> Antigen, Antibodies, ELISA, Western Blot > Primary Antibody > Monoclonal Antibodies > Beclin-1 AntibodyBrand |
Leading Biology | Catalog Number |
APR07077G |
Product Type |
Monoclonal Antibodies | Field of Research |
|
Product Overview |
We constantly strive to ensure we provide our customers with the best antibodies. As a result of this work we offer this antibody in purified format.
We are in the process of updating our datasheets. If you have any questions regarding this update, please feel free to contact our technical support team.
This product is a high quality Beclin-1 antibody.
|
||
Molecular Weight |
51896 Da
|
||
Cellular Localization |
Antigen Cellular Localization:
Golgi apparatus, trans-Golgi network membrane; Peripheral membrane protein. Note=Interaction with ATG14 promotes translocation to autophagosomes. Expressed in dendrites and cell bodies of cerebellar Purkinje cells (By similarity)
|
||
Host |
Rabbit
|
||
Species Reactivity |
Human
|
||
Target |
A synthetic peptide corresponding to residues near the C-terminus of human Beclin-1 was used as an immunogen.
|
||
Clone |
EPR1733Y
|
||
Symbol |
GT197
|
||
GeneID |
|||
UniProt ID |
|||
Function |
Plays a central role in autophagy (PubMed:23184933). Required for the abcission step in cytokinesis (PubMed:20208530). Protects against infection by a neurovirulent strain of Sindbis virus (PubMed:9765397). May play a role in antiviral host defense.
|
||
Summary |
The Beclin-1 (BECN1) gene encodes a 60-kDa coiled-coil protein that interacts with the prototypic apoptosis inhibitor Bcl-2 (1). Beclin-1 promotes autophagy in autophagy-defective yeast with a targeted disruption of agp6/vps30, and in human MCF7 breast carcinoma cells. The autophagy-promoting activity of Beclin-1 in MCF7 cells is associated with inhibition of MCF7 cellular proliferation, in vitro clonigenicity and tumorigenesis. Endogenous Beclin-1 protein expression is frequently low in human breast epithelial carcinoma cell lines and tissue, but is expressed ubiquitously at high levels in normal breast epithelia (2). It has also been shown that Beclin 1 contains a leucine-rich nuclear export signal motif raising the possibility that its autophagy and/or tumor suppressor function may require regulated, CRM1-dependent, nucleocytoplasmic transport (3).
|
||
Form |
50 mM Tris-Glycine (pH 7.4), 0.15 M NaCl, 40% Glycerol, 0.01% sodium azide and 0.05% BSA. |
||
Storage & Stability |
Store at +4°C short term. For long-term storage, aliquot and store at -20°C or below. Stable for 12 months at -20°C. Avoid repeated freeze-thaw cycles.
|
||
Applications |
WB, IHC
|
||
Dilution |
WB~~1:5000
IHC~~1:50
|
||
Synonyms |
Beclin-1, Coiled-coil myosin-like BCL2-interacting protein, Protein GT197, BECN1, GT197
|
||
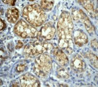
Images |
A. Western blot analysis on A431 cell lysate using anti-Beclin-1 RabMAb (Cat. APR07077G), dilution 1:5000.
B. Immunohistochemical staining of paraffin-embedded human breast tissue using anti-Beclin-1 RabMAb (Cat. APR07077G). |
||
Specification |
|||
Quantity |
|
||
| Select | Brand | Catalog No. | Product Name | Pack Size | Type | Field of Research | Specification | Quantity | Price(USD) | |
| 1 | Leading Biology | APG02467G | CCK4 / PTK7 Antibody (clone 4F9) | 50 μl | Monoclonal Antibodies |
|
$495.00 | Add Ask | ||
| 2 | Leading Biology | AMM04683G | GALT Antibody (clone 4C11) | 50 μg | Monoclonal Antibodies |
|
$545.00 | Add Ask | ||
| 3 | Leading Biology | AMM01402G | Vimentin (Mesenchymal Cell Marker) Antibody - With BSA and Azide | 50 ug | Monoclonal Antibodies |
|
$395.00 | Add Ask | ||
| 4 | Leading Biology | APR08280G | LTA4H / LTA4 Antibody (clone 9G8) | 50 μl | Monoclonal Antibodies |
|
$495.00 | Add Ask | ||
| 5 | Leading Biology | AMM00172G | CD1a / HTA1 (Mature Langerhans Cells Marker) Antibody - With BSA and Azide | 50 ug | Monoclonal Antibodies |
|
$395.00 | Add Ask | ||
| 6 | Leading Biology | AMM05750G | CEBPA Antibody | 100 μl | Monoclonal Antibodies |
|
$545.00 | Add Ask |
Leading Biology Inc.
2600 Hilltop DR, Building G, B Suite C138
Richmond, CA, 94806
Tel: 1-661-524(LBI)-0262
Email: info@leadingbiology.com
Complete this form and click send to ask us a question, request a quote or simply say hello.

You have 0 item in your cart

You have 0 item in your inquiry list