> Antigen, Antibodies, ELISA, Western Blot > Primary Antibody > Monoclonal Antibodies > Bcl-x AntibodyBrand |
Leading Biology | Catalog Number |
APG02227G |
Product Type |
Monoclonal Antibodies | Field of Research |
|
Product Overview |
We constantly strive to ensure we provide our customers with the best antibodies. As a result of this work we offer this antibody in purified format.
We are in the process of updating our datasheets. If you have any questions regarding this update, please feel free to contact our technical support team.
This product is a high quality Bcl-x antibody.
|
||
Molecular Weight |
26049 Da
|
||
Cellular Localization |
Antigen Cellular Localization:
Isoform Bcl-X(L): Mitochondrion inner membrane. Mitochondrion outer membrane. Mitochondrion matrix. Cytoplasmic vesicle, secretory vesicle, synaptic vesicle membrane. Cytoplasm, cytosol. Cytoplasm, cytoskeleton, microtubule organizing center, centrosome. Nucleus membrane; Single-pass membrane protein; Cytoplasmic side. Note=After neuronal stimulation, translocates from cytosol to synaptic vesicle and mitochondrion membrane in a calmodulin-dependent manner (By similarity). Localizes to the centrosome when phosphorylated at Ser-49.
|
||
Host |
Rabbit
|
||
Species Reactivity |
Human, Mouse, Rat
|
||
Target |
A synthetic peptide corresponding to residues between BH3 and BH3 of Human Bcl-x was used as the immunogen. This antibody should recognize Bcl-xL, Bcl-xS and Bcl-x(beta) as the immunogen sequence is common to them. The antibody does not cross-react with other Bcl-2 family members.
|
||
Clone |
E18
|
||
Symbol |
BCL2L, BCLX
|
||
GeneID |
|||
UniProt ID |
|||
Function |
Potent inhibitor of cell death. Inhibits activation of caspases. Appears to regulate cell death by blocking the voltage- dependent anion channel (VDAC) by binding to it and preventing the release of the caspase activator, CYC1, from the mitochondrial membrane. Also acts as a regulator of G2 checkpoint and progression to cytokinesis during mitosis. Isoform Bcl-X(S) promotes apoptosis.
|
||
Summary |
Bcl-x, a member of the Bcl-2 protein family, inhibits cell death, or apoptosis (1). Bcl-x is expressed as two isomeric forms, Bcl-xL and Bcl-xS, and is typically present in the cytosol in association with the mitochondrial membrane. Bcl-xL forms heterodimers with various proteins, including Bax, Bak and Bcl-2 (2). It has been found that eterodimerization with Bax does not seem to be required for anti-apoptotic activity (3). Since Bcl-xL can form an ion channel in synthetic lipid membranes, there is a strong possibility that this property plays a role in heterodimerization-independent cell survival (4). The Bcl-X(S) isoform promotes apoptosis.
|
||
Form |
50 mM Tris-Glycine (pH 7.4), 0.15 M NaCl, 40% Glycerol, 0.01% sodium azide and 0.05% BSA. |
||
Storage & Stability |
Store at +4°C short term. For long-term storage, aliquot and store at -20°C or below. Stable for 12 months at -20°C. Avoid repeated freeze-thaw cycles.
|
||
Applications |
FC, IHC, WB
|
||
Dilution |
FC~~1:50
IHC~~1:50~1:100
WB~~1:1000~10000
|
||
Synonyms |
Bcl-2-like protein 1, Bcl2-L-1, Apoptosis regulator Bcl-X, BCL2L1, BCL2L, BCLX
|
||
Images |
C. Flow cytometric analysis of permeabilized K562 cells using anti-Bcl-x RabMAb (red) (Cat. APG02227G) or a Rabbit IgG (negative) (green).
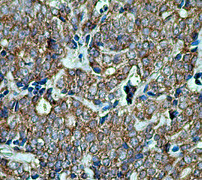
B. Immunohistochemical analysis of human paraffin-embedded prostate carcinoma tissue using anti-Bcl-x RabMAb (Cat. APG02227G).
A. Western blot analysis of K562 cell lysate using anti-Bcl-x RabMAb (Cat. APG02227G), 1:1,000 dilution. |
||
Specification |
|||
Quantity |
|
||
| Select | Brand | Catalog No. | Product Name | Pack Size | Type | Field of Research | Specification | Quantity | Price(USD) | |
| 1 | Leading Biology | APG02467G | CCK4 / PTK7 Antibody (clone 4F9) | 50 μl | Monoclonal Antibodies |
|
$495.00 | Add Ask | ||
| 2 | Leading Biology | AMM04683G | GALT Antibody (clone 4C11) | 50 μg | Monoclonal Antibodies |
|
$545.00 | Add Ask | ||
| 3 | Leading Biology | AMM01402G | Vimentin (Mesenchymal Cell Marker) Antibody - With BSA and Azide | 50 ug | Monoclonal Antibodies |
|
$395.00 | Add Ask | ||
| 4 | Leading Biology | APR08280G | LTA4H / LTA4 Antibody (clone 9G8) | 50 μl | Monoclonal Antibodies |
|
$495.00 | Add Ask | ||
| 5 | Leading Biology | AMM00172G | CD1a / HTA1 (Mature Langerhans Cells Marker) Antibody - With BSA and Azide | 50 ug | Monoclonal Antibodies |
|
$395.00 | Add Ask | ||
| 6 | Leading Biology | AMM05750G | CEBPA Antibody | 100 μl | Monoclonal Antibodies |
|
$545.00 | Add Ask |
Leading Biology Inc.
2600 Hilltop DR, Building G, B Suite C138
Richmond, CA, 94806
Tel: 1-661-524(LBI)-0262
Email: info@leadingbiology.com
Complete this form and click send to ask us a question, request a quote or simply say hello.

You have 0 item in your cart

You have 0 item in your inquiry list