> Antigen, Antibodies, ELISA, Western Blot > Primary Antibody > Polyclonal Antibodies > ZAP70 Antibody (Center)Brand |
Leading Biology | Catalog Number |
APR06016G |
Product Type |
Polyclonal Antibodies | Field of Research |
|
Product Overview |
We constantly strive to ensure we provide our customers with the best antibodies. As a result of this work we offer this antibody in purified format.
We are in the process of updating our datasheets. If you have any questions regarding this update, please feel free to contact our technical support team.
This product is a high quality ZAP70 Antibody (Center).
|
||
Molecular Weight |
69872 Da
|
||
Cellular Localization |
Antigen Cellular Localization:
Cytoplasm. Cell membrane; Peripheral membrane protein. Note=In quiescent T-lymphocytes, it is cytoplasmic. Upon TCR activation, it is recruited at the plasma membrane by interacting with CD247/CD3Z. Colocalizes together with RHOH in the immunological synapse. RHOH is required for its proper localization to the cell membrane and cytoskeleton fractions in the thymocytes (By similarity).
|
||
Host |
Rabbit
|
||
Species Reactivity |
Human
|
||
Immunogen |
252-282 aa
|
||
Target |
This ZAP70 antibody is generated from rabbits immunized with a KLH conjugated synthetic peptide between 252-282 amino acids from the Central region of human ZAP70.
|
||
Isotype |
Rabbit Ig
|
||
Symbol |
SRK
|
||
GeneID |
|||
UniProt ID |
|||
Function |
Tyrosine kinase that plays an essential role in regulation of the adaptive immune response. Regulates motility, adhesion and cytokine expression of mature T-cells, as well as thymocyte development. Contributes also to the development and activation of primary B-lymphocytes. When antigen presenting cells (APC) activate T-cell receptor (TCR), a serie of phosphorylations lead to the recruitment of ZAP70 to the doubly phosphorylated TCR component CD247/CD3Z through ITAM motif at the plasma membrane. This recruitment serves to localization to the stimulated TCR and to relieve its autoinhibited conformation. Release of ZAP70 active conformation is further stabilized by phosphorylation mediated by LCK. Subsequently, ZAP70 phosphorylates at least 2 essential adapter proteins: LAT and LCP2. In turn, a large number of signaling molecules are recruited and ultimately lead to lymphokine production, T-cell proliferation and differentiation. Furthermore, ZAP70 controls cytoskeleton modifications, adhesion and mobility of T-lymphocytes, thus ensuring correct delivery of effectors to the APC. ZAP70 is also required for TCR-CD247/CD3Z internalization and degradation through interaction with the E3 ubiquitin-protein ligase CBL and adapter proteins SLA and SLA2. Thus, ZAP70 regulates both T-cell activation switch on and switch off by modulating TCR expression at the T-cell surface. During thymocyte development, ZAP70 promotes survival and cell-cycle progression of developing thymocytes before positive selection (when cells are still CD4/CD8 double negative). Additionally, ZAP70-dependent signaling pathway may also contribute to primary B-cells formation and activation through B-cell receptor (BCR).
|
||
Summary |
This gene encodes an enzyme belonging to the protein tyrosine kinase family, and it plays a role in T-cell development and lymphocyte activation. This enzyme, which is phosphorylated on tyrosine residues upon T-cell antigen receptor (TCR) stimulation, functions in the initial step of TCR-mediated signal transduction in combination with the Src family kinases, Lck and Fyn. This enzyme is also essential for thymocyte development. Mutations in this gene cause selective T-cell defect, a severe combined immunodeficiency disease characterized by a selective absence of CD8-positive T-cells. Two transcript variants that encode different isoforms have been found for this gene.
|
||
Storage & Stability |
Store at +4°C short term. For long-term storage, aliquot and store at -20°C or below. Stable for 12 months at -20°C. Avoid repeated freeze-thaw cycles.
|
||
Applications |
WB, IHC-P, E
|
||
Dilution |
WB~~1:1000
IHC-P~~1:50~100
|
||
Images |
All lanes : Anti-ZAP70 Antibody (A267) at 1:1000 dilution Lane 1: Jurkat whole cell lysate Lane 2: MOLT-4 whole cell lysate Lysates/proteins at 20 μg per lane. Secondary Goat Anti-Rabbit IgG, (H+L), Peroxidase conjugated at 1/10000 dilution. Predicted band size : 70 kDa Blocking/Dilution buffer: 5% NFDM/TBST.
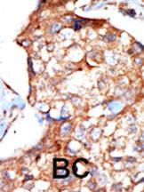
Formalin-fixed and paraffin-embedded human cancer tissue reacted with the primary antibody, which was peroxidase-conjugated to the secondary antibody, followed by DAB staining. This data demonstrates the use of this antibody for immunohistochemistry; clinical relevance has not been evaluated. BC = breast carcinoma; HC = hepatocarcinoma. |
||
Specification |
|||
Quantity |
|
||
| Select | Brand | Catalog No. | Product Name | Pack Size | Type | Field of Research | Specification | Quantity | Price(USD) | |
| 1 | Leading Biology | APR03440G | ITGA11 Antibody (N-term) | 100 μl | Polyclonal Antibodies |
|
$495.00 | Add Ask | ||
| 2 | Leading Biology | APR04537G | CMIP Antibody (C-term) | 100 μl | Polyclonal Antibodies |
|
$495.00 | Add Ask | ||
| 3 | Leading Biology | APR12422G | Human H4 Histamine Receptor (extracellular) Antibody | 50 μl | Polyclonal Antibodies |
|
$695.00 | Add Ask | ||
| 4 | Leading Biology | APR03844G | UBE2W Antibody (C-term) | 100 μl | Polyclonal Antibodies |
|
$495.00 | Add Ask | ||
| 5 | Leading Biology | APR04349G | HECTD2 Antibody (N-term) | 100 μl | Polyclonal Antibodies |
|
$495.00 | Add Ask | ||
| 6 | Leading Biology | APR03502G | IGHG1 Antibody (Center) | 100 μl | Polyclonal Antibodies |
|
$495.00 | Add Ask |
Leading Biology Inc.
2600 Hilltop DR, Building G, B Suite C138
Richmond, CA, 94806
Tel: 1-661-524(LBI)-0262
Email: info@leadingbiology.com
Complete this form and click send to ask us a question, request a quote or simply say hello.

You have 0 item in your cart

You have 0 item in your inquiry list