> Antigen, Antibodies, ELISA, Western Blot > Primary Antibody > Polyclonal Antibodies > RAB11B Antibody (C-term)Brand |
Leading Biology | Catalog Number |
APR03759G |
Product Type |
Polyclonal Antibodies | Field of Research |
|
Product Overview |
We constantly strive to ensure we provide our customers with the best antibodies. As a result of this work we offer this antibody in purified format.
We are in the process of updating our datasheets. If you have any questions regarding this update, please feel free to contact our technical support team.
This product is a high quality RAB11B Antibody (C-term).
|
||
Molecular Weight |
24489 Da
|
||
Cellular Localization |
Antigen Cellular Localization:
Recycling endosome membrane; Lipid-anchor; Cytoplasmic side Cytoplasmic vesicle, secretory vesicle, synaptic vesicle membrane; Lipid-anchor; Cytoplasmic side. Cytoplasmic vesicle, phagosome membrane; Lipid-anchor; Cytoplasmic side. Note=Recruited to phagosomes containing S.aureus
|
||
Host |
Rabbit
|
||
Species Reactivity |
Human, Rat
|
||
Immunogen |
164-193 aa
|
||
Target |
This RAB11B antibody is generated from rabbits immunized with a KLH conjugated synthetic peptide between 164-193 amino acids from the C-terminal region of human RAB11B.
|
||
Isotype |
Rabbit Ig
|
||
Symbol |
YPT3
|
||
GeneID |
|||
UniProt ID |
|||
Function |
The small GTPases Rab are key regulators of intracellular membrane trafficking, from the formation of transport vesicles to their fusion with membranes. Rabs cycle between an inactive GDP-bound form and an active GTP-bound form that is able to recruit to membranes different set of downstream effectors directly responsible for vesicle formation, movement, tethering and fusion. That Rab plays a role in endocytic recycling, regulating apical recycling of several transmembrane proteins including cystic fibrosis transmembrane conductance regulator/CFTR, epithelial sodium channel/ENaC, potassium voltage- gated channel, and voltage-dependent L-type calcium channel. May also regulate constitutive and regulated secretion, like insulin granule exocytosis. Required for melanosome transport and release from melanocytes. Also regulates V-ATPase intracellular transport in response to extracellular acidosis.
|
||
Summary |
The Ras superfamily of small GTP-binding proteins, whichincludes the Ras (see MIM 190020), Ral (see MIM 179550), Rho (seeMIM 165390), Rap (see MIM 179520), and Rab (see MIM 179508)families, is involved in controlling a diverse set of essentialcellular functions. The Rab family, including RAB11B, appears toplay a critical role in regulating exocytotic and endocytoticpathways (summary by Zhu et al., 1994 [PubMed 7811277]).[suppliedby OMIM].
|
||
Storage & Stability |
Store at +4°C short term. For long-term storage, aliquot and store at -20°C or below. Stable for 12 months at -20°C. Avoid repeated freeze-thaw cycles.
|
||
Applications |
WB, IHC-P, E
|
||
Dilution |
WB~~1:1000
IHC-P~~1:10~50
|
||
Images |
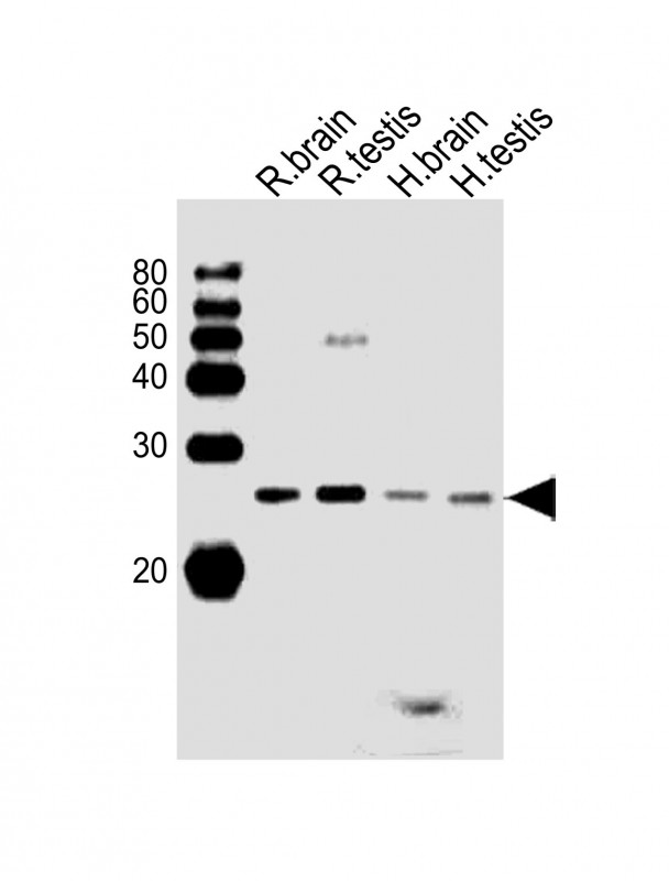
All lanes : Anti-(RAT) Rab11b Antibody (C-term) at 1:1000 dilution Lane 1: rat brain lysates Lane 2: rat testis lysates Lane 3: human brain lysates Lane 4: human testis lysates Lysates/proteins at 20 μg per lane. Secondary Goat Anti-Rabbit IgG, (H+L), Peroxidase conjugated at 1/10000 dilution Predicted band size : 24 kDa Blocking/Dilution buffer: 5% NFDM/TBST.
RAB11B Antibody (C-term) (Cat. APR03759G)immunohistochemistry analysis in formalin fixed and paraffin embedded human pancreas tissue followed by peroxidase conjugation of the secondary antibody and DAB staining.This data demonstrates the use of RAB11B Antibody (C-term) for immunohistochemistry. Clinical relevance has not been evaluated. |
||
Specification |
|||
Quantity |
|
||
| Select | Brand | Catalog No. | Product Name | Pack Size | Type | Field of Research | Specification | Quantity | Price(USD) | |
| 1 | Leading Biology | APR03440G | ITGA11 Antibody (N-term) | 100 μl | Polyclonal Antibodies |
|
$495.00 | Add Ask | ||
| 2 | Leading Biology | APR04537G | CMIP Antibody (C-term) | 100 μl | Polyclonal Antibodies |
|
$495.00 | Add Ask | ||
| 3 | Leading Biology | APR12422G | Human H4 Histamine Receptor (extracellular) Antibody | 50 μl | Polyclonal Antibodies |
|
$695.00 | Add Ask | ||
| 4 | Leading Biology | APR03844G | UBE2W Antibody (C-term) | 100 μl | Polyclonal Antibodies |
|
$495.00 | Add Ask | ||
| 5 | Leading Biology | APR04349G | HECTD2 Antibody (N-term) | 100 μl | Polyclonal Antibodies |
|
$495.00 | Add Ask | ||
| 6 | Leading Biology | APR03502G | IGHG1 Antibody (Center) | 100 μl | Polyclonal Antibodies |
|
$495.00 | Add Ask |
Leading Biology Inc.
2600 Hilltop DR, Building G, B Suite C138
Richmond, CA, 94806
Tel: 1-661-524(LBI)-0262
Email: info@leadingbiology.com
Complete this form and click send to ask us a question, request a quote or simply say hello.

You have 0 item in your cart

You have 0 item in your inquiry list