> Antigen, Antibodies, ELISA, Western Blot > Primary Antibody > Monoclonal Antibodies > ADRBK1 Antibody (C-term)Brand |
Leading Biology | Catalog Number |
AMM05587G |
Product Type |
Monoclonal Antibodies | Field of Research |
|
Product Overview |
We constantly strive to ensure we provide our customers with the best antibodies. As a result of this work we offer this antibody in purified format.
We are in the process of updating our datasheets. If you have any questions regarding this update, please feel free to contact our technical support team.
This product is a high quality ADRBK1 antibody (C-term).
|
||
Molecular Weight |
79574 Da
|
||
Cellular Localization |
Antigen Cellular Localization:
Cytoplasm {ECO:0000250|UniProtKB:P21146}. Cell membrane {ECO:0000250|UniProtKB:P21146}
|
||
Host |
Rabbit
|
||
Species Reactivity |
Human, Mouse, Rat
|
||
Target |
A synthetic peptide corresponding to residues in the C-terminus of human Beta-ARK1 was used as an immunogen. The antibody does not cross-react with other GPRK family member.
|
||
Clone |
Y137
|
||
Symbol |
BARK, BARK1, GRK2
|
||
GeneID |
|||
UniProt ID |
|||
Function |
Specifically phosphorylates the agonist-occupied form of the beta-adrenergic and closely related receptors, probably inducing a desensitization of them. Key regulator of LPAR1 signaling. Competes with RALA for binding to LPAR1 thus affecting the signaling properties of the receptor. Desensitizes LPAR1 and LPAR2 in a phosphorylation-independent manner.
|
||
Summary |
Beta-Adrenergic receptor kinase (β-ARK1) also known as GRK2 is part of the G Serine /Threonine protein-coupled receptor kinase family (1). β-ARK1 specifically phosphorylates G protein-coupled receptors in their activated form (agonist-bound state). Phosphorylation occurs in the carboxyl terminal tail of the receptor(2). Additionally, phosphorylation of the receptor by β-ARK1 requires β-Arrestin to induce complete homologous desentisization(3).
|
||
Form |
50 mM Tris-Glycine (pH 7.4), 0.15 M NaCl, 40% Glycerol, 0.01% sodium azide and 0.05% BSA. |
||
Storage & Stability |
Store at +4°C short term. For long-term storage, aliquot and store at -20°C or below. Stable for 12 months at -20°C. Avoid repeated freeze-thaw cycles.
|
||
Applications |
WB, IHC
|
||
Dilution |
WB~~1:500~1000
IHC~~1:100~250
|
||
Synonyms |
Beta-adrenergic receptor kinase 1, Beta-ARK-1, G-protein coupled receptor kinase 2, ADRBK1, BARK, BARK1, GRK2
|
||
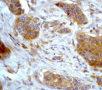
Images |
A. Western blot analysis on U937 cell lysate using anti- Beta-ARK1 (GRK2) RabMAb (Cat. AMM05587G). dilution 1:500.
B. Immunohistochemical analysis of paraffin-embedded human breast carcinoma using anti-Beta-ARK1 (GRK2) RabMAb (Cat. AMM05587G). |
||
Specification |
|||
Quantity |
|
||
| Select | Brand | Catalog No. | Product Name | Pack Size | Type | Field of Research | Specification | Quantity | Price(USD) | |
| 1 | Leading Biology | APG02467G | CCK4 / PTK7 Antibody (clone 4F9) | 50 μl | Monoclonal Antibodies |
|
$495.00 | Add Ask | ||
| 2 | Leading Biology | AMM04683G | GALT Antibody (clone 4C11) | 50 μg | Monoclonal Antibodies |
|
$545.00 | Add Ask | ||
| 3 | Leading Biology | AMM01402G | Vimentin (Mesenchymal Cell Marker) Antibody - With BSA and Azide | 50 ug | Monoclonal Antibodies |
|
$395.00 | Add Ask | ||
| 4 | Leading Biology | APR08280G | LTA4H / LTA4 Antibody (clone 9G8) | 50 μl | Monoclonal Antibodies |
|
$495.00 | Add Ask | ||
| 5 | Leading Biology | AMM00172G | CD1a / HTA1 (Mature Langerhans Cells Marker) Antibody - With BSA and Azide | 50 ug | Monoclonal Antibodies |
|
$395.00 | Add Ask | ||
| 6 | Leading Biology | AMM05750G | CEBPA Antibody | 100 μl | Monoclonal Antibodies |
|
$545.00 | Add Ask |
Leading Biology Inc.
2600 Hilltop DR, Building G, B Suite C138
Richmond, CA, 94806
Tel: 1-661-524(LBI)-0262
Email: info@leadingbiology.com
Complete this form and click send to ask us a question, request a quote or simply say hello.

You have 0 item in your cart

You have 0 item in your inquiry list