> Antigen, Antibodies, ELISA, Western Blot > Primary Antibody > Polyclonal Antibodies > Phospho-SEPARIN(S1126) AntibodyBrand |
Leading Biology | Catalog Number |
APR05152G |
Product Type |
Polyclonal Antibodies | Field of Research |
|
Product Overview |
We constantly strive to ensure we provide our customers with the best antibodies. As a result of this work we offer this antibody in purified format.
We are in the process of updating our datasheets. If you have any questions regarding this update, please feel free to contact our technical support team.
This product is a high quality Phospho-SEPARIN(S1126) Antibody.
|
||
Molecular Weight |
233175 Da
|
||
Cellular Localization |
Antigen Cellular Localization:
Cytoplasm. Nucleus.
|
||
Host |
Rabbit
|
||
Species Reactivity |
Human
|
||
Target |
This SEPARIN Antibody is generated from rabbits immunized with a KLH conjugated synthetic phosphopeptide corresponding to amino acid residues surrounding S1126 of human SEPARIN.
|
||
Isotype |
Rabbit Ig
|
||
Symbol |
ESP1, KIAA0165
|
||
GeneID |
|||
UniProt ID |
|||
Function |
Caspase-like protease, which plays a central role in the chromosome segregation by cleaving the SCC1/RAD21 subunit of the cohesin complex at the onset of anaphase. During most of the cell cycle, it is inactivated by different mechanisms.
|
||
Summary |
The metaphase-to-anaphase transition is the final discrete event in duplication and separation of the genetic material of the cell. Its timing is regulated by the activation of the anaphase-promoting complex (APC). In both budding and fission yeast, the degradation of the Pds1 or Cut2 protein, respectively, is required for the onset of sister chromatid separation. Both proteins are APC substrates. Pds1 and Cut2 proteins associate with the yeast separin proteins Esp1 and Cut1, respectively, and prevent the separins from promoting chromatid separation. Pds1 and Cut2 are also called anaphase inhibitors or securins
|
||
Storage & Stability |
Store at +4°C short term. For long-term storage, aliquot and store at -20°C or below. Stable for 12 months at -20°C. Avoid repeated freeze-thaw cycles.
|
||
Applications |
DB, IHC-P, E
|
||
Dilution |
DB~~1:500
IHC-P~~1:50~100
|
||
Images |
Dot blot analysis of anti-hSeparase-S801 Phospho-specific Pab (Cat. APR05152G) on nitrocellulose membrane. 50ng of nonphospho-peptide or phospho-peptide were adsorbed on their respective dots. Antibody working concentration was 0.5ug per ml.
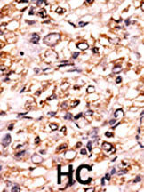
Formalin-fixed and paraffin-embedded human cancer tissue reacted with the primary antibody, which was peroxidase-conjugated to the secondary antibody, followed by DAB staining. This data demonstrates the use of this antibody for immunohistochemistry; clinical relevance has not been evaluated. BC = breast carcinoma; HC = hepatocarcinoma. |
||
Specification |
|||
Quantity |
|
||
| Select | Brand | Catalog No. | Product Name | Pack Size | Type | Field of Research | Specification | Quantity | Price(USD) | |
| 1 | Leading Biology | APR03440G | ITGA11 Antibody (N-term) | 100 μl | Polyclonal Antibodies |
|
$495.00 | Add Ask | ||
| 2 | Leading Biology | APR04537G | CMIP Antibody (C-term) | 100 μl | Polyclonal Antibodies |
|
$495.00 | Add Ask | ||
| 3 | Leading Biology | APR12422G | Human H4 Histamine Receptor (extracellular) Antibody | 50 μl | Polyclonal Antibodies |
|
$695.00 | Add Ask | ||
| 4 | Leading Biology | APR03844G | UBE2W Antibody (C-term) | 100 μl | Polyclonal Antibodies |
|
$495.00 | Add Ask | ||
| 5 | Leading Biology | APR04349G | HECTD2 Antibody (N-term) | 100 μl | Polyclonal Antibodies |
|
$495.00 | Add Ask | ||
| 6 | Leading Biology | APR03502G | IGHG1 Antibody (Center) | 100 μl | Polyclonal Antibodies |
|
$495.00 | Add Ask |
Leading Biology Inc.
2600 Hilltop DR, Building G, B Suite C138
Richmond, CA, 94806
Tel: 1-661-524(LBI)-0262
Email: info@leadingbiology.com
Complete this form and click send to ask us a question, request a quote or simply say hello.

You have 0 item in your cart

You have 0 item in your inquiry list