> Antigen, Antibodies, ELISA, Western Blot > Primary Antibody > Polyclonal Antibodies > P100 AntibodyBrand |
Leading Biology | Catalog Number |
APR04580G |
Product Type |
Polyclonal Antibodies | Field of Research |
|
Product Overview |
We constantly strive to ensure we provide our customers with the best antibodies. As a result of this work we offer this antibody in purified format.
We are in the process of updating our datasheets. If you have any questions regarding this update, please feel free to contact our technical support team.
This product is a high quality P100 Antibody.
|
||
Molecular Weight |
85653 Da
|
||
Cellular Localization |
Antigen Cellular Localization:
Nucleus. Cytoplasm, cytoskeleton, spindle. Cytoplasm, cytoskeleton, spindle pole. Note=During mitosis it is strictly associated with the spindle pole and with the mitotic spindle, whereas during S and G2, it is diffusely distributed throughout the nucleus. Is released from the nucleus in apoptotic cells and is detected on apoptotic microtubules
|
||
Host |
Rabbit
|
||
Species Reactivity |
Human
|
||
Immunogen |
350-382 aa
|
||
Target |
This P100 antibody is generated from rabbits immunized with a KLH conjugated synthetic peptide between 350-382 amino acids from human P100.
|
||
Isotype |
Rabbit Ig
|
||
Symbol |
C20orf1, C20orf2, DIL2, HCA519
|
||
GeneID |
|||
UniProt ID |
|||
Function |
Spindle assembly factor. Required for normal assembly of mitotic spindles. Required for normal assembly of microtubules during apoptosis. Required for chromatin and/or kinetochore dependent microtubule nucleation. Mediates AURKA localization to spindle microtubules. Activates AURKA by promoting its autophosphorylation at 'Thr-288' and protects this residue against dephosphorylation.
|
||
Summary |
The nuclear protein p100 is a proliferation-associated protein whose expression is restricted to cell cycle phases S, G2, and M. Exclusively expressed in proliferating cells from the transition G1/S until the end of cytokinesis. During mitosis it is strictly associated with the spindle pole and with the mitotic spindle, whereas during S and G2, it is diffusely distributed throughout the nucleus. The full-length cDNA encodes a 747-amino acid protein with a putative ATP/GTP-binding site motif. RT-PCR analysis demonstrated strong expression of in lung carcinoma cell lines but not in normal lung tissues. Expression was also found in adult placenta, skeletal muscle, thymus, testis, and small intestine and in fetal brain, liver, and kidney. P100 is also correlated to cancer prognosis.
|
||
Storage & Stability |
Store at +4°C short term. For long-term storage, aliquot and store at -20°C or below. Stable for 12 months at -20°C. Avoid repeated freeze-thaw cycles.
|
||
Applications |
WB, IHC-P, E
|
||
Dilution |
WB~~1:1000
IHC-P~~1:50~100
|
||
Images |
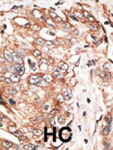
The anti-p100 Pab (Cat. APR04580G) is used in Western blot to detect p100 in placenta lysate.
Formalin-fixed and paraffin-embedded human cancer tissue reacted with the primary antibody, which was peroxidase-conjugated to the secondary antibody, followed by DAB staining. This data demonstrates the use of this antibody for immunohistochemistry; clinical relevance has not been evaluated. BC = breast carcinoma; HC = hepatocarcinoma. |
||
Specification |
|||
Quantity |
|
||
| Select | Brand | Catalog No. | Product Name | Pack Size | Type | Field of Research | Specification | Quantity | Price(USD) | |
| 1 | Leading Biology | APR03440G | ITGA11 Antibody (N-term) | 100 μl | Polyclonal Antibodies |
|
$495.00 | Add Ask | ||
| 2 | Leading Biology | APR04537G | CMIP Antibody (C-term) | 100 μl | Polyclonal Antibodies |
|
$495.00 | Add Ask | ||
| 3 | Leading Biology | APR12422G | Human H4 Histamine Receptor (extracellular) Antibody | 50 μl | Polyclonal Antibodies |
|
$695.00 | Add Ask | ||
| 4 | Leading Biology | APR03844G | UBE2W Antibody (C-term) | 100 μl | Polyclonal Antibodies |
|
$495.00 | Add Ask | ||
| 5 | Leading Biology | APR04349G | HECTD2 Antibody (N-term) | 100 μl | Polyclonal Antibodies |
|
$495.00 | Add Ask | ||
| 6 | Leading Biology | APR03502G | IGHG1 Antibody (Center) | 100 μl | Polyclonal Antibodies |
|
$495.00 | Add Ask |
Leading Biology Inc.
2600 Hilltop DR, Building G, B Suite C138
Richmond, CA, 94806
Tel: 1-661-524(LBI)-0262
Email: info@leadingbiology.com
Complete this form and click send to ask us a question, request a quote or simply say hello.

You have 0 item in your cart

You have 0 item in your inquiry list