> Antigen, Antibodies, ELISA, Western Blot > Primary Antibody > Phosphorylated Antibodies > Phospho-Stat3-Y705 pAbBrand |
Leading Biology | Catalog Number |
AMR00822N |
Product Type |
Phosphorylated Antibodies | Field of Research |
Cell Biology & Developmental Biology>Apoptosis |
Product Overview |
We constantly strive to ensure we provide our customers with the best antibodies. As a result of this work we offer this antibody in purified format.
We are in the process of updating our datasheets. If you have any questions regarding this update, please feel free to contact our technical support team.
This product is a high quality Phospho-Stat3-Y705 pAb.
|
||
Molecular Weight |
Calculated MW:
83kDa/87kDa/88kDa
Observed MW:
105kDa
|
||
Species Reactivity |
Rabbit
|
||
Immunogen |
A synthetic phosphorylated peptide around Y705 of human Stat3 (NP_644805.1).
|
||
Cross Reactivity |
Human,Mouse,Rat
|
||
Isotype |
IgG
|
||
GeneID |
|||
UniProt ID |
|||
Purity |
Affinity purification |
||
Storage & Stability |
Store at +4°C short term. For long-term storage, aliquot and store at -20°C or below. Stable for 12 months at -20°C. Avoid repeated freeze-thaw cycles.
|
||
Storage Buffer |
Buffer: PBS with 50% glycerol, pH7.3.
|
||
Applications |
WB,IHC,IF
|
||
Dilution |
WB 1:500 - 1:2000
IHC 1:50 - 1:200
IF 1:50 - 1:200
|
||
Product Description |
The protein encoded by this gene is a member of the STAT protein family. In response to cytokines and growth factors, STAT family members are phosphorylated by the receptor associated kinases, and then form homo- or heterodimers that translocate to the cell nucleus where they act as transcription activators. This protein is activated through phosphorylation in response to various cytokines and growth factors including IFNs, EGF, IL5, IL6, HGF, LIF and BMP2. This protein mediates the expression of a variety of genes in response to cell stimuli, and thus plays a key role in many cellular processes such as cell growth and apoptosis. The small GTPase Rac1 has been shown to bind and regulate the activity of this protein. PIAS3 protein is a specific inhibitor of this protein. Mutations in this gene are associated with infantile-onset multisystem autoimmune disease and hyper-immunoglobulin E syndrome. Alternative splicing results in multiple transcript variants encoding distinct isoforms.
|
||
Synonyms |
STAT3; ADMIO; ADMIO1; APRF; HIES; signal transducer and activator of transcription 3
|
||
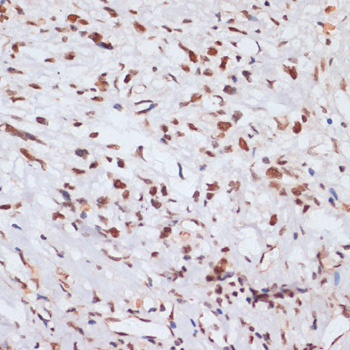
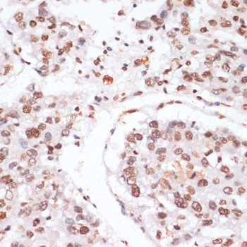
Images |
Western blot analysis of extracts of various cell lines, using Phospho-Stat3-Y705 antibody.
Immunohistochemistry of paraffin-embedded rat lung using Phospho-Stat3-Y705 antibody.
Immunohistochemistry of paraffin-embedded rat liver using Phospho-Stat3-Y705 antibody. |
||
Specification |
|||
Quantity |
|
||
| Select | Brand | Catalog No. | Product Name | Pack Size | Type | Field of Research | Specification | Quantity | Price(USD) | |
| 1 | Leading Biology | AMR00900N | Phospho-CREB1-S133 pAb | 100ul | Phosphorylated Antibodies | Cell Biology & Developmental Biology>Apoptosis |
|
$495.00 | Add Ask | |
| 2 | Leading Biology | AMR01102N | Phospho-EGFR-Y1086 pAb | 100ul | Phosphorylated Antibodies | Cardiovascular>Angiogenesis |
|
$495.00 | Add Ask | |
| 3 | Leading Biology | AMR01066N | Phospho-FLNA-S2152 pAb | 100ul | Phosphorylated Antibodies | Cell Biology & Developmental Biology>Cytoskeleton |
|
$495.00 | Add Ask | |
| 4 | Leading Biology | AMR01229N | Phospho-PDGFRB-Y771 pAb | 100ul | Phosphorylated Antibodies | Cardiovascular>Angiogenesis |
|
$495.00 | Add Ask | |
| 5 | Leading Biology | APG03384N | Phospho-Histone H2A-S129 pAb | 100ul | Phosphorylated Antibodies |
|
$495.00 | Add Ask | ||
| 6 | Leading Biology | AMR00908N | Phospho-JAK2-Y221 pAb | 100ul | Phosphorylated Antibodies | Cell Biology & Developmental Biology>Apoptosis |
|
$495.00 | Add Ask |
Leading Biology Inc.
2600 Hilltop DR, Building G, B Suite C138
Richmond, CA, 94806
Tel: 1-661-524(LBI)-0262
Email: info@leadingbiology.com
Complete this form and click send to ask us a question, request a quote or simply say hello.

You have 0 item in your cart

You have 0 item in your inquiry list