> Antigen, Antibodies, ELISA, Western Blot > Primary Antibody > Polyclonal Antibodies > ACK1 Antibody (C-term)Brand |
Leading Biology | Catalog Number |
APR05996G |
Product Type |
Polyclonal Antibodies | Field of Research |
|
Product Overview |
We constantly strive to ensure we provide our customers with the best antibodies. As a result of this work we offer this antibody in purified format.
We are in the process of updating our datasheets. If you have any questions regarding this update, please feel free to contact our technical support team.
This product is a high quality ACK1 Antibody (C-term).
|
||
Molecular Weight |
114569 Da
|
||
Cellular Localization |
Antigen Cellular Localization:
Cell membrane. Nucleus. Endosome. Cell junction, adherens junction. Cytoplasmic vesicle membrane; Peripheral membrane protein; Cytoplasmic side Cytoplasmic vesicle, clathrin-coated vesicle. Membrane, clathrin- coated pit. Note=The Tyr-284 phosphorylated form is found both in the membrane and nucleus. Colocalizes with EGFR on endosomes Nuclear translocation is CDC42-dependent
|
||
Host |
Rabbit
|
||
Species Reactivity |
Human
|
||
Immunogen |
934-964 aa
|
||
Target |
This ACK1 antibody is generated from rabbits immunized with a KLH conjugated synthetic peptide between 934-964 amino acids from the C-terminal region of human ACK1.
|
||
Isotype |
Rabbit Ig
|
||
Symbol |
ACK1
|
||
GeneID |
|||
UniProt ID |
|||
Function |
Non-receptor tyrosine-protein and serine/threonine- protein kinase that is implicated in cell spreading and migration, cell survival, cell growth and proliferation. Transduces extracellular signals to cytosolic and nuclear effectors. Phosphorylates AKT1, AR, MCF2, WASL and WWOX. Implicated in trafficking and clathrin-mediated endocytosis through binding to epidermal growth factor receptor (EGFR) and clathrin. Binds to both poly- and mono-ubiquitin and regulates ligand-induced degradation of EGFR, thereby contributing to the accumulation of EGFR at the limiting membrane of early endosomes. Downstream effector of CDC42 which mediates CDC42-dependent cell migration via phosphorylation of BCAR1. May be involved both in adult synaptic function and plasticity and in brain development. Activates AKT1 by phosphorylating it on 'Tyr-176'. Phosphorylates AR on 'Tyr-267' and 'Tyr-363' thereby promoting its recruitment to androgen-responsive enhancers (AREs). Phosphorylates WWOX on 'Tyr- 287'. Phosphorylates MCF2, thereby enhancing its activity as a guanine nucleotide exchange factor (GEF) toward Rho family proteins. Contributes to the control of AXL receptor levels. Confers metastatic properties on cancer cells and promotes tumor growth by negatively regulating tumor suppressor such as WWOX and positively regulating pro-survival factors such as AKT1 and AR.
|
||
Summary |
ACK1 is a tyrosine kinase that binds Cdc42Hs in its GTP-bound form and inhibits both the intrinsic and GTPase-activating protein (GAP)-stimulated GTPase activity of Cdc42Hs. This binding is mediated by a unique sequence of 47 amino acids C-terminal to an SH3 domain. The protein may be involved in a regulatory mechanism that sustains the GTP-bound active form of Cdc42Hs and which is directly linked to a tyrosine phosphorylation signal transduction pathway.
|
||
Storage & Stability |
Store at +4°C short term. For long-term storage, aliquot and store at -20°C or below. Stable for 12 months at -20°C. Avoid repeated freeze-thaw cycles.
|
||
Applications |
WB, IHC-P, E
|
||
Dilution |
WB~~1:1000
IHC-P~~1:50~100
|
||
Images |
Anti-ACK1 Antibody (C946) at 1:1000 dilution + human brain lysate Lysates/proteins at 20 μg per lane. Secondary Goat Anti-Rabbit IgG, (H+L), Peroxidase conjugated at 1/10000 dilution. Predicted band size : 115 kDa Blocking/Dilution buffer: 5% NFDM/TBST.
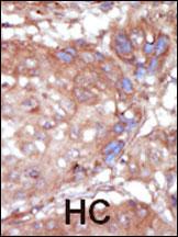
Formalin-fixed and paraffin-embedded human cancer tissue reacted with the primary antibody, which was peroxidase-conjugated to the secondary antibody, followed by AEC staining. This data demonstrates the use of this antibody for immunohistochemistry; clinical relevance has not been evaluated. BC = breast carcinoma; HC = hepatocarcinoma. |
||
Specification |
|||
Quantity |
|
||
| Select | Brand | Catalog No. | Product Name | Pack Size | Type | Field of Research | Specification | Quantity | Price(USD) | |
| 1 | Leading Biology | APR03440G | ITGA11 Antibody (N-term) | 100 μl | Polyclonal Antibodies |
|
$495.00 | Add Ask | ||
| 2 | Leading Biology | APR04537G | CMIP Antibody (C-term) | 100 μl | Polyclonal Antibodies |
|
$495.00 | Add Ask | ||
| 3 | Leading Biology | APR12422G | Human H4 Histamine Receptor (extracellular) Antibody | 50 μl | Polyclonal Antibodies |
|
$695.00 | Add Ask | ||
| 4 | Leading Biology | APR03844G | UBE2W Antibody (C-term) | 100 μl | Polyclonal Antibodies |
|
$495.00 | Add Ask | ||
| 5 | Leading Biology | APR04349G | HECTD2 Antibody (N-term) | 100 μl | Polyclonal Antibodies |
|
$495.00 | Add Ask | ||
| 6 | Leading Biology | APR03502G | IGHG1 Antibody (Center) | 100 μl | Polyclonal Antibodies |
|
$495.00 | Add Ask |
Leading Biology Inc.
2600 Hilltop DR, Building G, B Suite C138
Richmond, CA, 94806
Tel: 1-661-524(LBI)-0262
Email: info@leadingbiology.com
Complete this form and click send to ask us a question, request a quote or simply say hello.

You have 0 item in your cart

You have 0 item in your inquiry list