> Antigen, Antibodies, ELISA, Western Blot > Primary Antibody > Phosphorylated Antibodies > Phospho-HDAC5-S498 pAbBrand |
Leading Biology | Catalog Number |
AMR00869N |
Product Type |
Phosphorylated Antibodies | Field of Research |
Cell Biology & Developmental Biology>Cell Cycle |
Product Overview |
We constantly strive to ensure we provide our customers with the best antibodies. As a result of this work we offer this antibody in purified format.
We are in the process of updating our datasheets. If you have any questions regarding this update, please feel free to contact our technical support team.
This product is a high quality Phospho-HDAC5-S498 pAb.
|
||
Molecular Weight |
Calculated MW:
112kDa/121kDa/122kDa
Observed MW:
140kDa
|
||
Species Reactivity |
Rabbit
|
||
Immunogen |
A phospho specific peptide corresponding to residues surrounding S498 of human HDAC5
|
||
Cross Reactivity |
Human,Mouse,Rat
|
||
Isotype |
IgG
|
||
GeneID |
|||
UniProt ID |
|||
Purity |
Affinity purification |
||
Storage & Stability |
Store at +4°C short term. For long-term storage, aliquot and store at -20°C or below. Stable for 12 months at -20°C. Avoid repeated freeze-thaw cycles.
|
||
Storage Buffer |
Buffer: PBS with 50% glycerol, pH7.3.
|
||
Applications |
WB,IHC
|
||
Dilution |
WB 1:500 - 1:2000
IHC 1:50 - 1:100
|
||
Product Description |
Histones play a critical role in transcriptional regulation, cell cycle progression, and developmental events. Histone acetylation/deacetylation alters chromosome structure and affects transcription factor access to DNA. The protein encoded by this gene belongs to the class II histone deacetylase/acuc/apha family. It possesses histone deacetylase activity and represses transcription when tethered to a promoter. It coimmunoprecipitates only with HDAC3 family member and might form multicomplex proteins. It also interacts with myocyte enhancer factor-2 (MEF2) proteins, resulting in repression of MEF2-dependent genes. This gene is thought to be associated with colon cancer. Two transcript variants encoding different isoforms have been found for this gene.
|
||
Synonyms |
HDAC5; HD5; NY-CO-9; histone deacetylase 5
|
||
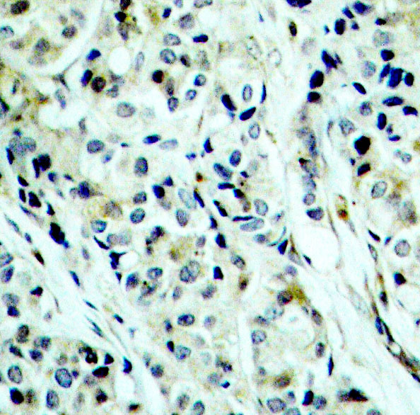
Images |
Western blot analysis of extracts of NIH/3T3 cells, using Phospho-HDAC5-S498 antibody.
Immunohistochemistry of paraffin-embedded human breast carcinoma using Phospho-HDAC5-S498 antibody. |
||
Specification |
|||
Quantity |
|
||
| Select | Brand | Catalog No. | Product Name | Pack Size | Type | Field of Research | Specification | Quantity | Price(USD) | |
| 1 | Leading Biology | AMR00900N | Phospho-CREB1-S133 pAb | 100ul | Phosphorylated Antibodies | Cell Biology & Developmental Biology>Apoptosis |
|
$495.00 | Add Ask | |
| 2 | Leading Biology | AMR01102N | Phospho-EGFR-Y1086 pAb | 100ul | Phosphorylated Antibodies | Cardiovascular>Angiogenesis |
|
$495.00 | Add Ask | |
| 3 | Leading Biology | AMR01066N | Phospho-FLNA-S2152 pAb | 100ul | Phosphorylated Antibodies | Cell Biology & Developmental Biology>Cytoskeleton |
|
$495.00 | Add Ask | |
| 4 | Leading Biology | AMR01229N | Phospho-PDGFRB-Y771 pAb | 100ul | Phosphorylated Antibodies | Cardiovascular>Angiogenesis |
|
$495.00 | Add Ask | |
| 5 | Leading Biology | APG03384N | Phospho-Histone H2A-S129 pAb | 100ul | Phosphorylated Antibodies |
|
$495.00 | Add Ask | ||
| 6 | Leading Biology | AMR00908N | Phospho-JAK2-Y221 pAb | 100ul | Phosphorylated Antibodies | Cell Biology & Developmental Biology>Apoptosis |
|
$495.00 | Add Ask |
Leading Biology Inc.
2600 Hilltop DR, Building G, B Suite C138
Richmond, CA, 94806
Tel: 1-661-524(LBI)-0262
Email: info@leadingbiology.com
Complete this form and click send to ask us a question, request a quote or simply say hello.

You have 0 item in your cart

You have 0 item in your inquiry list