> Custom Services > Antibody Discovery Services > Rabbit Monoclonal Antibody ProductionIntroduction
There are two sets of preparation schemes for the preparation of rabbit monoclonal antibody. Both schemes do not depend on the rabbit myeloma cells, but the provenance of the antibodies is undoubtedly rabbit, these methods greatly shorten the test time and improve the success rate, while preserving the advantage of the rabbit monoclonal antibody.
Plan A: Phage Display
The M13 phage display system is a powerful technology for engineering proteins such as functional mutant proteins and peptides, by expression protein/antibody/polypeptides-phage pIII protein fusion, the target protein was involved in phage assembly and displayed on the phage surface to form a phage display library. Using phage display library to targeting the specific target molecules for 3-5 rounds of affinity screening, we can collect phages that specifically bind the target molecules, and get relevant DNA sequence information.
The phage display technology service platform designed by Leading Biology including common libraries, such as the immune antibody library, natural antibody library, etc. Can customizing personalized library according to the special needs of customers, provide flexible and efficient screening services. On the basis of this technical reserves, the phage display scheme of rabbit monoclonal antibody preparation could provide large-scale, deep domain detection of high affinity antibodies efficiently and flexibly. At the same time, combined with the company's patented rabbit Fc expression plasmid, and high-level eukaryotic expression system, make our antibodies have high expression efficiency.
Plan B: Heterogeneous Recombination
Leading Biology developed a revolutionary monoclonal antibody production technique, which doesn't kill animals, also independent from hybridoma. This technique including isolation and culture of B cells, screening of antigen specific B cells using ELISA, Western Blot, IHC, etc., and expression of a complete recombinant antibody molecule by means of molecular clone. This technology can be used to develop high quality monoclonal antibodies of different species such as rabbits and mice.
Main Technologies
1.High efficient B cells in vitro culture system
2.High throughput screening technique for B cells
3.Stable VH and VL antibody expression system
4.High throughput antibody molecular sequencing platform
Service package
|
Service Items |
Time (weeks) |
Plan 1: Phage Display |
Plan 2: Heterogeneous Recombination |
|||||||||
|
Peptide |
Small Molecule
|
Phosphate/Methy/ Acetyl-specific |
Need further inquiry |
|||||||||
|
Peptide design & synthesis |
Peptide design |
-2 |
Free, Optional |
|||||||||
|
Peptide synthesis |
√ |
|
|
|
√ |
|
|
|||||
|
Conjugation |
√ |
|
√ |
|
√ |
|
||||||
|
Immunization |
Immune 2 rabbits |
-8 |
√ |
√ |
√ |
√ |
√ |
√ |
√ |
|||
|
ELISA detection |
√ |
√ |
√ |
√ |
√ |
√ |
√ |
|||||
|
cDNA preparation |
Prepare cDNA library by RT-PCR |
-1 |
√ |
√ |
√ |
√ |
√ |
√ |
√ |
|||
|
cDNA library QC check |
√ |
√ |
√ |
√ |
√ |
√ |
√ |
|||||
|
Fab library construction |
Obtained VH and VL genes |
10-15 |
√ |
√ |
√ |
√ |
√ |
√ |
√ |
|||
|
Primary antibody library construction |
√ |
√ |
√ |
√ |
√ |
√ |
√ |
|||||
|
Fab library construction |
√ |
√ |
√ |
√ |
√ |
√ |
√ |
|||||
|
Phage screening |
Phage particles package |
10-15 |
√ |
√ |
√ |
√ |
√ |
√ |
|
|||
|
Magnetic beads affinity screening |
√ |
√ |
√ |
√ |
√ |
√ |
|
|||||
|
Recover positive clones and DNA sequencing |
√ |
√ |
√ |
√ |
√ |
√ |
|
|||||
|
Antibody expression |
Synthetic of target phage gene and Fc gene |
-5 |
√ |
√ |
√ |
√ |
√ |
√ |
√ |
|||
|
Eukaryotic system expression plasmids construction |
√ |
√ |
√ |
√ |
√ |
√ |
√ |
|||||
|
Eukaryotic system expression |
√ |
√ |
√ |
√ |
√ |
√ |
|
|||||
|
Stable transfected cell line construction |
|
|
|
|
|
|
√ |
|||||
|
Purification and detection |
Lable tag affinity purification |
-1 |
√ |
|
√ |
|
√ |
|
√ |
|||
|
Antigen specific affinity purification |
√ |
|
√ |
|
√ |
|
√ |
|||||
|
Total lead time(months) |
7-9 |
3-5 |
||||||||||
Note:
1. Price needs negotiation;
2. Please think carefully about the experiment period, the time listed above are only the shortest time under ideal condition;
3. To shorten the experiment time, we suggest you consider provide antigen and start directly from immunization;
4. After immunization, we would check the titer, if titer reaches standard, collect the spleen, if not, end the experiment;5. Before the antibody library construction program start, we would charge at least 50% of total price, after program finished, pay off the rest amount of money.
Classic case
(Rabbit Monoclonal Recombination Antibody Service)
Customer Provide
Protein information
Process
1. Antigen preparation\Plasmid expression\Protein purification\Peptide design, synthesis and conjugation.
2. immunization of 2 rabbits.
3. ELISA/Western-blot test to monitor the antibody titer and specificity in rabbit serum, according to ELISA and WB test result, screening rabbits.
4. cDNA library preparation and phage vector construction.
5. Streptomycin affinity screening.
6. Positive clones sequencing and gene synthesis.
7. Eukaryotic expression plasmid construction.
8. Stable cell construction.
9. Trial expression and product delivery.
Products
(each antigen, 5 rabbits)
1. 1 immunogen specific monoclonal hybridoma cell line.
2. 1ml (concentration: 0.1-1mg/ml) purified antibody, ELISA titer was above 1:200.
Preparation Period
3-6 months
Rabbits are well-known for mounting a strong immune response against foreign antigens and rabbit polyclonal antibodies are among the first established and most widely used research tools in immunology. In terms of affinity and specificity, rabbits produce superior antibodies against many antigens in comparison to rodents.
Higher affinity and specificity
Antibody affinity is typically represented by the equilibrium dissociation constant (KD), a ratio of koff/kon between the antibody and its antigen. While most mouse monoclonal antibodies have a KD value in the nanomolar range (KD = 10-9 M), rabbit monoclonals consistently demonstrate Kd values that can reach the picomolar level (KD = 10-12 M).
In an immunoassay, a high affinity means that you can use less antibody under more stringent conditions without a corresponding loss of signal strength, therefore ensuring the highest sensitivity with the highest possible specificity.
More diverse epitope recognition
The lower immune dominance, extensive somatic gene conversion, and hypermutation that characterize the rabbit immune response results in more diverse epitope recognition. Thus, the rabbit immune system will yield a wider range of antibodies that recognize more unique epitopes.
Improved immune response to small-size epitopes
Rabbits have a unique immune system that allows them to develop antibodies against small moieties in small molecules, lipids, and polymers, as well as subtle changes in epitopes such as post-translational modifications or single amino acid substitutions. The ability of rabbit antibodies to recognize and mount an immune response to these small differences is confirmed by the large numbers of antibodies that target post-translational modifications such as phosphorylation, methylation and acetylation.
Successful case
Publication: Plos One
IF:3.05
Title: TSC1/2 signaling complex is essential for peripheral naive CD8+ T cell survival and homeostasis in mice.
Name: Anti-Tuberin antibody
Species: Mouse
Type: Rabbit Recombination Monoclonal antibody
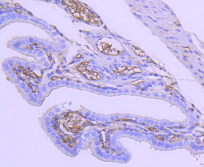
F1. Immunohistochemical analysis of paraffin-embedded mouse placenta tissue using anti-Tuberin antibody. Counter stained with hematoxylin.Recommended concentration: 1:200
Related Services
Mouse Monoclonal Antibody Service
Rat Monoclonal Antibody Service
Rabbit Monoclonal Antibody Production
Chicken Monoclonal Antibody Service
Monkey Monoclonal Antibody Service
Why Leading Biology
With over 5 years of experience in custom antibodies, we offer numerous benefits for developing your custom antibody:
Contact Information• Our industry leading titer guarantees of 1:50,000 eliminate the risk of not obtaining antibodies against peptide antigens.
• Our economies of scale allow us to pass cost savings to you and help maximize your budget.
• 100% of services are transparent throughout.
• Antibodies from our facility have been cited in many published research papers.
• By outsourcing antibody production and characterization needs to us, you can spend more time focused on your research.
• Our ideal location in California ensures that animals benefit from outdoor facilities and mild year-round temperatures.
• Confidentiality is a top priority for all projects. Antibodies that we manufacture belong to you and will not be commercialized.
Please obtain a quote before ordering, and refer to the quote number when you place an order.
Orders are typically confirmed within 12 hours.
Have a Question? Email us info@leadingbiology.com
Order Products: Order Related Products
By Phone: 1-661-524(LBI)-0262 (USA)
| No | Headline | Click | Author | Date |
| 1 | Antibody Production | 2992 | Leading Biology | 2020-01-16 |
| 2 | Mouse Monoclonal Antibody preparation by phage display | 1597 | Leading Biology | 2019-11-20 |
| 3 | Rabbit Monoclonal Antibody preparation by phage display | 1968 | Leading Biology | 2019-11-20 |
| 4 | Antibody Labeling Services | 6362 | Leading Biology | 2019-11-05 |
| 5 | Custom Monospecific Antibody Production | 2314 | Leading Biology | 2019-11-04 |
| 6 | Custom Peptide Antibody Production | 7164 | Leading Biology | 2019-11-04 |