> Antigen, Antibodies, ELISA, Western Blot > Primary Antibody > Polyclonal Antibodies > YES1 Antibody (N-term)Brand |
Leading Biology | Catalog Number |
APR06002G |
Product Type |
Polyclonal Antibodies | Field of Research |
|
Product Overview |
We constantly strive to ensure we provide our customers with the best antibodies. As a result of this work we offer this antibody in purified format.
We are in the process of updating our datasheets. If you have any questions regarding this update, please feel free to contact our technical support team.
This product is a high quality YES1 Antibody (N-term).
|
||
Molecular Weight |
60801 Da
|
||
Cellular Localization |
Antigen Cellular Localization:
Cell membrane. Cytoplasm, cytoskeleton, microtubule organizing center, centrosome. Cytoplasm, cytosol Note=Newly synthesized protein initially accumulates in the Golgi region and traffics to the plasma membrane through the exocytic pathway
|
||
Host |
Rabbit
|
||
Species Reactivity |
Human, Mouse
|
||
Immunogen |
1-30 aa
|
||
Target |
This YES1 antibody is generated from rabbits immunized with a KLH conjugated synthetic peptide between 1-30 amino acids from the N-terminal region of human YES1.
|
||
Isotype |
Rabbit Ig
|
||
Symbol |
YES
|
||
GeneID |
|||
UniProt ID |
|||
Function |
Non-receptor protein tyrosine kinase that is involved in the regulation of cell growth and survival, apoptosis, cell-cell adhesion, cytoskeleton remodeling, and differentiation. Stimulation by receptor tyrosine kinases (RTKs) including EGRF, PDGFR, CSF1R and FGFR leads to recruitment of YES1 to the phosphorylated receptor, and activation and phosphorylation of downstream substrates. Upon EGFR activation, promotes the phosphorylation of PARD3 to favor epithelial tight junction assembly. Participates in the phosphorylation of specific junctional components such as CTNND1 by stimulating the FYN and FER tyrosine kinases at cell-cell contacts. Upon T-cell stimulation by CXCL12, phosphorylates collapsin response mediator protein 2/DPYSL2 and induces T-cell migration. Participates in CD95L/FASLG signaling pathway and mediates AKT-mediated cell migration. Plays a role in cell cycle progression by phosphorylating the cyclin-dependent kinase 4/CDK4 thus regulating the G1 phase. Also involved in G2/M progression and cytokinesis.
|
||
Summary |
YES is a member of the Src family of non-receptor tyrosine kinases participating in a wide range of cellular signalling pathways.The gene that encodes YES is the cellular homolog of the Yamaguchi sarcoma virus oncogene. This gene lies in proximity to thymidylate synthase gene on chromosome 18, and a pseudogene of it has mapped to chromosome 22.
|
||
Storage & Stability |
Store at +4°C short term. For long-term storage, aliquot and store at -20°C or below. Stable for 12 months at -20°C. Avoid repeated freeze-thaw cycles.
|
||
Applications |
WB, IHC-P, E
|
||
Dilution |
WB~~1:1000
IHC-P~~1:50~100
|
||
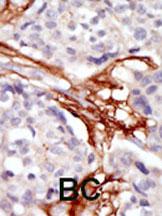
Images |
Anti-YES Antibody (K11) at 1:1000 dilution + MDA-MB-468 whole cell lysate Lysates/proteins at 20 μg per lane. Secondary Goat Anti-Rabbit IgG, (H+L), Peroxidase conjugated at 1/10000 dilution. Predicted band size : 61 kDa Blocking/Dilution buffer: 5% NFDM/TBST.
Formalin-fixed and paraffin-embedded human cancer tissue reacted with the primary antibody, which was peroxidase-conjugated to the secondary antibody, followed by AEC staining. This data demonstrates the use of this antibody for immunohistochemistry; clinical relevance has not been evaluated. BC = breast carcinoma; HC = hepatocarcinoma. |
||
Specification |
|||
Quantity |
|
||
| Select | Brand | Catalog No. | Product Name | Pack Size | Type | Field of Research | Specification | Quantity | Price(USD) | |
| 1 | Leading Biology | APR03440G | ITGA11 Antibody (N-term) | 100 μl | Polyclonal Antibodies |
|
$495.00 | Add Ask | ||
| 2 | Leading Biology | APR04537G | CMIP Antibody (C-term) | 100 μl | Polyclonal Antibodies |
|
$495.00 | Add Ask | ||
| 3 | Leading Biology | APR12422G | Human H4 Histamine Receptor (extracellular) Antibody | 50 μl | Polyclonal Antibodies |
|
$695.00 | Add Ask | ||
| 4 | Leading Biology | APR03844G | UBE2W Antibody (C-term) | 100 μl | Polyclonal Antibodies |
|
$495.00 | Add Ask | ||
| 5 | Leading Biology | APR04349G | HECTD2 Antibody (N-term) | 100 μl | Polyclonal Antibodies |
|
$495.00 | Add Ask | ||
| 6 | Leading Biology | APR03502G | IGHG1 Antibody (Center) | 100 μl | Polyclonal Antibodies |
|
$495.00 | Add Ask |
Leading Biology Inc.
2600 Hilltop DR, Building G, B Suite C138
Richmond, CA, 94806
Tel: 1-661-524(LBI)-0262
Email: info@leadingbiology.com
Complete this form and click send to ask us a question, request a quote or simply say hello.

You have 0 item in your cart

You have 0 item in your inquiry list