> Antigen, Antibodies, ELISA, Western Blot > Primary Antibody > Phosphorylated Antibodies > Phospho-STMN1-S25 pAbBrand |
Leading Biology | Catalog Number |
AMR00872N |
Product Type |
Phosphorylated Antibodies | Field of Research |
Cell Biology & Developmental Biology>Apoptosis |
Product Overview |
We constantly strive to ensure we provide our customers with the best antibodies. As a result of this work we offer this antibody in purified format.
We are in the process of updating our datasheets. If you have any questions regarding this update, please feel free to contact our technical support team.
This product is a high quality Phospho-STMN1-S25 pAb.
|
||
Molecular Weight |
Calculated MW:
17kDa/19kDa
Observed MW:
17kDa
|
||
Species Reactivity |
Rabbit
|
||
Immunogen |
A phospho specific peptide corresponding to residues surrounding S25 of human STMN1
|
||
Cross Reactivity |
Human,Mouse,Rat
|
||
Isotype |
IgG
|
||
GeneID |
|||
UniProt ID |
|||
Purity |
Affinity purification |
||
Storage & Stability |
Store at +4°C short term. For long-term storage, aliquot and store at -20°C or below. Stable for 12 months at -20°C. Avoid repeated freeze-thaw cycles.
|
||
Storage Buffer |
Buffer: PBS with 50% glycerol, pH7.3.
|
||
Applications |
WB,IHC
|
||
Dilution |
WB 1:500 - 1:2000
IHC 1:50 - 1:100
|
||
Product Description |
This gene belongs to the stathmin family of genes. It encodes a ubiquitous cytosolic phosphoprotein proposed to function as an intracellular relay integrating regulatory signals of the cellular environment. The encoded protein is involved in the regulation of the microtubule filament system by destabilizing microtubules. It prevents assembly and promotes disassembly of microtubules. Multiple transcript variants encoding different isoforms have been found for this gene.
|
||
Synonyms |
STMN1; C1orf215; LAP18; Lag; OP18; PP17; PP19; PR22; SMN; stathmin
|
||
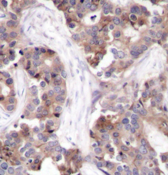
Images |
Western blot analysis of extracts of Jurkat cells, using Phospho-STMN1-S25 antibody.
Immunohistochemistry of paraffin-embedded human breast carcinoma using Phospho-STMN1-S25 antibody. |
||
Specification |
|||
Quantity |
|
||
| Select | Brand | Catalog No. | Product Name | Pack Size | Type | Field of Research | Specification | Quantity | Price(USD) | |
| 1 | Leading Biology | AMR00900N | Phospho-CREB1-S133 pAb | 100ul | Phosphorylated Antibodies | Cell Biology & Developmental Biology>Apoptosis |
|
$495.00 | Add Ask | |
| 2 | Leading Biology | AMR01102N | Phospho-EGFR-Y1086 pAb | 100ul | Phosphorylated Antibodies | Cardiovascular>Angiogenesis |
|
$495.00 | Add Ask | |
| 3 | Leading Biology | AMR01066N | Phospho-FLNA-S2152 pAb | 100ul | Phosphorylated Antibodies | Cell Biology & Developmental Biology>Cytoskeleton |
|
$495.00 | Add Ask | |
| 4 | Leading Biology | AMR01229N | Phospho-PDGFRB-Y771 pAb | 100ul | Phosphorylated Antibodies | Cardiovascular>Angiogenesis |
|
$495.00 | Add Ask | |
| 5 | Leading Biology | APG03384N | Phospho-Histone H2A-S129 pAb | 100ul | Phosphorylated Antibodies |
|
$495.00 | Add Ask | ||
| 6 | Leading Biology | AMR00908N | Phospho-JAK2-Y221 pAb | 100ul | Phosphorylated Antibodies | Cell Biology & Developmental Biology>Apoptosis |
|
$495.00 | Add Ask |
Leading Biology Inc.
2600 Hilltop DR, Building G, B Suite C138
Richmond, CA, 94806
Tel: 1-661-524(LBI)-0262
Email: info@leadingbiology.com
Complete this form and click send to ask us a question, request a quote or simply say hello.

You have 0 item in your cart

You have 0 item in your inquiry list