> Antigen, Antibodies, ELISA, Western Blot > Primary Antibody > Polyclonal Antibodies > NANOS2 Antibody (C-term)Brand |
Leading Biology | Catalog Number |
APR05061G |
Product Type |
Polyclonal Antibodies | Field of Research |
|
Product Overview |
We constantly strive to ensure we provide our customers with the best antibodies. As a result of this work we offer this antibody in purified format.
We are in the process of updating our datasheets. If you have any questions regarding this update, please feel free to contact our technical support team.
This product is a high quality NANOS2 Antibody (C-term).
|
||
Molecular Weight |
15132 Da
|
||
Cellular Localization |
Antigen Cellular Localization:
Cytoplasm. Cytoplasm, P-body. Cytoplasm, perinuclear region. Note=Localizes at P-bodies during gonocyte development (By similarity). More abundant in perinuclear region of the cytoplasm of the germ cells of the adult testis
|
||
Host |
Rabbit
|
||
Species Reactivity |
Human
|
||
Immunogen |
108-137 aa
|
||
Target |
This NANOS2 antibody is generated from rabbits immunized with a KLH conjugated synthetic peptide between 108-137 amino acids from the C-terminal region of human NANOS2.
|
||
Isotype |
Rabbit Ig
|
||
Symbol |
NOS2
|
||
GeneID |
|||
UniProt ID |
|||
Function |
Plays a key role in the sexual differentiation of germ cells by promoting the male fate but suppressing the female fate. Represses the female fate pathways by suppressing meiosis, which in turn results in the promotion of the male fate. Maintains the suppression of meiosis by preventing STRA8 expression, which is required for premeiotic DNA replication, after CYP26B1 is decreased. Regulates the localization of the CCR4-NOT deadenylation complex to P-bodies and plays a role in recruiting the complex to trigger the degradation of mRNAs involved in meiosis. Required for the maintenance of the spermatogonial stem cell population. Not essential for the assembly of P-bodies but is required for the maintenance of their normal state (By similarity).
|
||
Summary |
NANOS2 is required to support proliferation and self-renewal of proximal germ cells in males only. It probably regulates translation of specific mRNAs by associating with the 3'-UTR of mRNA targets. It is essential for spermatogonia formation.
|
||
Storage & Stability |
Store at +4°C short term. For long-term storage, aliquot and store at -20°C or below. Stable for 12 months at -20°C. Avoid repeated freeze-thaw cycles.
|
||
Applications |
WB, IHC-P, E
|
||
Dilution |
WB~~1:1000
IHC-P~~1:10~50
|
||
Images |
Western blot analysis of NANOS2 Antibody (C-term) (Cat. APR05061G) in CEM cell line lysates (35ug/lane). NANOS2 (arrow) was detected using the purified Pab.
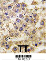
Formalin-fixed and paraffin-embedded human testis tissue reacted with NANOS2 antibody (C-term)(Cat.APR05061G), which was peroxidase-conjugated to the secondary antibody, followed by DAB staining. This data demonstrates the use of this antibody for immunohistochemistry; clinical relevance has not been evaluated. |
||
Specification |
|||
Quantity |
|
||
| Select | Brand | Catalog No. | Product Name | Pack Size | Type | Field of Research | Specification | Quantity | Price(USD) | |
| 1 | Leading Biology | APR03440G | ITGA11 Antibody (N-term) | 100 μl | Polyclonal Antibodies |
|
$495.00 | Add Ask | ||
| 2 | Leading Biology | APR04537G | CMIP Antibody (C-term) | 100 μl | Polyclonal Antibodies |
|
$495.00 | Add Ask | ||
| 3 | Leading Biology | APR12422G | Human H4 Histamine Receptor (extracellular) Antibody | 50 μl | Polyclonal Antibodies |
|
$695.00 | Add Ask | ||
| 4 | Leading Biology | APR03844G | UBE2W Antibody (C-term) | 100 μl | Polyclonal Antibodies |
|
$495.00 | Add Ask | ||
| 5 | Leading Biology | APR04349G | HECTD2 Antibody (N-term) | 100 μl | Polyclonal Antibodies |
|
$495.00 | Add Ask | ||
| 6 | Leading Biology | APR03502G | IGHG1 Antibody (Center) | 100 μl | Polyclonal Antibodies |
|
$495.00 | Add Ask |
Leading Biology Inc.
2600 Hilltop DR, Building G, B Suite C138
Richmond, CA, 94806
Tel: 1-661-524(LBI)-0262
Email: info@leadingbiology.com
Complete this form and click send to ask us a question, request a quote or simply say hello.

You have 0 item in your cart

You have 0 item in your inquiry list