> Antigen, Antibodies, ELISA, Western Blot > Primary Antibody > Polyclonal Antibodies > GDF5 Antibody (C-term)Brand |
Leading Biology | Catalog Number |
APR03648G |
Product Type |
Polyclonal Antibodies | Field of Research |
|
Product Overview |
We constantly strive to ensure we provide our customers with the best antibodies. As a result of this work we offer this antibody in purified format.
We are in the process of updating our datasheets. If you have any questions regarding this update, please feel free to contact our technical support team.
This product is a high quality GDF5 Antibody (C-term).
|
||
Molecular Weight |
55411 Da
|
||
Cellular Localization |
Antigen Cellular Localization:
Secreted. Cell membrane
|
||
Host |
Rabbit
|
||
Species Reactivity |
Human
|
||
Immunogen |
343-371 aa
|
||
Target |
This GDF5 antibody is generated from rabbits immunized with a KLH conjugated synthetic peptide between 343-371 amino acids from the C-terminal region of human GDF5.
|
||
Isotype |
Rabbit Ig
|
||
Symbol |
BMP14, CDMP1
|
||
GeneID |
|||
UniProt ID |
|||
Function |
Required to prevent excessive muscle loss upon denervation. This function requires SMAD4 and is mediated by phosphorylated SMAD1/5/8 (By similarity). Could be involved in bone and cartilage formation. Chondrogenic signaling is mediated by the high-affinity receptor BMPR1B. Binds bacterial lipopolysaccharide (LPS) et mediates LPS-induced inflammatory response, including TNF secretion by monocytes.
|
||
Summary |
The protein encoded by this gene is a member of the bonemorphogenetic protein (BMP) family and the TGF-beta superfamily.This group of proteins is characterized by a polybasic proteolyticprocessing site which is cleaved to produce a mature proteincontaining seven conserved cysteine residues. The members of thisfamily are regulators of cell growth and differentiation in bothembryonic and adult tissues. Mutations in this gene are associatedwith acromesomelic dysplasia, Hunter-Thompson type; brachydactyly,type C; and chondrodysplasia, Grebe type. These associationsconfirm that the gene product plays a role in skeletal development.
|
||
Storage & Stability |
Store at +4°C short term. For long-term storage, aliquot and store at -20°C or below. Stable for 12 months at -20°C. Avoid repeated freeze-thaw cycles.
|
||
Applications |
WB, IHC-P, E
|
||
Dilution |
WB~~1:1000
IHC-P~~1:10~50
|
||
Images |
GDF5 Antibody (C-term) (Cat. APR03648G) western blot analysis in MDA-MB435 cell line lysates (35ug/lane).This demonstrates the GDF5 antibody detected the GDF5 protein (arrow).
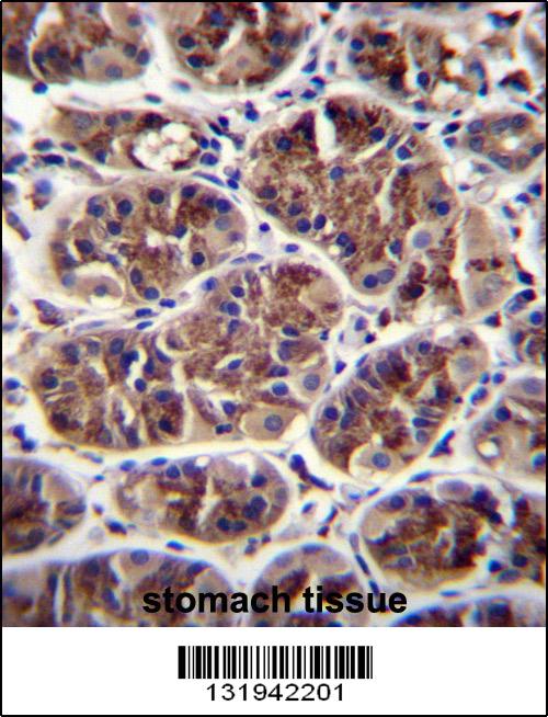
GDF5 Antibody (C-term) (Cat. APR03648G)immunohistochemistry analysis in formalin fixed and paraffin embedded human stomach tissue followed by peroxidase conjugation of the secondary antibody and DAB staining.This data demonstrates the use of GDF5 Antibody (C-term) for immunohistochemistry. Clinical relevance has not been evaluated. |
||
Specification |
|||
Quantity |
|
||
| Select | Brand | Catalog No. | Product Name | Pack Size | Type | Field of Research | Specification | Quantity | Price(USD) | |
| 1 | Leading Biology | APR03440G | ITGA11 Antibody (N-term) | 100 μl | Polyclonal Antibodies |
|
$495.00 | Add Ask | ||
| 2 | Leading Biology | APR04537G | CMIP Antibody (C-term) | 100 μl | Polyclonal Antibodies |
|
$495.00 | Add Ask | ||
| 3 | Leading Biology | APR12422G | Human H4 Histamine Receptor (extracellular) Antibody | 50 μl | Polyclonal Antibodies |
|
$695.00 | Add Ask | ||
| 4 | Leading Biology | APR03844G | UBE2W Antibody (C-term) | 100 μl | Polyclonal Antibodies |
|
$495.00 | Add Ask | ||
| 5 | Leading Biology | APR04349G | HECTD2 Antibody (N-term) | 100 μl | Polyclonal Antibodies |
|
$495.00 | Add Ask | ||
| 6 | Leading Biology | APR03502G | IGHG1 Antibody (Center) | 100 μl | Polyclonal Antibodies |
|
$495.00 | Add Ask |
Leading Biology Inc.
2600 Hilltop DR, Building G, B Suite C138
Richmond, CA, 94806
Tel: 1-661-524(LBI)-0262
Email: info@leadingbiology.com
Complete this form and click send to ask us a question, request a quote or simply say hello.

You have 0 item in your cart

You have 0 item in your inquiry list