> Antigen, Antibodies, ELISA, Western Blot > Primary Antibody > Phosphorylated Antibodies > Phospho-PKCalpha/beta II-T638/641 pAbBrand |
Leading Biology | Catalog Number |
AMR00868N |
Product Type |
Phosphorylated Antibodies | Field of Research |
Cell Biology & Developmental Biology>Apoptosis |
Product Overview |
We constantly strive to ensure we provide our customers with the best antibodies. As a result of this work we offer this antibody in purified format.
We are in the process of updating our datasheets. If you have any questions regarding this update, please feel free to contact our technical support team.
This product is a high quality Phospho-PKCalpha/beta II-T638/641 pAb.
|
||
Molecular Weight |
Calculated MW:
76kDa/77kDa
Observed MW:
80kDa
|
||
Species Reactivity |
Rabbit
|
||
Immunogen |
A phospho specific peptide corresponding to residues surrounding T641 of human PRKCB
|
||
Cross Reactivity |
Human,Mouse,Rat
|
||
Isotype |
IgG
|
||
GeneID |
|||
UniProt ID |
|||
Purity |
Affinity purification |
||
Storage & Stability |
Store at +4°C short term. For long-term storage, aliquot and store at -20°C or below. Stable for 12 months at -20°C. Avoid repeated freeze-thaw cycles.
|
||
Storage Buffer |
Buffer: PBS with 50% glycerol, pH7.3.
|
||
Applications |
WB,IHC,IF
|
||
Dilution |
WB 1:500 - 1:2000
IHC 1:50 - 1:100
IF 1:100 - 1:200
|
||
Product Description |
Protein kinase C (PKC) is a family of serine- and threonine-specific protein kinases that can be activated by calcium and second messenger diacylglycerol. PKC family members phosphorylate a wide variety of protein targets and are known to be involved in diverse cellular signaling pathways. PKC family members also serve as major receptors for phorbol esters, a class of tumor promoters. Each member of the PKC family has a specific expression profile and is believed to play a distinct role in cells. The protein encoded by this gene is one of the PKC family members. This protein kinase has been reported to be involved in many different cellular functions, such as B cell activation, apoptosis induction, endothelial cell proliferation, and intestinal sugar absorption. Studies in mice also suggest that this kinase may also regulate neuronal functions and correlate fear-induced conflict behavior after stress. Alternatively spliced transcript variants encoding distinct isoforms have been reported.
|
||
Synonyms |
PKC-beta;PKCB;PRKCB1;PRKCB2
|
||
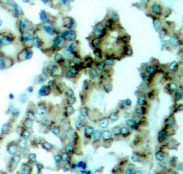
Images |
Western blot analysis of extracts of various cell lines, using Phospho-PKCalpha/beta II-T638/641 antibody.
Immunohistochemistry of paraffin-embedded human lung carcinoma tissue, using Phospho-PKCalpha/beta II-T638/641 antibody.
Immunofluorescence analysis of methanol-fixed MCF-7 cells using Phospho-PRKCB-T641 antibody. |
||
Specification |
|||
Quantity |
|
||
| Select | Brand | Catalog No. | Product Name | Pack Size | Type | Field of Research | Specification | Quantity | Price(USD) | |
| 1 | Leading Biology | AMR00900N | Phospho-CREB1-S133 pAb | 100ul | Phosphorylated Antibodies | Cell Biology & Developmental Biology>Apoptosis |
|
$495.00 | Add Ask | |
| 2 | Leading Biology | AMR01102N | Phospho-EGFR-Y1086 pAb | 100ul | Phosphorylated Antibodies | Cardiovascular>Angiogenesis |
|
$495.00 | Add Ask | |
| 3 | Leading Biology | AMR01066N | Phospho-FLNA-S2152 pAb | 100ul | Phosphorylated Antibodies | Cell Biology & Developmental Biology>Cytoskeleton |
|
$495.00 | Add Ask | |
| 4 | Leading Biology | AMR01229N | Phospho-PDGFRB-Y771 pAb | 100ul | Phosphorylated Antibodies | Cardiovascular>Angiogenesis |
|
$495.00 | Add Ask | |
| 5 | Leading Biology | APG03384N | Phospho-Histone H2A-S129 pAb | 100ul | Phosphorylated Antibodies |
|
$495.00 | Add Ask | ||
| 6 | Leading Biology | AMR00908N | Phospho-JAK2-Y221 pAb | 100ul | Phosphorylated Antibodies | Cell Biology & Developmental Biology>Apoptosis |
|
$495.00 | Add Ask |
Leading Biology Inc.
2600 Hilltop DR, Building G, B Suite C138
Richmond, CA, 94806
Tel: 1-661-524(LBI)-0262
Email: info@leadingbiology.com
Complete this form and click send to ask us a question, request a quote or simply say hello.

You have 0 item in your cart

You have 0 item in your inquiry list