> Antigen, Antibodies, ELISA, Western Blot > Primary Antibody > Polyclonal Antibodies > MCA1 Antibody (C-term)Brand |
Leading Biology | Catalog Number |
APR05798G |
Product Type |
Polyclonal Antibodies | Field of Research |
|
Product Overview |
We constantly strive to ensure we provide our customers with the best antibodies. As a result of this work we offer this antibody in purified format.
We are in the process of updating our datasheets. If you have any questions regarding this update, please feel free to contact our technical support team.
This product is a high quality MCA1 Antibody (C-term).
|
||
Molecular Weight |
34353 Da
|
||
Cellular Localization |
Antigen Cellular Localization:
Nucleus. Cytoplasm, cytosol. Cytoplasmic vesicle, secretory vesicle. Secreted Endoplasmic reticulum. Golgi apparatus. Note=Enriched in secretory vesicles of pancreatic alpha cells and secreted from the pancreas in response to low glucose levels (By similarity). Also secreted in response to hypoxia and both apoptotic and necrotic cell death.
|
||
Host |
Rabbit
|
||
Species Reactivity |
Human
|
||
Immunogen |
242-268 aa
|
||
Target |
This MCA1 antibody is generated from rabbits immunized with a KLH conjugated synthetic peptide between 242-268 amino acids from the C-terminal region of human MCA1.
|
||
Isotype |
Rabbit Ig
|
||
Symbol |
EMAP2, SCYE1
|
||
GeneID |
|||
UniProt ID |
|||
Function |
Non-catalytic component of the multisynthase complex. Stimulates the catalytic activity of cytoplasmic arginyl-tRNA synthase. Binds tRNA. Possesses inflammatory cytokine activity. Negatively regulates TGF-beta signaling through stabilization of SMURF2 by binding to SMURF2 and inhibiting its SMAD7-mediated degradation. Involved in glucose homeostasis through induction of glucagon secretion at low glucose levels. Promotes dermal fibroblast proliferation and wound repair. Regulates KDELR1- mediated retention of HSP90B1/gp96 in the endoplasmic reticulum. Plays a role in angiogenesis by inducing endothelial cell migration at low concentrations and endothelian cell apoptosis at high concentrations. Induces maturation of dendritic cells and monocyte cell adhesion. Modulates endothelial cell responses by degrading HIF-1A through interaction with PSMA7.
|
||
Summary |
MCA1 is a cytokine that is specifically induced by apoptosis, and it is involved in the control of angiogenesis, inflammation, and wound healing. The release of this cytokine renders the tumor-associated vasculature sensitive to tumor necrosis factor. The precursor protein is identical to the p43 subunit, which is associated with the multi-tRNA synthetase complex, and it modulates aminoacylation activity of tRNA synthetase in normal cells. This protein is also involved in the stimulation of inflammatory responses after proteolytic cleavage in tumor cells.
|
||
Storage & Stability |
Store at +4°C short term. For long-term storage, aliquot and store at -20°C or below. Stable for 12 months at -20°C. Avoid repeated freeze-thaw cycles.
|
||
Applications |
WB, IHC-P, E
|
||
Dilution |
WB~~1:1000
IHC-P~~1:50~100
|
||
Images |
Western blot analysis of MCA1 antibody (C-term) (Cat. APR05798G) in 293 cell line lysates (35ug/lane). MCA1 (arrow) was detected using the purified Pab.
Western blot analysis of MCA1(arrow) using rabbit polyclonal MCA1 Antibody (N-term) (Cat. APR05798G). 293 cell lysates (2 ug/lane) either nontransfected (Lane 1) or transiently transfected with the MCA1 gene (Lane 2) (Origene Technologies).
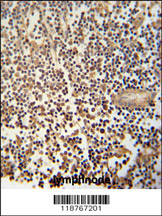
MCA1 Antibody (C-term) (Cat. APR05798G) immunohistochemistry analysis in formalin fixed and paraffin embedded human lymphnode followed by peroxidase conjugation of the secondary antibody and DAB staining. This data demonstrates the use of the MCA1 Antibody (C-term) for immunohistochemistry. Clinical relevance has not been evaluated. |
||
Specification |
|||
Quantity |
|
||
| Select | Brand | Catalog No. | Product Name | Pack Size | Type | Field of Research | Specification | Quantity | Price(USD) | |
| 1 | Leading Biology | APR03440G | ITGA11 Antibody (N-term) | 100 μl | Polyclonal Antibodies |
|
$495.00 | Add Ask | ||
| 2 | Leading Biology | APR04537G | CMIP Antibody (C-term) | 100 μl | Polyclonal Antibodies |
|
$495.00 | Add Ask | ||
| 3 | Leading Biology | APR12422G | Human H4 Histamine Receptor (extracellular) Antibody | 50 μl | Polyclonal Antibodies |
|
$695.00 | Add Ask | ||
| 4 | Leading Biology | APR03844G | UBE2W Antibody (C-term) | 100 μl | Polyclonal Antibodies |
|
$495.00 | Add Ask | ||
| 5 | Leading Biology | APR04349G | HECTD2 Antibody (N-term) | 100 μl | Polyclonal Antibodies |
|
$495.00 | Add Ask | ||
| 6 | Leading Biology | APR03502G | IGHG1 Antibody (Center) | 100 μl | Polyclonal Antibodies |
|
$495.00 | Add Ask |
Leading Biology Inc.
2600 Hilltop DR, Building G, B Suite C138
Richmond, CA, 94806
Tel: 1-661-524(LBI)-0262
Email: info@leadingbiology.com
Complete this form and click send to ask us a question, request a quote or simply say hello.

You have 0 item in your cart

You have 0 item in your inquiry list