> Antigen, Antibodies, ELISA, Western Blot > Primary Antibody > Polyclonal Antibodies > TRAIP Antibody (C-term)Brand |
Leading Biology | Catalog Number |
APR05083G |
Product Type |
Polyclonal Antibodies | Field of Research |
|
Product Overview |
We constantly strive to ensure we provide our customers with the best antibodies. As a result of this work we offer this antibody in purified format.
We are in the process of updating our datasheets. If you have any questions regarding this update, please feel free to contact our technical support team.
This product is a high quality TRAIP Antibody (C-term).
|
||
Molecular Weight |
53294 Da
|
||
Cellular Localization |
Antigen Cellular Localization:
Cytoplasm. Cytoplasm, perinuclear region. Nucleus, nucleolus. Note=Occasionally observed at nuclear puncta
|
||
Host |
Rabbit
|
||
Species Reactivity |
Human
|
||
Immunogen |
328-356 aa
|
||
Target |
This TRAIP antibody is generated from rabbits immunized with a KLH conjugated synthetic peptide between 328-356 amino acids from the C-terminal region of human TRAIP.
|
||
Isotype |
Rabbit Ig
|
||
Symbol |
RNF206, TRIP
|
||
GeneID |
|||
UniProt ID |
|||
Function |
Inhibits activation of NF-kappa-B mediated by TNF (By similarity). Negatively regulates TLR3/4- and RIG-I-mediated IRF3 activation and subsequent IFN-beta production and cellular antiviral response by promoting 'Lys-48'-linked polyubiquitination of TNK1 leading to its proteasomal degradation. May mediate assembly of 'Lys-63'-linked poly-ubiquitin chains on the Y-family polymerase POLN to facilitate bypass of DNA lesions and preserve genomic integrity.
|
||
Summary |
TRAIP is a protein that contains an N-terminal RING finger motif and a putative coiled-coil domain. A similar murine protein interacts with TNFR-associated factor 1 (TRAF1), TNFR-associated factor 2 (TRAF2), and cylindromatosis. The interaction with TRAF2 inhibits TRAF2-mediated nuclear factor kappa-B, subunit 1 activation that is required for cell activation and protection against apoptosis.
|
||
Storage & Stability |
Store at +4°C short term. For long-term storage, aliquot and store at -20°C or below. Stable for 12 months at -20°C. Avoid repeated freeze-thaw cycles.
|
||
Applications |
WB, IHC-P, E
|
||
Dilution |
WB~~1:1000
IHC-P~~1:10~50
|
||
Images |
Western blot analysis of anti-TRAIP Antibody (C-term) (Cat.APR05083G) in HepG2 cell line lysates (35ug/lane). TRAIP(arrow) was detected using the purified Pab.
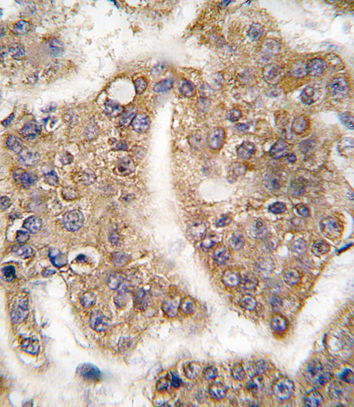
Formalin-fixed and paraffin-embedded human hepatocarcinoma tissue reacted with TRAIP antibody (C-term), which was peroxidase-conjugated to the secondary antibody, followed by DAB staining. This data demonstrates the use of this antibody for immunohistochemistry; clinical relevance has not been evaluated. |
||
Specification |
|||
Quantity |
|
||
| Select | Brand | Catalog No. | Product Name | Pack Size | Type | Field of Research | Specification | Quantity | Price(USD) | |
| 1 | Leading Biology | APR03440G | ITGA11 Antibody (N-term) | 100 μl | Polyclonal Antibodies |
|
$495.00 | Add Ask | ||
| 2 | Leading Biology | APR04537G | CMIP Antibody (C-term) | 100 μl | Polyclonal Antibodies |
|
$495.00 | Add Ask | ||
| 3 | Leading Biology | APR12422G | Human H4 Histamine Receptor (extracellular) Antibody | 50 μl | Polyclonal Antibodies |
|
$695.00 | Add Ask | ||
| 4 | Leading Biology | APR03844G | UBE2W Antibody (C-term) | 100 μl | Polyclonal Antibodies |
|
$495.00 | Add Ask | ||
| 5 | Leading Biology | APR04349G | HECTD2 Antibody (N-term) | 100 μl | Polyclonal Antibodies |
|
$495.00 | Add Ask | ||
| 6 | Leading Biology | APR03502G | IGHG1 Antibody (Center) | 100 μl | Polyclonal Antibodies |
|
$495.00 | Add Ask |
Leading Biology Inc.
2600 Hilltop DR, Building G, B Suite C138
Richmond, CA, 94806
Tel: 1-661-524(LBI)-0262
Email: info@leadingbiology.com
Complete this form and click send to ask us a question, request a quote or simply say hello.

You have 0 item in your cart

You have 0 item in your inquiry list