10, but not other kisspeptins, increased intracellular Ca(2+) levels in isolated first trimester trophoblasts. Kp-10 is a paracrine/endocrine regulator in fine- tuning trophoblast invasion generated by the trophoblast itself. The receptor is also essential for normal gonadotropin-released hormone physiology and for puberty. The hypothalamic KiSS1/GPR54 system is a pivotal factor in central regulation of the gonadotropic axis at puberty and in adulthood.
|
||
Summary |
Metastasis suppressor protein in malignant melanomas and in some breast cancers. May regulate events downstream of cell- matrix adhesion, perhaps involving cytoskeletal reorganization. Generates a C-terminally amidated peptide, metastin which functions as the endogenous ligand of the G-protein coupled receptor GPR54. Activation of the receptor inhibits cell proliferation and cell migration, key characteristics of tumor metastasis. Kp-10 is a decapeptide derived from the primary translation product, isolated in conditioned medium of first trimester trophoblast. Kp-10, but not other kisspeptins, increased intracellular Ca(2+) levels in isolated first trimester trophoblasts. Kp-10 is a paracrine/endocrine regulator in fine- tuning trophoblast invasion generated by the trophoblast itself. The receptor is also essential for normal gonadotropin-released hormone physiology and for puberty. The hypothalamic KiSS1/GPR54 system is a pivotal factor in central regulation of the gonadotropic axis at puberty and in adulthood.
|
||
Storage & Stability |
Store at +4°C short term. For long-term storage, aliquot and store at -20°C or below. Stable for 12 months at -20°C. Avoid repeated freeze-thaw cycles.
|
||
Applications |
IHC-P, WB, E
|
||
Dilution |
IHC-P~~1:25
WB~~1:2000
|
||
Images |
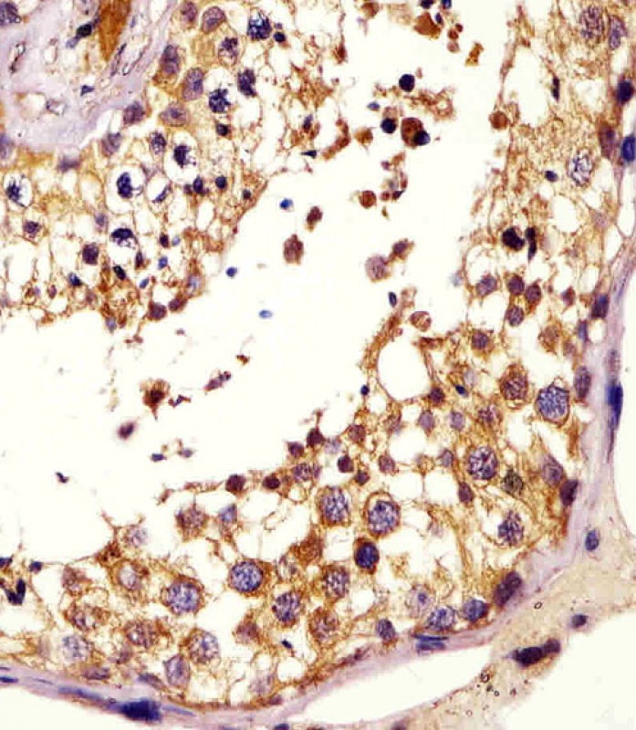
APR04836G staining KISS1 in human testis tissue sections by Immunohistochemistry (IHC-P - paraformaldehyde-fixed, paraffin-embedded sections). Tissue was fixed with formaldehyde and blocked with 3% BSA for 0. 5 hour at room temperature; antigen retrieval was by heat mediation with a citrate buffer (pH6). Samples were incubated with primary antibody (1/25) for 1 hours at 37°C. A undiluted biotinylated goat polyvalent antibody was used as the secondary antibody.
Anti-KISS1 Antibody (N-Term)at 1:500 dilution + SW480 whole cell lysates Lysates/proteins at 20 μg per lane. Secondary Goat Anti-Rabbit IgG, (H+L), Peroxidase conjugated at 1/10000 dilution Predicted band size : 15 kDa Blocking/Dilution buffer: 5% NFDM/TBST.
All lanes : Anti-KISS1 Antibody (N-Term) at 1:2000 dilution Lane 1: HL-60 whole cell lysates Lane 2: Jurkat whole cell lysates Lysates/proteins at 20 μg per lane. Secondary Goat Anti-Rabbit IgG, (H+L), Peroxidase conjugated at 1/10000 dilution Predicted band size : 15 kDa Blocking/Dilution buffer: 5% NFDM/TBST. |
||
Specification |
|||
Quantity |
|
||
| Select | Brand | Catalog No. | Product Name | Pack Size | Type | Field of Research | Specification | Quantity | Price(USD) | |
| 1 | Leading Biology | APR03440G | ITGA11 Antibody (N-term) | 100 μl | Polyclonal Antibodies |
|
$495.00 | Add Ask | ||
| 2 | Leading Biology | APR04537G | CMIP Antibody (C-term) | 100 μl | Polyclonal Antibodies |
|
$495.00 | Add Ask | ||
| 3 | Leading Biology | APR12422G | Human H4 Histamine Receptor (extracellular) Antibody | 50 μl | Polyclonal Antibodies |
|
$695.00 | Add Ask | ||
| 4 | Leading Biology | APR03844G | UBE2W Antibody (C-term) | 100 μl | Polyclonal Antibodies |
|
$495.00 | Add Ask | ||
| 5 | Leading Biology | APR04349G | HECTD2 Antibody (N-term) | 100 μl | Polyclonal Antibodies |
|
$495.00 | Add Ask | ||
| 6 | Leading Biology | APR03502G | IGHG1 Antibody (Center) | 100 μl | Polyclonal Antibodies |
|
$495.00 | Add Ask |
Leading Biology Inc.
2600 Hilltop DR, Building G, B Suite C138
Richmond, CA, 94806
Tel: 1-661-524(LBI)-0262
Email: info@leadingbiology.com
Complete this form and click send to ask us a question, request a quote or simply say hello.

You have 0 item in your cart

You have 0 item in your inquiry list