> Antigen, Antibodies, ELISA, Western Blot > Primary Antibody > Polyclonal Antibodies > PRSS3 Antibody (Center)Brand |
Leading Biology | Catalog Number |
APR03635G |
Product Type |
Polyclonal Antibodies | Field of Research |
|
Product Overview |
We constantly strive to ensure we provide our customers with the best antibodies. As a result of this work we offer this antibody in purified format.
We are in the process of updating our datasheets. If you have any questions regarding this update, please feel free to contact our technical support team.
This product is a high quality PRSS3 Antibody (Center).
|
||
Molecular Weight |
32529 Da
|
||
Cellular Localization |
Antigen Cellular Localization:
Secreted.
|
||
Host |
Rabbit
|
||
Species Reactivity |
Human
|
||
Immunogen |
136-163 aa
|
||
Target |
This PRSS3 antibody is generated from rabbits immunized with a KLH conjugated synthetic peptide between 136-163 amino acids from the Central region of human PRSS3.
|
||
Isotype |
Rabbit Ig
|
||
Symbol |
PRSS4, TRY3, TRY4
|
||
GeneID |
|||
UniProt ID |
|||
Function |
Digestive protease specialized for the degradation of trypsin inhibitors. In the ileum, may be involved in defensin processing, including DEFA5.
|
||
Summary |
This gene encodes a trypsinogen, which is a member of thetrypsin family of serine proteases. This enzyme is expressed in thebrain and pancreas and is resistant to common trypsin inhibitors.It is active on peptide linkages involving the carboxyl group oflysine or arginine. This gene is localized to the locus of T cellreceptor beta variable orphans on chromosome 9. Four transcriptvariants encoding different isoforms have been described for thisgene.
|
||
Storage & Stability |
Store at +4°C short term. For long-term storage, aliquot and store at -20°C or below. Stable for 12 months at -20°C. Avoid repeated freeze-thaw cycles.
|
||
Applications |
IHC-P, WB, FC, E
|
||
Dilution |
WB~~1:1000
IHC-P~~1:10~50
FC~~1:10~50
|
||
Images |
All lanes : Anti-PRSS3 Antibody (Center) at 1:1000 dilution Lane 1: MDA-MB-231 whole cell lysate Lane 2: human pancreas lysate Lysates/proteins at 20 μg per lane. Secondary Goat Anti-Rabbit IgG, (H+L), Peroxidase conjugated at 1/10000 dilution. Predicted band size : 33 kDa Blocking/Dilution buffer: 5% NFDM/TBST.
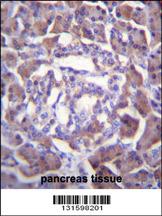
PRSS3 Antibody (Center) (Cat. APR03635G)immunohistochemistry analysis in formalin fixed and paraffin embedded human pancreas tissue followed by peroxidase conjugation of the secondary antibody and DAB staining.This data demonstrates the use of PRSS3 Antibody (Center) for immunohistochemistry. Clinical relevance has not been evaluated.
PRSS3 Antibody (Center) (Cat. APR03635G) flow cytometric analysis of HL-60 cells (right histogram) compared to a negative control cell (left histogram).FITC-conjugated goat-anti-rabbit secondary antibodies were used for the analysis. |
||
Specification |
|||
Quantity |
|
||
| Select | Brand | Catalog No. | Product Name | Pack Size | Type | Field of Research | Specification | Quantity | Price(USD) | |
| 1 | Leading Biology | APR03440G | ITGA11 Antibody (N-term) | 100 μl | Polyclonal Antibodies |
|
$495.00 | Add Ask | ||
| 2 | Leading Biology | APR04537G | CMIP Antibody (C-term) | 100 μl | Polyclonal Antibodies |
|
$495.00 | Add Ask | ||
| 3 | Leading Biology | APR12422G | Human H4 Histamine Receptor (extracellular) Antibody | 50 μl | Polyclonal Antibodies |
|
$695.00 | Add Ask | ||
| 4 | Leading Biology | APR03844G | UBE2W Antibody (C-term) | 100 μl | Polyclonal Antibodies |
|
$495.00 | Add Ask | ||
| 5 | Leading Biology | APR04349G | HECTD2 Antibody (N-term) | 100 μl | Polyclonal Antibodies |
|
$495.00 | Add Ask | ||
| 6 | Leading Biology | APR03502G | IGHG1 Antibody (Center) | 100 μl | Polyclonal Antibodies |
|
$495.00 | Add Ask |
Leading Biology Inc.
2600 Hilltop DR, Building G, B Suite C138
Richmond, CA, 94806
Tel: 1-661-524(LBI)-0262
Email: info@leadingbiology.com
Complete this form and click send to ask us a question, request a quote or simply say hello.

You have 0 item in your cart

You have 0 item in your inquiry list