> Antigen, Antibodies, ELISA, Western Blot > Primary Antibody > Polyclonal Antibodies > RPLP0P6 Antibody (N-term)Brand |
Leading Biology | Catalog Number |
APR04582G |
Product Type |
Polyclonal Antibodies | Field of Research |
|
Product Overview |
We constantly strive to ensure we provide our customers with the best antibodies. As a result of this work we offer this antibody in purified format.
We are in the process of updating our datasheets. If you have any questions regarding this update, please feel free to contact our technical support team.
This product is a high quality RPLP0P6 Antibody (N-term).
|
||
Molecular Weight |
34364 Da
|
||
Host |
Rabbit
|
||
Species Reactivity |
Human
|
||
Immunogen |
1-30 aa
|
||
Target |
This RPLP0P6 antibody is generated from rabbits immunized with a KLH conjugated synthetic peptide between 1-30 amino acids from the N-terminal region of human RPLP0P6.
|
||
UniProt ID |
|||
Function |
Ribosomal protein P0 is the functional equivalent of E.coli protein L10.
|
||
Summary |
Ribosomal protein P0 is the functional equivalent of E.coli protein L10 (By similarity).
|
||
Storage & Stability |
Store at +4°C short term. For long-term storage, aliquot and store at -20°C or below. Stable for 12 months at -20°C. Avoid repeated freeze-thaw cycles.
|
||
Applications |
WB, IF, IHC-P
|
||
Dilution |
IHC-P~~1:25
IF~~1:25
WB~~1:1000
|
||
Images |
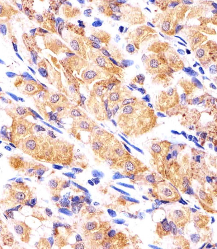
Immunohistochemical analysis of paraffin-embedded H. stomach section using RPLP0P6 Antibody (N-term)( APR04582G). APR04582G was diluted at 1:25 dilution. A undiluted biotinylated goat polyvalent antibody was used as the secondary, followed by DAB staining.
Fluorescent image of Hela cells stained with RPLP0P6 Antibody (N-term)( APR04582G). APR04582G was diluted at 1:25 dilution. An Alexa Fluor 488-conjugated goat anti-rabbit lgG at 1:400 dilution was used as the secondary antibody (green). Cytoplasmic actin was counterstained with Alexa Fluor? 555 conjugated with Phalloidin (red).
RPLP0P6 Antibody (N-term) (Cat. APR04582G) western blot analysis in U251,PC-3 cell line lysates (35ug/lane).This demonstrates the RPLP0P6 antibody detected the RPLP0P6 protein (arrow). |
||
Specification |
|||
Quantity |
|
||
| Select | Brand | Catalog No. | Product Name | Pack Size | Type | Field of Research | Specification | Quantity | Price(USD) | |
| 1 | Leading Biology | APR03440G | ITGA11 Antibody (N-term) | 100 μl | Polyclonal Antibodies |
|
$495.00 | Add Ask | ||
| 2 | Leading Biology | APR04537G | CMIP Antibody (C-term) | 100 μl | Polyclonal Antibodies |
|
$495.00 | Add Ask | ||
| 3 | Leading Biology | APR12422G | Human H4 Histamine Receptor (extracellular) Antibody | 50 μl | Polyclonal Antibodies |
|
$695.00 | Add Ask | ||
| 4 | Leading Biology | APR03844G | UBE2W Antibody (C-term) | 100 μl | Polyclonal Antibodies |
|
$495.00 | Add Ask | ||
| 5 | Leading Biology | APR04349G | HECTD2 Antibody (N-term) | 100 μl | Polyclonal Antibodies |
|
$495.00 | Add Ask | ||
| 6 | Leading Biology | APR03502G | IGHG1 Antibody (Center) | 100 μl | Polyclonal Antibodies |
|
$495.00 | Add Ask |
Leading Biology Inc.
2600 Hilltop DR, Building G, B Suite C138
Richmond, CA, 94806
Tel: 1-661-524(LBI)-0262
Email: info@leadingbiology.com
Complete this form and click send to ask us a question, request a quote or simply say hello.

You have 0 item in your cart

You have 0 item in your inquiry list