> Antigen, Antibodies, ELISA, Western Blot > Primary Antibody > Polyclonal Antibodies > Anti-B7-DC antibodyBrand |
Leading Biology | Catalog Number |
APR05481G |
Product Type |
Polyclonal Antibodies | Field of Research |
|
Product Overview |
We constantly strive to ensure we provide our customers with the best antibodies. As a result of this work we offer this antibody in purified format.
We are in the process of updating our datasheets. If you have any questions regarding this update, please feel free to contact our technical support team.
This product is a high quality Anti-B7-DC antibody
.
|
||
Molecular Weight |
31kDa,21KD
|
||
Cellular Localization |
Antigen Cellular Localization:
Isoform 3: Secreted. Isoform 1: Cell membrane; Single-pass type I membrane protein
|
||
Host |
Rabbit
|
||
Species Reactivity |
Human, Mouse, Rat
|
||
Immunogen |
41-150/273 aa
|
||
Symbol |
B7DC, CD273, PDCD1L2, PDL2
|
||
GeneID |
|||
UniProt ID |
|||
Function |
Involved in the costimulatory signal, essential for T- cell proliferation and IFNG production in a PDCD1-independent manner. Interaction with PDCD1 inhibits T-cell proliferation by blocking cell cycle progression and cytokine production (By similarity).
|
||
Summary |
B7DC is a 33kDa member of the immunoglobulin receptor superfamily expressed on DC, liver and a small subset of macrophages as well as a few transformed cell lines. B7DC has been reported to be stimulatory on dendritic cells when cross linked and to inhibit T cell activation upon engaging the PD1 receptor. B7DC has also been reported to bind to an alternative receptor and to mediate T cell activation through non PD1 mediated interactions
|
||
Storage & Stability |
Store at +4°C short term. For long-term storage, aliquot and store at -20°C or below. Stable for 12 months at -20°C. Avoid repeated freeze-thaw cycles.
|
||
Applications |
WB
|
||
Dilution |
IHC-P~~1:100~1:500
WB~~ 1:1000
|
||
Images |
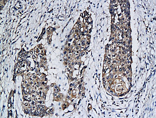
Formalin-fixed and paraffin embedded human cervical cancer labeled with Anti-B7-DC/CD273/PDL2, Unconjugated (APR05481G) followed by conjugation to the secondary antibody
Western blot analysis of lysate from Hela cell line,using Anti-B7-DC antibody (APR05481G). APR05481G was diluted at 1:1000. A goat anti-rabbit IgG H&L(HRP) at 1:10000 dilution was used as the secondary antibody.Lysate at 35ug. |
||
Specification |
|||
Quantity |
|
||
| Select | Brand | Catalog No. | Product Name | Pack Size | Type | Field of Research | Specification | Quantity | Price(USD) | |
| 1 | Leading Biology | APR03440G | ITGA11 Antibody (N-term) | 100 μl | Polyclonal Antibodies |
|
$495.00 | Add Ask | ||
| 2 | Leading Biology | APR04537G | CMIP Antibody (C-term) | 100 μl | Polyclonal Antibodies |
|
$495.00 | Add Ask | ||
| 3 | Leading Biology | APR12422G | Human H4 Histamine Receptor (extracellular) Antibody | 50 μl | Polyclonal Antibodies |
|
$695.00 | Add Ask | ||
| 4 | Leading Biology | APR03844G | UBE2W Antibody (C-term) | 100 μl | Polyclonal Antibodies |
|
$495.00 | Add Ask | ||
| 5 | Leading Biology | APR04349G | HECTD2 Antibody (N-term) | 100 μl | Polyclonal Antibodies |
|
$495.00 | Add Ask | ||
| 6 | Leading Biology | APR03502G | IGHG1 Antibody (Center) | 100 μl | Polyclonal Antibodies |
|
$495.00 | Add Ask |
Leading Biology Inc.
2600 Hilltop DR, Building G, B Suite C138
Richmond, CA, 94806
Tel: 1-661-524(LBI)-0262
Email: info@leadingbiology.com
Complete this form and click send to ask us a question, request a quote or simply say hello.

You have 0 item in your cart

You have 0 item in your inquiry list