> Antigen, Antibodies, ELISA, Western Blot > Primary Antibody > Polyclonal Antibodies > CAMK1D (CAMK1 delta)Antibody (C-term)Brand |
Leading Biology | Catalog Number |
APR05854G |
Product Type |
Polyclonal Antibodies | Field of Research |
|
Product Overview |
We constantly strive to ensure we provide our customers with the best antibodies. As a result of this work we offer this antibody in purified format.
We are in the process of updating our datasheets. If you have any questions regarding this update, please feel free to contact our technical support team.
This product is a high quality CAMK1D (CAMK1 delta)Antibody (C-term).
|
||
Molecular Weight |
42914 Da
|
||
Cellular Localization |
Antigen Cellular Localization:
Cytoplasm. Nucleus. Note=Predominantly cytoplasmic. Nuclear localization increases upon activation by KCl treatment in hippocampal neurons
|
||
Host |
Rabbit
|
||
Species Reactivity |
Human
|
||
Immunogen |
302-333 aa
|
||
Target |
This CAMK1D (CAMK1 delta) antibody is generated from rabbits immunized with a KLH conjugated synthetic peptide between 302-333 amino acids from the C-terminal region of human CAMK1D (CAMK1 delta).
|
||
Isotype |
Rabbit Ig
|
||
Symbol |
CAMKID
|
||
GeneID |
|||
UniProt ID |
|||
Function |
Calcium/calmodulin-dependent protein kinase that operates in the calcium-triggered CaMKK-CaMK1 signaling cascade and, upon calcium influx, activates CREB-dependent gene transcription, regulates calcium-mediated granulocyte function and respiratory burst and promotes basal dendritic growth of hippocampal neurons. In neutrophil cells, required for cytokine- induced proliferative responses and activation of the respiratory burst. Activates the transcription factor CREB1 in hippocampal neuron nuclei. May play a role in apoptosis of erythroleukemia cells. In vitro, phosphorylates transcription factor CREM isoform Beta.
|
||
Summary |
CAMK1-like protein kinase belongs to a proposed calcium-triggered signaling cascade. This protein is expressed in polymorphonuclear leukocytes (PMNs) and may be part of the chemokine signal transduction pathway that regulates granulocyte function. CAMK1-like protein kinase may play a role in apoptosis of erythroleukemia cells. It activates MAP kinase MAPK3, and in vitro, phosphorylates transcription factor CREM isoform Beta and probably CREB1.
|
||
Storage & Stability |
Store at +4°C short term. For long-term storage, aliquot and store at -20°C or below. Stable for 12 months at -20°C. Avoid repeated freeze-thaw cycles.
|
||
Applications |
WB, IHC-P, E
|
||
Dilution |
WB~~1:1000
IHC-P~~1:50~100
|
||
Images |
Western blot analysis of anti-CAMK1-like C-term Pab (Cat. APR05854G) in NCIH460 cell lysate. CAMK1-like (arrow) was detected using purified Pab. Secondary HRP-anti-rabbit was used for signal visualization with chemiluminescence.
Western blot analysis of CAMK1D (arrow) using CAMK1D (CAMK1 delta)Antibody (C-term) (Cat. APR05854G). 293 cell lysates (2 ug/lane) either nontransfected (Lane 1) or transiently transfected with the CAMK1D gene (Lane 2).
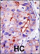
Formalin-fixed and paraffin-embedded human cancer tissue reacted with the primary antibody, which was peroxidase-conjugated to the secondary antibody, followed by DAB staining. This data demonstrates the use of this antibody for immunohistochemistry; clinical relevance has not been evaluated. BC = breast carcinoma; HC = hepatocarcinoma. |
||
Specification |
|||
Quantity |
|
||
| Select | Brand | Catalog No. | Product Name | Pack Size | Type | Field of Research | Specification | Quantity | Price(USD) | |
| 1 | Leading Biology | APR03440G | ITGA11 Antibody (N-term) | 100 μl | Polyclonal Antibodies |
|
$495.00 | Add Ask | ||
| 2 | Leading Biology | APR04537G | CMIP Antibody (C-term) | 100 μl | Polyclonal Antibodies |
|
$495.00 | Add Ask | ||
| 3 | Leading Biology | APR12422G | Human H4 Histamine Receptor (extracellular) Antibody | 50 μl | Polyclonal Antibodies |
|
$695.00 | Add Ask | ||
| 4 | Leading Biology | APR03844G | UBE2W Antibody (C-term) | 100 μl | Polyclonal Antibodies |
|
$495.00 | Add Ask | ||
| 5 | Leading Biology | APR04349G | HECTD2 Antibody (N-term) | 100 μl | Polyclonal Antibodies |
|
$495.00 | Add Ask | ||
| 6 | Leading Biology | APR03502G | IGHG1 Antibody (Center) | 100 μl | Polyclonal Antibodies |
|
$495.00 | Add Ask |
Leading Biology Inc.
2600 Hilltop DR, Building G, B Suite C138
Richmond, CA, 94806
Tel: 1-661-524(LBI)-0262
Email: info@leadingbiology.com
Complete this form and click send to ask us a question, request a quote or simply say hello.

You have 0 item in your cart

You have 0 item in your inquiry list