> Antigen, Antibodies, ELISA, Western Blot > Primary Antibody > Monoclonal Antibodies > TIP60 AntibodyBrand |
Leading Biology | Catalog Number |
AMM08206G |
Product Type |
Monoclonal Antibodies | Field of Research |
|
Product Overview |
We constantly strive to ensure we provide our customers with the best antibodies. As a result of this work we offer this antibody in purified format.
We are in the process of updating our datasheets. If you have any questions regarding this update, please feel free to contact our technical support team.
This product is a high quality TIP60 antibody.
|
||
Molecular Weight |
60kDa
|
||
Cellular Localization |
Antigen Cellular Localization:
Nucleus. Nucleus, nucleolus. Cytoplasm, perinuclear region. Note=Upon stimulation with EDN1, it is exported from the nucleus to the perinuclear region and UV irradiation induces translocation into punctuate subnuclear structures named nuclear bodies
|
||
Host |
Mouse
|
||
Species Reactivity |
Human
|
||
Clone |
3F9
|
||
Isotype |
IgG2b
|
||
Symbol |
HTATIP, TIP60
|
||
GeneID |
|||
UniProt ID |
|||
Function |
Catalytic subunit of the NuA4 histone acetyltransferase complex which is involved in transcriptional activation of select genes principally by acetylation of nucleosomal histones H4 and H2A. This modification may both alter nucleosome-DNA interactions and promote interaction of the modified histones with other proteins which positively regulate transcription. This complex may be required for the activation of transcriptional programs associated with oncogene and proto-oncogene mediated growth induction, tumor suppressor mediated growth arrest and replicative senescence, apoptosis, and DNA repair. NuA4 may also play a direct role in DNA repair when recruited to sites of DNA damage. Directly acetylates and activates ATM. Component of a SWR1-like complex that specifically mediates the removal of histone H2A.Z/H2AFZ from the nucleosome. In case of HIV-1 infection, interaction with the viral Tat protein leads to KAT5 polyubiquitination and targets it to degradation. Relieves NR1D2-mediated inhibition of APOC3 expression by acetylating NR1D2.
|
||
Form |
Liquid. In PBS containing 0.02% sodium azide. |
||
Storage & Stability |
Store at +4°C short term. For long-term storage, aliquot and store at -20°C or below. Stable for 12 months at -20°C. Avoid repeated freeze-thaw cycles.
|
||
Applications |
WB, IHC, E
|
||
Dilution |
WB~~1/500 - 1/2000
IHC~~1/200 - 1/1000
|
||
Synonyms |
Histone acetyltransferase KAT5, 2.3.1.48, 60 kDa Tat-interactive protein, Tip60, Histone acetyltransferase HTATIP, HIV-1 Tat interactive protein, Lysine acetyltransferase 5, cPLA(2)-interacting protein, KAT5, HTATIP, TIP60
|
||
Images |
Figure 1: Western blot analysis using Tip60 mouse mAb against truncated Tip60 recombinant protein.
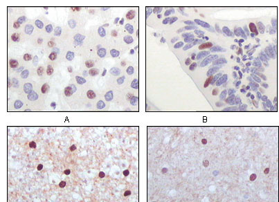
Figure 2: Immunohistochemical analysis of paraffin-embedded human liver carcinoma (A), recturn carcinoma (B), normal medulla tissue (C) and normal interbrain tissues (D), showing nuclear localization using Tip60 mouse mAb with DAB staining. |
||
Specification |
|||
Quantity |
|
||
| Select | Brand | Catalog No. | Product Name | Pack Size | Type | Field of Research | Specification | Quantity | Price(USD) | |
| 1 | Leading Biology | APG02467G | CCK4 / PTK7 Antibody (clone 4F9) | 50 μl | Monoclonal Antibodies |
|
$495.00 | Add Ask | ||
| 2 | Leading Biology | AMM04683G | GALT Antibody (clone 4C11) | 50 μg | Monoclonal Antibodies |
|
$545.00 | Add Ask | ||
| 3 | Leading Biology | AMM01402G | Vimentin (Mesenchymal Cell Marker) Antibody - With BSA and Azide | 50 ug | Monoclonal Antibodies |
|
$395.00 | Add Ask | ||
| 4 | Leading Biology | APR08280G | LTA4H / LTA4 Antibody (clone 9G8) | 50 μl | Monoclonal Antibodies |
|
$495.00 | Add Ask | ||
| 5 | Leading Biology | AMM00172G | CD1a / HTA1 (Mature Langerhans Cells Marker) Antibody - With BSA and Azide | 50 ug | Monoclonal Antibodies |
|
$395.00 | Add Ask | ||
| 6 | Leading Biology | AMM05750G | CEBPA Antibody | 100 μl | Monoclonal Antibodies |
|
$545.00 | Add Ask |
Leading Biology Inc.
2600 Hilltop DR, Building G, B Suite C138
Richmond, CA, 94806
Tel: 1-661-524(LBI)-0262
Email: info@leadingbiology.com
Complete this form and click send to ask us a question, request a quote or simply say hello.

You have 0 item in your cart

You have 0 item in your inquiry list