> Antigen, Antibodies, ELISA, Western Blot > Primary Antibody > Polyclonal Antibodies > UBE2L3 Antibody (C-term)Brand |
Leading Biology | Catalog Number |
APR04796G |
Product Type |
Polyclonal Antibodies | Field of Research |
|
Product Overview |
We constantly strive to ensure we provide our customers with the best antibodies. As a result of this work we offer this antibody in purified format.
We are in the process of updating our datasheets. If you have any questions regarding this update, please feel free to contact our technical support team.
This product is a high quality UBE2L3 Antibody (C-term).
|
||
Molecular Weight |
17862 Da
|
||
Cellular Localization |
Antigen Cellular Localization:
Nucleus. Cytoplasm.
|
||
Host |
Rabbit
|
||
Species Reactivity |
Human, Mouse, Rat
|
||
Immunogen |
123-153 aa
|
||
Target |
This UBE2L3 antibody is generated from rabbits immunized with a KLH conjugated synthetic peptide between 123-153 amino acids from the C-terminal region of human UBE2L3.
|
||
Isotype |
Rabbit Ig
|
||
Symbol |
UBCE7, UBCH7
|
||
GeneID |
|||
UniProt ID |
|||
Function |
Ubiquitin-conjugating enzyme E2 that specifically acts with HECT-type and RBR family E3 ubiquitin-protein ligases. Does not function with most RING-containing E3 ubiquitin-protein ligases because it lacks intrinsic E3-independent reactivity with lysine: in contrast, it has activity with the RBR family E3 enzymes, such as PARK2 and ARIH1, that function like function like RING-HECT hybrids. Accepts ubiquitin from the E1 complex and catalyzes its covalent attachment to other proteins. In vitro catalyzes 'Lys-11'-linked polyubiquitination. Involved in the selective degradation of short-lived and abnormal proteins. Down- regulated during the S-phase it is involved in progression through the cell cycle. Regulates nuclear hormone receptors transcriptional activity. May play a role in myelopoiesis.
|
||
Summary |
The modification of proteins with ubiquitin is an important cellular mechanism for targeting abnormal or short-lived proteins for degradation. Ubiquitination involves at least three classes of enzymes: ubiquitin-activating enzymes (E1s), ubiquitin-conjugating enzymes (E2s) and ubiquitin-protein ligases (E3s). UBE2L3 is a member of the E2 ubiquitin-conjugating enzyme family. This enzyme is demonstrated to participate in the ubiquitination of p53, c-Fos, and the NF-kB precursor p105 in vitro.
|
||
Storage & Stability |
Store at +4°C short term. For long-term storage, aliquot and store at -20°C or below. Stable for 12 months at -20°C. Avoid repeated freeze-thaw cycles.
|
||
Applications |
WB, IHC-P, E
|
||
Dilution |
WB~~1:1000
IHC-P~~1:50~100
|
||
Images |
UBE2L3 Antibody (C-term)(Cat. APR04796G) western blot analysis in U87-MG,mouse NIH/3T3,rat PC-12 cell line and mouse testis,rat testis tissue lysates (35ug/lane).This demonstrates the UBE2L3 antibody detected the UBE2L3 protein (arrow).
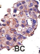
Formalin-fixed and paraffin-embedded human cancer tissue reacted with the primary antibody, which was peroxidase-conjugated to the secondary antibody, followed by DAB staining. This data demonstrates the use of this antibody for immunohistochemistry; clinical relevance has not been evaluated. BC = breast carcinoma; HC = hepatocarcinoma. |
||
Specification |
|||
Quantity |
|
||
| Select | Brand | Catalog No. | Product Name | Pack Size | Type | Field of Research | Specification | Quantity | Price(USD) | |
| 1 | Leading Biology | APR03440G | ITGA11 Antibody (N-term) | 100 μl | Polyclonal Antibodies |
|
$495.00 | Add Ask | ||
| 2 | Leading Biology | APR04537G | CMIP Antibody (C-term) | 100 μl | Polyclonal Antibodies |
|
$495.00 | Add Ask | ||
| 3 | Leading Biology | APR12422G | Human H4 Histamine Receptor (extracellular) Antibody | 50 μl | Polyclonal Antibodies |
|
$695.00 | Add Ask | ||
| 4 | Leading Biology | APR03844G | UBE2W Antibody (C-term) | 100 μl | Polyclonal Antibodies |
|
$495.00 | Add Ask | ||
| 5 | Leading Biology | APR04349G | HECTD2 Antibody (N-term) | 100 μl | Polyclonal Antibodies |
|
$495.00 | Add Ask | ||
| 6 | Leading Biology | APR03502G | IGHG1 Antibody (Center) | 100 μl | Polyclonal Antibodies |
|
$495.00 | Add Ask |
Leading Biology Inc.
2600 Hilltop DR, Building G, B Suite C138
Richmond, CA, 94806
Tel: 1-661-524(LBI)-0262
Email: info@leadingbiology.com
Complete this form and click send to ask us a question, request a quote or simply say hello.

You have 0 item in your cart

You have 0 item in your inquiry list