> Antigen, Antibodies, ELISA, Western Blot > Primary Antibody > Polyclonal Antibodies > PLAUR Antibody (Center)Brand |
Leading Biology | Catalog Number |
APR06076G |
Product Type |
Polyclonal Antibodies | Field of Research |
|
Product Overview |
We constantly strive to ensure we provide our customers with the best antibodies. As a result of this work we offer this antibody in purified format.
We are in the process of updating our datasheets. If you have any questions regarding this update, please feel free to contact our technical support team.
This product is a high quality PLAUR Antibody (Center).
|
||
Molecular Weight |
36978 Da
|
||
Cellular Localization |
Antigen Cellular Localization:
Cell membrane. Cell projection, invadopodium membrane. Note=Colocalized with FAP (seprase) preferentially at the cell surface of invadopodia membrane in a cytoskeleton-, integrin- and vitronectin-dependent manner Isoform 2: Secreted.
|
||
Host |
Rabbit
|
||
Species Reactivity |
Human
|
||
Immunogen |
136-166 aa
|
||
Target |
This PLAUR antibody is generated from rabbits immunized with a KLH conjugated synthetic peptide between 136-166 amino acids from the Central region of human PLAUR.
|
||
Isotype |
Rabbit Ig
|
||
Symbol |
MO3, UPAR
|
||
GeneID |
|||
UniProt ID |
|||
Function |
Acts as a receptor for urokinase plasminogen activator. Plays a role in localizing and promoting plasmin formation. Mediates the proteolysis-independent signal transduction activation effects of U-PA. It is subject to negative-feedback regulation by U-PA which cleaves it into an inactive form.
|
||
Summary |
The urokinase-type plasminogen activator receptor is a key molecule in the regulation of cell-surface plasminogen activation and plays an important role in many normal as well as pathologic processes. The human PLAUR cDNA encodes 335 amino acids including a predicted signal peptide of 22 residues and a hydrophobic C-terminal portion.1 It produces a highly glycosylated protein of about 50 kD in monocytes where it is anchored to the plasma membrane by glycosyl-phosphatidylinositol linkage. PLAUR, also known as UPAR, is directly associated with the carbohydrate-binding domain of SELL in the membrane of neutrophils, an association analogous to that between PLAUR and beta-2 integrins.2 PLAUR-mediated calcium mobilization is SELL dependent. UPAR mRNA levels correlate with the invasive potential of endometrial carcinomas and show a 33-fold increase in UPAR mRNA levels in advanced clinical stage endometrial tumors compared with normal endometrial tissue.3 Furthermore, the increase in UPAR mRNA levels correlated linearly with the progression of disease stage. UPAR protein expressioin correlated positively with rate of recurrence and mortality in patients with endometrial cancer.4 UPAR appears to be a useful prognostic marker for advanced endometrial cancer.
|
||
Storage & Stability |
Store at +4°C short term. For long-term storage, aliquot and store at -20°C or below. Stable for 12 months at -20°C. Avoid repeated freeze-thaw cycles.
|
||
Applications |
IHC-P, WB, E
|
||
Dilution |
IHC-P~~1:50~100
WB~~1:1000
|
||
Images |
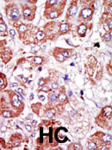
Formalin-fixed and paraffin-embedded human cancer tissue reacted with the primary antibody, which was peroxidase-conjugated to the secondary antibody, followed by DAB staining. This data demonstrates the use of this antibody for immunohistochemistry; clinical relevance has not been evaluated. BC = breast carcinoma; HC = hepatocarcinoma.
Western blot analysis of PLAUR (arrow) using rabbit polyclonal PLAUR Antibody (W151) (Cat. APR06076G). 293 cell lysates (2 ug/lane) either nontransfected (Lane 1) or transiently transfected (Lane 2) with the PLAUR gene.
Western blot analysis of PLAUR (arrow) using rabbit polyclonal PLAUR Antibody (W151) (Cat. APR06076G). 293 cell lysates (2 ug/lane) either nontransfected (Lane 1) or transiently transfected (Lane 2) with the PLAUR gene. |
||
Specification |
|||
Quantity |
|
||
| Select | Brand | Catalog No. | Product Name | Pack Size | Type | Field of Research | Specification | Quantity | Price(USD) | |
| 1 | Leading Biology | APR03440G | ITGA11 Antibody (N-term) | 100 μl | Polyclonal Antibodies |
|
$495.00 | Add Ask | ||
| 2 | Leading Biology | APR04537G | CMIP Antibody (C-term) | 100 μl | Polyclonal Antibodies |
|
$495.00 | Add Ask | ||
| 3 | Leading Biology | APR12422G | Human H4 Histamine Receptor (extracellular) Antibody | 50 μl | Polyclonal Antibodies |
|
$695.00 | Add Ask | ||
| 4 | Leading Biology | APR03844G | UBE2W Antibody (C-term) | 100 μl | Polyclonal Antibodies |
|
$495.00 | Add Ask | ||
| 5 | Leading Biology | APR04349G | HECTD2 Antibody (N-term) | 100 μl | Polyclonal Antibodies |
|
$495.00 | Add Ask | ||
| 6 | Leading Biology | APR03502G | IGHG1 Antibody (Center) | 100 μl | Polyclonal Antibodies |
|
$495.00 | Add Ask |
Leading Biology Inc.
2600 Hilltop DR, Building G, B Suite C138
Richmond, CA, 94806
Tel: 1-661-524(LBI)-0262
Email: info@leadingbiology.com
Complete this form and click send to ask us a question, request a quote or simply say hello.

You have 0 item in your cart

You have 0 item in your inquiry list