> Antigen, Antibodies, ELISA, Western Blot > Primary Antibody > Phosphorylated Antibodies > Phospho-NF-kB p65-S311 pAbBrand |
Leading Biology | Catalog Number |
AMR00915N |
Product Type |
Phosphorylated Antibodies | Field of Research |
Cell Biology & Developmental Biology>Apoptosis |
Product Overview |
We constantly strive to ensure we provide our customers with the best antibodies. As a result of this work we offer this antibody in purified format.
We are in the process of updating our datasheets. If you have any questions regarding this update, please feel free to contact our technical support team.
This product is a high quality Phospho-NF-kB p65-S311 pAb.
|
||
Molecular Weight |
Calculated MW:
58kDa/59kDa/60kDa
Observed MW:
60kDa
|
||
Species Reactivity |
Rabbit
|
||
Immunogen |
A synthetic phosphorylated peptide around S311 of human NF-kB p65 (NP_068810.3).
|
||
Cross Reactivity |
Human,Mouse
|
||
Isotype |
IgG
|
||
GeneID |
|||
UniProt ID |
|||
Purity |
Affinity purification |
||
Storage & Stability |
Store at +4°C short term. For long-term storage, aliquot and store at -20°C or below. Stable for 12 months at -20°C. Avoid repeated freeze-thaw cycles.
|
||
Storage Buffer |
Buffer: PBS with 50% glycerol, pH7.3.
|
||
Applications |
WB,IHC
|
||
Dilution |
WB 1:500 - 1:2000
IHC 1:50 - 1:100
|
||
Product Description |
NF-kappa-B is a ubiquitous transcription factor involved in several biological processes. It is held in the cytoplasm in an inactive state by specific inhibitors. Upon degradation of the inhibitor, NF-kappa-B moves to the nucleus and activates transcription of specific genes. NF-kappa-B is composed of NFKB1 or NFKB2 bound to either REL, RELA, or RELB. The most abundant form of NF-kappa-B is NFKB1 complexed with the product of this gene, RELA. Four transcript variants encoding different isoforms have been found for this gene.
|
||
Synonyms |
RELA; NFKB3; p65; transcription factor p65
|
||
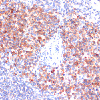
Images |
Western blot analysis of extracts of HeLa cells, using Phospho-NF-kB p65-S311 antibody.
Immunohistochemistry of paraffin-embedded mouse spleen using Phospho-NF-kB p65-S311 antibody. |
||
Specification |
|||
Quantity |
|
||
| Select | Brand | Catalog No. | Product Name | Pack Size | Type | Field of Research | Specification | Quantity | Price(USD) | |
| 1 | Leading Biology | AMR00900N | Phospho-CREB1-S133 pAb | 100ul | Phosphorylated Antibodies | Cell Biology & Developmental Biology>Apoptosis |
|
$495.00 | Add Ask | |
| 2 | Leading Biology | AMR01102N | Phospho-EGFR-Y1086 pAb | 100ul | Phosphorylated Antibodies | Cardiovascular>Angiogenesis |
|
$495.00 | Add Ask | |
| 3 | Leading Biology | AMR01066N | Phospho-FLNA-S2152 pAb | 100ul | Phosphorylated Antibodies | Cell Biology & Developmental Biology>Cytoskeleton |
|
$495.00 | Add Ask | |
| 4 | Leading Biology | AMR01229N | Phospho-PDGFRB-Y771 pAb | 100ul | Phosphorylated Antibodies | Cardiovascular>Angiogenesis |
|
$495.00 | Add Ask | |
| 5 | Leading Biology | APG03384N | Phospho-Histone H2A-S129 pAb | 100ul | Phosphorylated Antibodies |
|
$495.00 | Add Ask | ||
| 6 | Leading Biology | AMR00908N | Phospho-JAK2-Y221 pAb | 100ul | Phosphorylated Antibodies | Cell Biology & Developmental Biology>Apoptosis |
|
$495.00 | Add Ask |
Leading Biology Inc.
2600 Hilltop DR, Building G, B Suite C138
Richmond, CA, 94806
Tel: 1-661-524(LBI)-0262
Email: info@leadingbiology.com
Complete this form and click send to ask us a question, request a quote or simply say hello.

You have 0 item in your cart

You have 0 item in your inquiry list