> Antigen, Antibodies, ELISA, Western Blot > Primary Antibody > Polyclonal Antibodies > FBXL17 Isoform 2 Antibody (C-term)Brand |
Leading Biology | Catalog Number |
APR04628G |
Product Type |
Polyclonal Antibodies | Field of Research |
|
Product Overview |
We constantly strive to ensure we provide our customers with the best antibodies. As a result of this work we offer this antibody in purified format.
We are in the process of updating our datasheets. If you have any questions regarding this update, please feel free to contact our technical support team.
This product is a high quality FBXL17 Isoform 2 Antibody (C-term).
|
||
Molecular Weight |
75695 Da
|
||
Host |
Rabbit
|
||
Species Reactivity |
Human
|
||
Target |
This FBXL17 Isoform 2 antibody is generated from a rabbit immunized with a KLH conjugated synthetic peptide between 262-297 amino acids from the C-terminal region of human FBXL17 Isoform 2.
|
||
Isotype |
Rabbit Ig
|
||
Symbol |
FBL17, FBX13, FBXO13
|
||
GeneID |
|||
UniProt ID |
|||
Function |
Substrate-recognition component of the SCF (SKP1-CUL1-F- box protein)-type E3 ubiquitin ligase complex.
|
||
Summary |
Substrate-recognition component of the SCF (SKP1-CUL1-F- box protein)-type E3 ubiquitin ligase complex (By similarity).
|
||
Storage & Stability |
Store at +4°C short term. For long-term storage, aliquot and store at -20°C or below. Stable for 12 months at -20°C. Avoid repeated freeze-thaw cycles.
|
||
Applications |
WB, FC, IHC-P, E
|
||
Dilution |
IHC-P~~1:25
FC~~1:25
WB~~1:1000
|
||
Images |
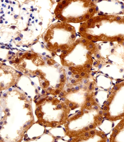
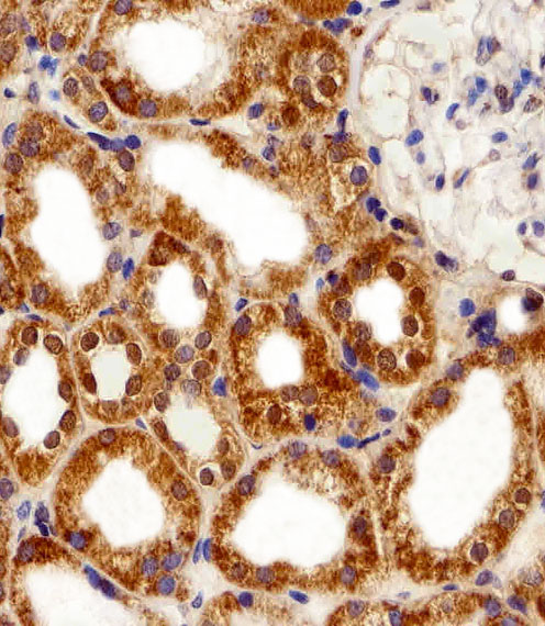
Immunohistochemical analysis of paraffin-embedded H. kidney section using FBXL17 Isoform 2 Antibody (C-term)( APR04628G). APR04628G was diluted at 1:100 dilution. A peroxidase-conjugated goat anti-rabbit IgG at 1:400 dilution was used as the secondary antibody, followed by DAB staining.
Flow cytometric analysis of MCF-7 cells using FBXL17 Isoform 2 Antibody (C-term)(green, APR04628G) compared to an isotype control of rabbit IgG(blue). APR04628G was diluted at 1:25 dilution. An Alexa Fluor? 488 goat anti-rabbit lgG at 1:400 dilution was used as the secondary antibody.
Immunohistochemical analysis of paraffin-embedded R. kidney section using FBXL17 Isoform 2 Antibody (C-term)( APR04628G). APR04628G was diluted at 1:100 dilution. A peroxidase-conjugated goat anti-rabbit IgG at 1:400 dilution was used as the secondary antibody, followed by DAB staining. |
||
Specification |
|||
Quantity |
|
||
| Select | Brand | Catalog No. | Product Name | Pack Size | Type | Field of Research | Specification | Quantity | Price(USD) | |
| 1 | Leading Biology | APR03440G | ITGA11 Antibody (N-term) | 100 μl | Polyclonal Antibodies |
|
$495.00 | Add Ask | ||
| 2 | Leading Biology | APR04537G | CMIP Antibody (C-term) | 100 μl | Polyclonal Antibodies |
|
$495.00 | Add Ask | ||
| 3 | Leading Biology | APR12422G | Human H4 Histamine Receptor (extracellular) Antibody | 50 μl | Polyclonal Antibodies |
|
$695.00 | Add Ask | ||
| 4 | Leading Biology | APR03844G | UBE2W Antibody (C-term) | 100 μl | Polyclonal Antibodies |
|
$495.00 | Add Ask | ||
| 5 | Leading Biology | APR04349G | HECTD2 Antibody (N-term) | 100 μl | Polyclonal Antibodies |
|
$495.00 | Add Ask | ||
| 6 | Leading Biology | APR03502G | IGHG1 Antibody (Center) | 100 μl | Polyclonal Antibodies |
|
$495.00 | Add Ask |
Leading Biology Inc.
2600 Hilltop DR, Building G, B Suite C138
Richmond, CA, 94806
Tel: 1-661-524(LBI)-0262
Email: info@leadingbiology.com
Complete this form and click send to ask us a question, request a quote or simply say hello.

You have 0 item in your cart

You have 0 item in your inquiry list