> Antigen, Antibodies, ELISA, Western Blot > Primary Antibody > Monoclonal Antibodies > PDZK1 AntibodyBrand |
Leading Biology | Catalog Number |
APR09027G |
Product Type |
Monoclonal Antibodies | Field of Research |
|
Product Overview |
We constantly strive to ensure we provide our customers with the best antibodies. As a result of this work we offer this antibody in purified format.
We are in the process of updating our datasheets. If you have any questions regarding this update, please feel free to contact our technical support team.
This product is a high quality PDZK1 antibody.
|
||
Molecular Weight |
57129 Da
|
||
Cellular Localization |
Antigen Cellular Localization:
Cytoplasm. Membrane; Peripheral membrane protein. Cell membrane. Note=Associated with peripheral membranes Localizes to the apical compartment of proximal tubular cells and to sinusoidal liver membranes (By similarity).
|
||
Host |
Rabbit
|
||
Species Reactivity |
Human
|
||
Target |
A synthetic peptide corresponding to residues in human PDZK1 was used as an immunogen.
|
||
Clone |
EPR3750
|
||
Symbol |
CAP70, NHERF3, PDZD1
|
||
GeneID |
|||
UniProt ID |
|||
Function |
A scaffold protein that connects plasma membrane proteins and regulatory components, regulating their surface expression in epithelial cells apical domains. May be involved in the coordination of a diverse range of regulatory processes for ion transport and second messenger cascades. In complex with SLC9A3R1, may cluster proteins that are functionally dependent in a mutual fashion and modulate the trafficking and the activity of the associated membrane proteins. May play a role in the cellular mechanisms associated with multidrug resistance through its interaction with ABCC2 and PDZK1IP1. May potentiate the CFTR chloride channel activity. Required for normal cell-surface expression of SCARB1. Plays a role in maintaining normal plasma cholesterol levels via its effects on SCARB1. Plays a role in the normal localization and function of the chloride-anion exchanger SLC26A6 to the plasma membrane in the brush border of the proximal tubule of the kidney. May be involved in the regulation of proximal tubular Na(+)-dependent inorganic phosphate cotransport therefore playing an important role in tubule function (By similarity).
|
||
Summary |
PDZK1 is a scaffold protein that connects plasma membrane proteins and regulatory components, regulating their surface expression in epithelial cells apical domains. PDZK1 represent the link between the cell membrane-where it interacts with MAP17-and other cytoplasmic proteins involved in biologic functions such as cell proliferation, differentiation, and ion transport (1). PDZK1 is reported to be involved in the coordination of a diverse range of regulatory processes for ion transport and second messenger cascades. PDZK1 forms a complex with SLC9A3R1 and may cluster proteins that are functionally dependent in a mutual fashion and modulate the trafficking and the activity of the associated membrane proteins. PDZK1 is also involved in the regulation of proximal tubular Na(+)-dependent inorganic phosphate co-transport therefore playing an important role in tubule function (2).
|
||
Form |
50 mM Tris-Glycine (pH 7.4), 0.15 M NaCl, 40% Glycerol, 0.01% sodium azide and 0.05% BSA. |
||
Storage & Stability |
Store at +4°C short term. For long-term storage, aliquot and store at -20°C or below. Stable for 12 months at -20°C. Avoid repeated freeze-thaw cycles.
|
||
Applications |
WB, IHC
|
||
Dilution |
WB~~1:2000~10000
IHC~~1:100~250
|
||
Synonyms |
Na(+)/H(+) exchange regulatory cofactor NHE-RF3, NHERF-3, CFTR-associated protein of 70 kDa, Na(+)/H(+) exchanger regulatory factor 3, Na/Pi cotransporter C-terminal-associated protein 1, NaPi-Cap1, PDZ domain-containing protein 1, Sodium-hydrogen exchanger regulatory factor 3, PDZK1, CAP70, NHERF3, PDZD1
|
||
Images |
Western blot analysis on (A) Fetal liver and (B) Fetal kidney lysates using anti-PDZK1 RabMAb (Cat. APR09027G).
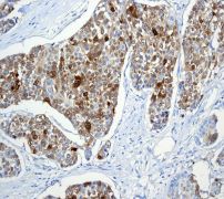
Immunohistochemical analysis of paraffin-embedded human gastric adenocarcinoma using anti-PDZK1 RabMAb (Cat. APR09027G). |
||
Specification |
|||
Quantity |
|
||
| Select | Brand | Catalog No. | Product Name | Pack Size | Type | Field of Research | Specification | Quantity | Price(USD) | |
| 1 | Leading Biology | APG02467G | CCK4 / PTK7 Antibody (clone 4F9) | 50 μl | Monoclonal Antibodies |
|
$495.00 | Add Ask | ||
| 2 | Leading Biology | AMM04683G | GALT Antibody (clone 4C11) | 50 μg | Monoclonal Antibodies |
|
$545.00 | Add Ask | ||
| 3 | Leading Biology | AMM01402G | Vimentin (Mesenchymal Cell Marker) Antibody - With BSA and Azide | 50 ug | Monoclonal Antibodies |
|
$395.00 | Add Ask | ||
| 4 | Leading Biology | APR08280G | LTA4H / LTA4 Antibody (clone 9G8) | 50 μl | Monoclonal Antibodies |
|
$495.00 | Add Ask | ||
| 5 | Leading Biology | AMM00172G | CD1a / HTA1 (Mature Langerhans Cells Marker) Antibody - With BSA and Azide | 50 ug | Monoclonal Antibodies |
|
$395.00 | Add Ask | ||
| 6 | Leading Biology | AMM05750G | CEBPA Antibody | 100 μl | Monoclonal Antibodies |
|
$545.00 | Add Ask |
Leading Biology Inc.
2600 Hilltop DR, Building G, B Suite C138
Richmond, CA, 94806
Tel: 1-661-524(LBI)-0262
Email: info@leadingbiology.com
Complete this form and click send to ask us a question, request a quote or simply say hello.

You have 0 item in your cart

You have 0 item in your inquiry list