> Antigen, Antibodies, ELISA, Western Blot > Primary Antibody > Monoclonal Antibodies > SRA AntibodyBrand |
Leading Biology | Catalog Number |
APR13527G |
Product Type |
Monoclonal Antibodies | Field of Research |
|
Product Overview |
We constantly strive to ensure we provide our customers with the best antibodies. As a result of this work we offer this antibody in purified format.
We are in the process of updating our datasheets. If you have any questions regarding this update, please feel free to contact our technical support team.
This product is a high quality SRA antibody.
|
||
Molecular Weight |
25673 Da
|
||
Cellular Localization |
Antigen Cellular Localization:
Nucleus. Cytoplasm
|
||
Host |
Mouse
|
||
Species Reactivity |
Human
|
||
Clone |
1D4H8
|
||
Isotype |
IgG1
|
||
GeneID |
|||
UniProt ID |
|||
Function |
Functional RNA which acts as a transcriptional coactivator that selectively enhances steroid receptor-mediated transactivation ligand-independently through a mechanism involving the modulating N-terminal domain (AF-1) of steroid receptors. Also mediates transcriptional coactivation of steroid receptors ligand- dependently through the steroid-binding domain (AF-2). Enhances cellular proliferation and differentiation and promotes apoptosis in vivo. May play a role in tumorigenesis.
|
||
Form |
Liquid. In PBS containing 0.02% sodium azide. |
||
Storage & Stability |
Store at +4°C short term. For long-term storage, aliquot and store at -20°C or below. Stable for 12 months at -20°C. Avoid repeated freeze-thaw cycles.
|
||
Applications |
WB, IHC, E
|
||
Dilution |
WB~~1/500 - 1/2000
IHC~~1/200 - 1/1000
|
||
Synonyms |
Steroid receptor RNA activator 1, Steroid receptor RNA activator protein, SRAP, SRA1 (HGNC:11281)
|
||
Images |
Figure 1: Western blot analysis using SRA mouse mAb against truncated SRA recombinant protein (1), human ovary cancer tissue lysate (2) and A431 cell lysate (3).
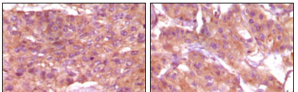
Figure 2: Immunohistochemical analysis of paraffin-embedded human skin carcinoma (left) and breast carcinoma (right), showing cytoplasmic and membrane localization using SRA mouse mAb with DAB staining. |
||
Specification |
|||
Quantity |
|
||
| Select | Brand | Catalog No. | Product Name | Pack Size | Type | Field of Research | Specification | Quantity | Price(USD) | |
| 1 | Leading Biology | APG02467G | CCK4 / PTK7 Antibody (clone 4F9) | 50 μl | Monoclonal Antibodies |
|
$495.00 | Add Ask | ||
| 2 | Leading Biology | AMM04683G | GALT Antibody (clone 4C11) | 50 μg | Monoclonal Antibodies |
|
$545.00 | Add Ask | ||
| 3 | Leading Biology | AMM01402G | Vimentin (Mesenchymal Cell Marker) Antibody - With BSA and Azide | 50 ug | Monoclonal Antibodies |
|
$395.00 | Add Ask | ||
| 4 | Leading Biology | APR08280G | LTA4H / LTA4 Antibody (clone 9G8) | 50 μl | Monoclonal Antibodies |
|
$495.00 | Add Ask | ||
| 5 | Leading Biology | AMM00172G | CD1a / HTA1 (Mature Langerhans Cells Marker) Antibody - With BSA and Azide | 50 ug | Monoclonal Antibodies |
|
$395.00 | Add Ask | ||
| 6 | Leading Biology | AMM05750G | CEBPA Antibody | 100 μl | Monoclonal Antibodies |
|
$545.00 | Add Ask |
Leading Biology Inc.
2600 Hilltop DR, Building G, B Suite C138
Richmond, CA, 94806
Tel: 1-661-524(LBI)-0262
Email: info@leadingbiology.com
Complete this form and click send to ask us a question, request a quote or simply say hello.

You have 0 item in your cart

You have 0 item in your inquiry list