> Antigen, Antibodies, ELISA, Western Blot > Primary Antibody > Polyclonal Antibodies > SIGLEC6 Antibody (C-term)Brand |
Leading Biology | Catalog Number |
APR04086G |
Product Type |
Polyclonal Antibodies | Field of Research |
|
Product Overview |
We constantly strive to ensure we provide our customers with the best antibodies. As a result of this work we offer this antibody in purified format.
We are in the process of updating our datasheets. If you have any questions regarding this update, please feel free to contact our technical support team.
This product is a high quality SIGLEC6 Antibody (C-term).
|
||
Molecular Weight |
49913 Da
|
||
Cellular Localization |
Antigen Cellular Localization:
Isoform 1: Cell membrane; Single-pass type I membrane protein
|
||
Host |
Rabbit
|
||
Species Reactivity |
Human, Mouse
|
||
Immunogen |
381-412 aa
|
||
Target |
This SIGLEC6 antibody is generated from rabbits immunized with a KLH conjugated synthetic peptide between 381-412 amino acids from the C-terminal region of human SIGLEC6.
|
||
Isotype |
Rabbit Ig
|
||
Symbol |
CD33L, CD33L1, OBBP1
|
||
GeneID |
|||
UniProt ID |
|||
Function |
Putative adhesion molecule that mediates sialic-acid dependent binding to cells. Binds to alpha-2,6-linked sialic acid. The sialic acid recognition site may be masked by cis interactions with sialic acids on the same cell surface.
|
||
Summary |
SIGLEC6 is a putative adhesion molecule that mediates sialic-acid dependent binding to cells by binding to alpha2,6-linked sialic acid. The sialic acid recognition site may be masked by cis interactions with sialic acids on the same cell surface. SIGLEC6, which interacts with LEP, is expressed at high levels in placenta (cyto-and syncytiotrophoblastic cells) and at lower levels in spleen, peripheral blood leukocytes (predominantly B-cells) and small intestine. It contains 1 copy of a cytoplasmic motif that is referred to as the immunoreceptor tyrosine-based inhibitor motif (ITIM). This motif is involved in downmodulation of cellular responses. The phosphorylated ITIM motif binds to the SH2 domain of PTPN6/SHP-1. The gene for SIGLEC6 belongs to the immunoglobulin superfamily.
|
||
Storage & Stability |
Store at +4°C short term. For long-term storage, aliquot and store at -20°C or below. Stable for 12 months at -20°C. Avoid repeated freeze-thaw cycles.
|
||
Applications |
IHC-P, WB, E
|
||
Dilution |
IHC-P~~1:50~100
WB~~1:1000
|
||
Images |
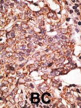
Formalin-fixed and paraffin-embedded human cancer tissue reacted with the primary antibody, which was peroxidase-conjugated to the secondary antibody, followed by AEC staining. This data demonstrates the use of this antibody for immunohistochemistry; clinical relevance has not been evaluated. BC = breast carcinoma; HC = hepatocarcinoma.
The anti-Siglec6 C-term Pab (Cat. APR04086G) is used in Western blot to detect Siglec6 in mouse spleen tissue lysate.
SIGLEC6 Antibody (Cat. APR04086G) western blot analysis in 293 cell line lysates (35ug/lane).This demonstrates the SIGLEC6 antibody detected the SIGLEC6 protein (arrow). |
||
Specification |
|||
Quantity |
|
||
| Select | Brand | Catalog No. | Product Name | Pack Size | Type | Field of Research | Specification | Quantity | Price(USD) | |
| 1 | Leading Biology | APR03440G | ITGA11 Antibody (N-term) | 100 μl | Polyclonal Antibodies |
|
$495.00 | Add Ask | ||
| 2 | Leading Biology | APR04537G | CMIP Antibody (C-term) | 100 μl | Polyclonal Antibodies |
|
$495.00 | Add Ask | ||
| 3 | Leading Biology | APR12422G | Human H4 Histamine Receptor (extracellular) Antibody | 50 μl | Polyclonal Antibodies |
|
$695.00 | Add Ask | ||
| 4 | Leading Biology | APR03844G | UBE2W Antibody (C-term) | 100 μl | Polyclonal Antibodies |
|
$495.00 | Add Ask | ||
| 5 | Leading Biology | APR04349G | HECTD2 Antibody (N-term) | 100 μl | Polyclonal Antibodies |
|
$495.00 | Add Ask | ||
| 6 | Leading Biology | APR03502G | IGHG1 Antibody (Center) | 100 μl | Polyclonal Antibodies |
|
$495.00 | Add Ask |
Leading Biology Inc.
2600 Hilltop DR, Building G, B Suite C138
Richmond, CA, 94806
Tel: 1-661-524(LBI)-0262
Email: info@leadingbiology.com
Complete this form and click send to ask us a question, request a quote or simply say hello.

You have 0 item in your cart

You have 0 item in your inquiry list