> Antigen, Antibodies, ELISA, Western Blot > Primary Antibody > Monoclonal Antibodies > MYST1 AntibodyBrand |
Leading Biology | Catalog Number |
AMM05390G |
Product Type |
Monoclonal Antibodies | Field of Research |
|
Product Overview |
We constantly strive to ensure we provide our customers with the best antibodies. As a result of this work we offer this antibody in purified format.
We are in the process of updating our datasheets. If you have any questions regarding this update, please feel free to contact our technical support team.
This product is a high quality MYST1 antibody.
|
||
Molecular Weight |
53kDa
|
||
Cellular Localization |
Antigen Cellular Localization:
Nucleus. Chromosome
|
||
Host |
Mouse
|
||
Species Reactivity |
Human
|
||
Clone |
8C4C4
|
||
Isotype |
IgG2b
|
||
Symbol |
MOF, MYST1
|
||
GeneID |
|||
UniProt ID |
|||
Function |
Histone acetyltransferase which may be involved in transcriptional activation. May influence the function of ATM. As part of the MSL complex it is involved in acetylation of nucleosomal histone H4 producing specifically H4K16ac. As part of the NSL complex it may be involved in acetylation of nucleosomal histone H4 on several lysine residues. That activity is less specific than the one of the MSL complex. Can also acetylate TP53/p53 at 'Lys-120'.
|
||
Form |
Liquid. In PBS containing 0.02% sodium azide. |
||
Storage & Stability |
Store at +4°C short term. For long-term storage, aliquot and store at -20°C or below. Stable for 12 months at -20°C. Avoid repeated freeze-thaw cycles.
|
||
Applications |
WB, IHC, ICC, E
|
||
Dilution |
WB~~1/500 - 1/2000
IHC~~1/200 - 1/1000
IF~~1/200 - 1/1000
|
||
Synonyms |
Histone acetyltransferase KAT8, 2.3.1.48, Lysine acetyltransferase 8, MOZ, YBF2/SAS3, SAS2 and TIP60 protein 1, MYST-1, hMOF, KAT8, MOF, MYST1
|
||
Images |
Figure 1: Western blot analysis using MYST1 mouse mAb against Hela (1), HepG2 (2) and SMMC-7721 (3) cell lysate.
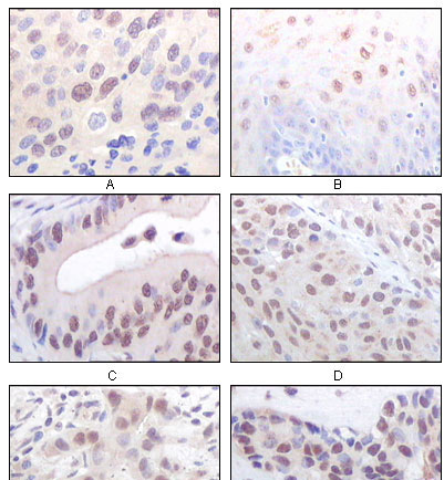
Figure 2: Immunohistochemical analysis of paraffin-embedded human esophageal squamous cell carcinoma (A), normal esophagus epithelium (B), rectum adenocarcinoma (C), lung squamous cell carcinoma (D), breast infiltrating carcinoma (E), and breast infiltrating carcinoma (F) tissues, showing nuclear localization using MOF/MYST1 mouse mAb with DAB staining.
Figure 3: Confocal immunofluorescence analysis of Eca 109 cells using MOF/MYST1 mouse mAb (green), showing nuclear localization. |
||
Specification |
|||
Quantity |
|
||
| Select | Brand | Catalog No. | Product Name | Pack Size | Type | Field of Research | Specification | Quantity | Price(USD) | |
| 1 | Leading Biology | APG02467G | CCK4 / PTK7 Antibody (clone 4F9) | 50 μl | Monoclonal Antibodies |
|
$495.00 | Add Ask | ||
| 2 | Leading Biology | AMM04683G | GALT Antibody (clone 4C11) | 50 μg | Monoclonal Antibodies |
|
$545.00 | Add Ask | ||
| 3 | Leading Biology | AMM01402G | Vimentin (Mesenchymal Cell Marker) Antibody - With BSA and Azide | 50 ug | Monoclonal Antibodies |
|
$395.00 | Add Ask | ||
| 4 | Leading Biology | APR08280G | LTA4H / LTA4 Antibody (clone 9G8) | 50 μl | Monoclonal Antibodies |
|
$495.00 | Add Ask | ||
| 5 | Leading Biology | AMM00172G | CD1a / HTA1 (Mature Langerhans Cells Marker) Antibody - With BSA and Azide | 50 ug | Monoclonal Antibodies |
|
$395.00 | Add Ask | ||
| 6 | Leading Biology | AMM05750G | CEBPA Antibody | 100 μl | Monoclonal Antibodies |
|
$545.00 | Add Ask |
Leading Biology Inc.
2600 Hilltop DR, Building G, B Suite C138
Richmond, CA, 94806
Tel: 1-661-524(LBI)-0262
Email: info@leadingbiology.com
Complete this form and click send to ask us a question, request a quote or simply say hello.

You have 0 item in your cart

You have 0 item in your inquiry list