> Antigen, Antibodies, ELISA, Western Blot > Primary Antibody > Polyclonal Antibodies > UBE4A Antibody (C-term)Brand |
Leading Biology | Catalog Number |
APR04779G |
Product Type |
Polyclonal Antibodies | Field of Research |
|
Product Overview |
We constantly strive to ensure we provide our customers with the best antibodies. As a result of this work we offer this antibody in purified format.
We are in the process of updating our datasheets. If you have any questions regarding this update, please feel free to contact our technical support team.
This product is a high quality UBE4A Antibody (C-term).
|
||
Molecular Weight |
122561 Da
|
||
Cellular Localization |
Antigen Cellular Localization:
Cytoplasm {ECO:0000250|UniProtKB:E9Q735}.
|
||
Host |
Rabbit
|
||
Species Reactivity |
Human
|
||
Immunogen |
1037-1067 aa
|
||
Target |
This UBE4A antibody is generated from rabbits immunized with a KLH conjugated synthetic peptide between 1037-1067 amino acids from the C-terminal region of human UBE4A.
|
||
Isotype |
Rabbit Ig
|
||
GeneID |
|||
UniProt ID |
|||
Function |
Ubiquitin-protein ligase that probably functions as an E3 ligase in conjunction with specific E1 and E2 ligases. May also function as an E4 ligase mediating the assembly of polyubiquitin chains on substrates ubiquitinated by another E3 ubiquitin ligase. Mediates 'Lys-48'-linked polyubiquitination of substrates.
|
||
Summary |
Ubiquitination requires a ubiquitin-activating enzyme, a ubiquitin-conjugating enzyme, and usually a substrate-specific ubiquitin-protein ligase. Multiubiquitination needs a fourth factor, to bind to the ubiquitin moieties of preformed conjugates and catalyze ubiquitin chain assembly in conjunction with the first three proteins.1 Human protein KIAA0126, with a predicted 1,073 amino acid residues, is a member of the novel protein family defined by ubiquitination conjugation factor E4.2 In yeast, E4 activity is linked to cell survival under stress conditions, indicating that eucaryotes use E4-dependent proteolysis pathways for multiple cellular functions.
|
||
Storage & Stability |
Store at +4°C short term. For long-term storage, aliquot and store at -20°C or below. Stable for 12 months at -20°C. Avoid repeated freeze-thaw cycles.
|
||
Applications |
WB, IHC-P, E
|
||
Dilution |
WB~~1:1000
IHC-P~~1:50~100
|
||
Images |
Anti-UBE4A Antibody (T1052) at 1:1000 dilution + K562 whole cell lysate Lysates/proteins at 20 μg per lane. Secondary Goat Anti-Rabbit IgG, (H+L), Peroxidase conjugated at 1/10000 dilution. Predicted band size : 123 kDa Blocking/Dilution buffer: 5% NFDM/TBST.
Western blot analysis of anti-UBE4A Antibody (C-term) (Cat.APR04779G) in NCI-H460 and CEM cell line lysates (35ug/lane). UBE4A (arrow) was detected using the purified Pab.
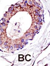
Formalin-fixed and paraffin-embedded human cancer tissue reacted with the primary antibody, which was peroxidase-conjugated to the secondary antibody, followed by DAB staining. This data demonstrates the use of this antibody for immunohistochemistry; clinical relevance has not been evaluated. BC = breast carcinoma; HC = hepatocarcinoma. |
||
Specification |
|||
Quantity |
|
||
| Select | Brand | Catalog No. | Product Name | Pack Size | Type | Field of Research | Specification | Quantity | Price(USD) | |
| 1 | Leading Biology | APR03440G | ITGA11 Antibody (N-term) | 100 μl | Polyclonal Antibodies |
|
$495.00 | Add Ask | ||
| 2 | Leading Biology | APR04537G | CMIP Antibody (C-term) | 100 μl | Polyclonal Antibodies |
|
$495.00 | Add Ask | ||
| 3 | Leading Biology | APR12422G | Human H4 Histamine Receptor (extracellular) Antibody | 50 μl | Polyclonal Antibodies |
|
$695.00 | Add Ask | ||
| 4 | Leading Biology | APR03844G | UBE2W Antibody (C-term) | 100 μl | Polyclonal Antibodies |
|
$495.00 | Add Ask | ||
| 5 | Leading Biology | APR04349G | HECTD2 Antibody (N-term) | 100 μl | Polyclonal Antibodies |
|
$495.00 | Add Ask | ||
| 6 | Leading Biology | APR03502G | IGHG1 Antibody (Center) | 100 μl | Polyclonal Antibodies |
|
$495.00 | Add Ask |
Leading Biology Inc.
2600 Hilltop DR, Building G, B Suite C138
Richmond, CA, 94806
Tel: 1-661-524(LBI)-0262
Email: info@leadingbiology.com
Complete this form and click send to ask us a question, request a quote or simply say hello.

You have 0 item in your cart

You have 0 item in your inquiry list