> Antigen, Antibodies, ELISA, Western Blot > Primary Antibody > Polyclonal Antibodies > LSM14A Antibody (C-term)Brand |
Leading Biology | Catalog Number |
APR04005G |
Product Type |
Polyclonal Antibodies | Field of Research |
|
Product Overview |
We constantly strive to ensure we provide our customers with the best antibodies. As a result of this work we offer this antibody in purified format.
We are in the process of updating our datasheets. If you have any questions regarding this update, please feel free to contact our technical support team.
This product is a high quality LSM14A Antibody (C-term).
|
||
Molecular Weight |
50530 Da
|
||
Cellular Localization |
Antigen Cellular Localization:
Cytoplasm. Cytoplasm, P-body. Note=Targeted to stress granules (SGs) in response to cellular stress
|
||
Host |
Rabbit
|
||
Species Reactivity |
Human
|
||
Immunogen |
311-340 aa
|
||
Target |
This LSM14A antibody is generated from rabbits immunized with a KLH conjugated synthetic peptide between 311-340 amino acids from the C-terminal region of human LSM14A.
|
||
Isotype |
Rabbit Ig
|
||
Symbol |
C19orf13, FAM61A, RAP55, RAP55A
|
||
GeneID |
|||
UniProt ID |
|||
Function |
Essential for formation of P-bodies, cytoplasmic structures that provide storage sites for non-translating mRNAs.
|
||
Summary |
Sm-like proteins were identified in a variety of organismsbased on sequence homology with the Sm protein family (see SNRPD2;601061). Sm-like proteins contain the Sm sequence motif, whichconsists of 2 regions separated by a linker of variable length thatfolds as a loop. The Sm-like proteins are thought to form a stableheteromer present in tri-snRNP particles, which are important forpre-mRNA splicing.
|
||
Storage & Stability |
Store at +4°C short term. For long-term storage, aliquot and store at -20°C or below. Stable for 12 months at -20°C. Avoid repeated freeze-thaw cycles.
|
||
Applications |
WB, IHC-P, E
|
||
Dilution |
WB~~1:1000
IHC-P~~1:10~50
|
||
Images |
LSM14A Antibody (C-term) (Cat. APR04005G) western blot analysis in A549 cell line lysates (35ug/lane).This demonstrates the LSM14A antibody detected the LSM14A protein (arrow).
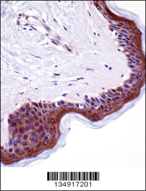
LSM14A Antibody (C-term) (APR04005G)immunohistochemistry analysis in formalin fixed and paraffin embedded human skin tissue followed by peroxidase conjugation of the secondary antibody and DAB staining.This data demonstrates the use of LSM14A Antibody (C-term) for immunohistochemistry. Clinical relevance has not been evaluated. |
||
Specification |
|||
Quantity |
|
||
| Select | Brand | Catalog No. | Product Name | Pack Size | Type | Field of Research | Specification | Quantity | Price(USD) | |
| 1 | Leading Biology | APR03440G | ITGA11 Antibody (N-term) | 100 μl | Polyclonal Antibodies |
|
$495.00 | Add Ask | ||
| 2 | Leading Biology | APR04537G | CMIP Antibody (C-term) | 100 μl | Polyclonal Antibodies |
|
$495.00 | Add Ask | ||
| 3 | Leading Biology | APR12422G | Human H4 Histamine Receptor (extracellular) Antibody | 50 μl | Polyclonal Antibodies |
|
$695.00 | Add Ask | ||
| 4 | Leading Biology | APR03844G | UBE2W Antibody (C-term) | 100 μl | Polyclonal Antibodies |
|
$495.00 | Add Ask | ||
| 5 | Leading Biology | APR04349G | HECTD2 Antibody (N-term) | 100 μl | Polyclonal Antibodies |
|
$495.00 | Add Ask | ||
| 6 | Leading Biology | APR03502G | IGHG1 Antibody (Center) | 100 μl | Polyclonal Antibodies |
|
$495.00 | Add Ask |
Leading Biology Inc.
2600 Hilltop DR, Building G, B Suite C138
Richmond, CA, 94806
Tel: 1-661-524(LBI)-0262
Email: info@leadingbiology.com
Complete this form and click send to ask us a question, request a quote or simply say hello.

You have 0 item in your cart

You have 0 item in your inquiry list